Congress Lecture

5.0The average rating is 5 stars out of 5.
Surgical Planning and Procedures

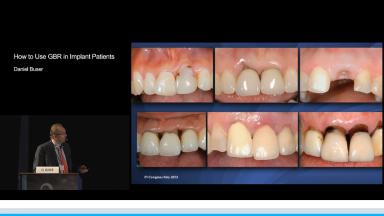
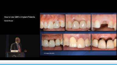
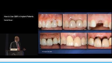
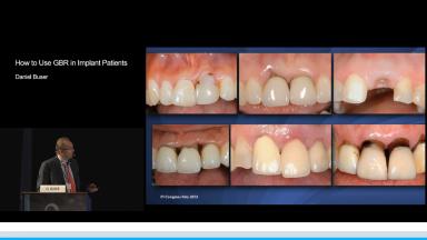
How to Use GBR in Implant Patients

Guided Bone Regeneration is a proven and predictable surgical technique to regenerate local bone defects at potential implant sites. The GBR technique can be used in most cases with a simultaneous approach, at the time of implant placement. In cases with extended bone defects, a staged approach is necessary with ridge augmentation first and implant placement 4 to 6 months later.

This lecture provides an overview of the application of GBR in implant patients with an emphasis on the following two clinical situations:

  • Implant placement with simultaneous GBR
  • Surgical management of esthetic complications using GBR
Duration
58 min.
Learner Level
Event
ITI Congress Italy 2013
CME/CPD
0.96 hours
Purchase price
29
You must be logged in to access or purchase this item.
There is a wealth of resources you can access by signing up as an ITI Member. Learn more about ITI membership benefits.
Publication date: Jan 11, 2015 Last review date: Apr 10, 2024 Next review date: Apr 10, 2027
2 - Advanced Beginner to Competent Congress Lecture English Languages Surgical Planning & Procedures

ITI QR code Mvc

Share this page

Download the QR code with a link to this page and use it in your presentations or share it on social media.

Download QR code
QR code