Congress Lecture

0.0The average rating is 0 stars out of 5.
Surgical Planning and Procedures

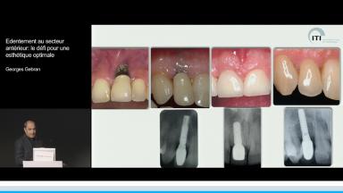
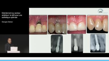
Edentement au secteur anterieur: le défi pour une esthetique optimale

A partir de la description des facteurs de risque esthétique du bloc incisivo-canin maxillaire, de la présence d’os et de gencive autour des implants, le conférencier présente une succession de cas cliniques décrivant ses procédures chirurgicales et prothétiques.

À la fin de cette présentation, vous devriez être en mesure… 

  • de déterminer le bon timing de chirurgie implantaire post extractionnelle
  • de réfléchir sur la préservation à moyen-long terme de l’os autour des implants
Duration
34 min.
Learner Level
Event
ITI Congress Francophone 2018
CME/CPD
0.57 hours
Purchase price
17
You must be logged in to access or purchase this item.
There is a wealth of resources you can access by signing up as an ITI Member. Learn more about ITI membership benefits.
Publication date: Jan 24, 2019 Last review date: Jan 17, 2024 Next review date: Jan 17, 2027
Assessment & Diagnosis Bone Management Congress Lecture Early Placement with Bone Healing Early Placement with Soft Tissue Healing Esthetic Risk Assessment French Immediate Placement Languages Late Placement Placement Protocols Prosthodontics Ridge Preservation Risk Assessment Risk Factors Surgery Surgical Planning & Procedures

ITI QR code Mvc

Share this page

Download the QR code with a link to this page and use it in your presentations or share it on social media.

Download QR code
QR code