Congress Lecture

0.0The average rating is 0 stars out of 5.
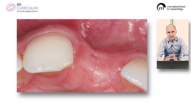
Surgical Planning and Procedures

Curriculum für Orale Regeneration: Sofortimplantation

Congress Lecture German Languages Surgical Planning & Procedures

ITI QR code Mvc

Share this page

Download the QR code with a link to this page and use it in your presentations or share it on social media.

Download QR code
QR code