Congress Lecture

0.0The average rating is 0 stars out of 5.
Prosthodontic Planning and Procedures

Choice of Reconstructive Material in Times of CAD/CAM

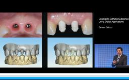
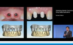
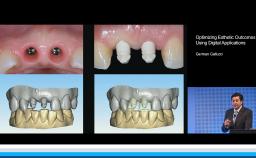
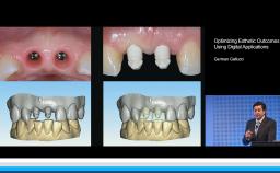
Ceramic materials are increasingly used for the fabrication of dental reconstructions. However, because there are so many options for fabricating ceramic prostheses, the selection of an ‘ideal’ material is becoming more and more complex. This lecture presents concepts for choosing the type of reconstruction, material, and method of fabrication for a highly esthetic outcome. Long-term survival rates, advantages, and limitations for new ceramic methods and materials - in particular high-strength ceramic zirconia - are presented in this lecture. The results of clinical studies comparing digital CAD/CAM and conventional workflows for fabrication of all-ceramic restorations are also presented.

At the end of this Congress Lecture you should be able to…

  • explain the indications and limitations of the new CAD/CAM technologies
  • describe the selection of and indications for CAD/CAM monolithic restorations
  • discuss the ideal implementation of the Ti-Base concept
Duration
30 min.
Learner Level
Event
ITI Online Academy Recordings, Basel, Switzerland, 2017
CME/CPD
0.5 hours
Purchase price
15
You must be logged in to access or purchase this item.
There is a wealth of resources you can access by signing up as an ITI Member. Learn more about ITI membership benefits.
Publication date: Aug 6, 2017 Last review date: Jul 31, 2023 Next review date: Jul 31, 2026
3 - Proficient to Expert Congress Lecture English Languages Prosthodontic Planning & Procedures

ITI QR code Mvc

Share this page

Download the QR code with a link to this page and use it in your presentations or share it on social media.

Download QR code
QR code