
Accuracy and Predictability of Digital Implant Impression Techniques
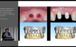
In her lecture, Tabea Fluegge introduces the systematic review and meta-analysis on the accuracy of different dental impression techniques for implant-supported dental prostheses to which she contributed at the ITI Consensus Conference 2018 in Amsterdam, including the conclusions thereof. She gives an update on the latest developments in intraoral scanning devices and the latest scientific evidence coming from studies that were published after the last Consensus Conference, presenting various new in vitro and in vivo studies. In addition she highlights photogrammetry as a possible alternative to intraoral scanning.

At the end of this Congress Lecture you should be able to…
explain the conclusions of the last ITI Consensus Conference regarding accuracy and predictability of digital implant impression techniques
discuss the latest scientific evidence on the topic
describe another digital alternative to conventional implant impressions









Share this page
Download the QR code with a link to this page and use it in your presentations or share it on social media.
Download QR code