
インプラント歯学における審美治療の最適化
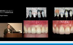
本レクチャーではインプラントによる審美治療における外科的な側面が紹介されている。審美的結果を左右するものはインプラントの三次元的埋入位置であり、その位置を理想にするためには骨欠損への対応が不可欠であることが述べられている。インプラントの埋入時期、骨増生による顎骨唇側プラットフォームの形成、軟組織増生等に関して文献の紹介とともに詳細に多くの症例をもって解説されている。SAC分類、トリートメントガイド、オンラインアカデミーによる効果的な学習法も紹介されている。

このレクチャーの受講によって以下を学ぶことが可能である。
- インプラント治療の審美的結果に対する三次元的埋入位置の重要性
- 十分な審美的結果を獲得するためのインプラント埋入時期に対する考え方
- 骨増生に必要な要点
- 骨増生に効果的な材料



Share this page
Download the QR code with a link to this page and use it in your presentations or share it on social media.
Download QR code