Congress Lecture

0.0The average rating is 0 stars out of 5.
Prosthodontic Planning and Procedures

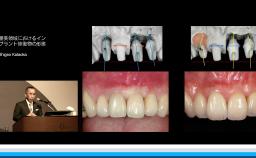
審美歯科におけるマテリアルセレクション

近年、補綴治療において審美的に再現性の高い材料選択をするだけではなく、低侵襲 (MI)な治療が注目されている。そのため、従来から行われてきたフルベニアによる補綴だけではなく、コンポジットレジンや、パーシャルベニアによる低侵襲な治療を選択することが推奨される。演者は補綴材料の機械的性質や審美性から総合的に判断し、最適な材料選択について提案している。

このレクチャーの受講によって以下を学ぶことが可能である。

  • 補綴材料の種類と利欠点について理解できる
  • 審美補綴治療を行う際の材料選択について学ぶことができる  
Duration
30 min.
Learner Level
Event
ITI Congress Japan 2018
CME/CPD
0.5 hours
Purchase price
15
You must be logged in to access or purchase this item.
There is a wealth of resources you can access by signing up as an ITI Member. Learn more about ITI membership benefits.
Publication date: Jan 25, 2019 Last review date: Jan 18, 2024 Next review date: Jan 18, 2027
Components & Materials Congress Lecture Esthetics Japanese Languages Prosthesis Design Prosthesis Materials Prosthodontic Planning & Procedures Prosthodontics

ITI QR code Mvc

Share this page

Download the QR code with a link to this page and use it in your presentations or share it on social media.

Download QR code
QR code