Case

0.0The average rating is 0 stars out of 5.
Clinical Case Video

Immediate Implant - Immediate Temporary: Guided Surgery in the Esthetic Zone

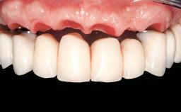
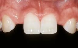
In this video Dr. Nikos Mattheos demonstrates the full diagnostic, planning and treatment sequence of an immediate implant with an immediate prefabricated provisional restoration in the esthetic zone. A 28 years old female patient presents with discoloration and increasing mobility of tooth 11. Advanced stage of external resorption is diagnosed. Patient's high esthetic demands combined with intact gingival architecture and periodontal health makes her a good candidate for immediate placement and restoration to preserve the gingival contour. Surgical and restorative treatment is planned with digital workflow based on data from CBCT and intraoral scan. An immediate temporary crown is manufactured for placement at the day of the surgery. Flapless extraction is performed, and the implant placed with guided surgery. Consequently, the buccal gap of the socket is augmented with Xenograft, while the soft tissue space maintained with a collagen plug. Finally, a provisional crown is immediately placed on the implant with a titanium temporary abutment and an emax prefabricated crown.

After watching this video, you should be able to...

  • explain the main indications of immediacy in the aesthetic zone
  • understand the main steps involved in the digital treatment plan of immediacy cases in the aesthetic zone
  • identify the main surgical steps and procedures involved in extraction and flapless implant placement in the anterior maxilla
  • discuss the main restorative challenges and procedures of such cases 
Surgical classification
Complex
Prosthodontic classification
Complex
Duration
14 min.
Learner Level
CME/CPD
0.23 hours
Purchase price
14
You must be logged in to access or purchase this item.
There is a wealth of resources you can access by signing up as an ITI Member. Learn more about ITI membership benefits.

General Risk Assessment

Patient-related Factors

Smoking Habit None
Oral hygiene Good
Compliance Good
Patient's Expectations High but achievable

Patient-medical Factors

Medical Status Healthy, uneventful healing
Medical Fitness Healthy, able to undergo planned anesthesia and surgical procedure (ASA I)
Medications No medications that would negatively affect the surgical procedure and outcomes.
Radiation Treatment None
Growth Status Complete

Site-related Factors

Periodontal Status No history of periodontal disease, or any active periodontal disease.
Access Adequate
Pathology near the implant site Condition that can be managed or does not need treatment
Previous surgeries in planned implant site No previous procedures.

Surgical Classification

Surgical Complexity

Timing of placement Immediate Placement (extraction sockets) (Type I)
Simultaneous or Staged grafting procedures Implant placement as part of staged hard and/or soft tissue procedures

Anatomy

Bone Volume - Horizontal Deficient but allowing simultaneous augmentation
Bone Volume - Vertical Adequate
Keratinized Tissue Sufficient (>4 mm)
Soft Tissue Quality No scars or inflammation
Proximity to vital anatomic structures Moderate risk of involvement

Adjacent Teeth

Papilla Complete
Recession Absent
Interproximal attachment At CEJ

Extractions

Radicular morphology Uniradicular
Available apical bone to achieve primary stability Sufficient height ( ≥ 4 mm) and width (> 2 mm around apex of planned implant)
Socket walls Intact
Thickness of buccal wall less than 2 mm
Anticipated residual defect after implant placement 2 mm or less

Prosthodontic Classification

Complicating Factors

Biological Screw-retained restorations with appropriate contours
Mechanical/Technical Presence of non-critical contributing factors

Prosthesis Factors

Prosthetic volume Adequate. Space available for ideal anatomy of the restoration
Inter-occlusal space Adequate. Capable to create an anatomically & functionally correct planned restoration
Volume and characteristics of the edentulous ridge (fixed) Adequate. No adjunctive therapy or prosthetic soft tissue replacement will be necessary

Esthetic Factors

Gingival display at full smile Medium
Shape of tooth crowns Triangular
Restorative status of neighboring teeth Virgin
Gingival Phenotype Medium-scalloped, medium-thick
Bone level on adjacent teeth 5.5 to 6.5 mm to contact point

Occlusal Factors

Occlusal scheme User-defined occlusal scheme achievable
Involvement in occlusion Minimal or no involvement
Occlusal parafunction Absent

Complexity

Loading Protocol Immediate
Implant-supported provisional restoration Required, elevated esthetic and/or functional demands
Timing of placement Immediate Placement (extraction sockets) (Type I)

Esthetic Risk Assessment

Esthetic Risk Assessment

Medical Status Healthy, uneventful healing
Smoking Habit None
Gingival display at full smile Medium
Width of edentulous span 1 tooth (≥ 7mm, standard diameter implant) 1 Tooth (≥ 6mm, narrow diameter implant)
Shape of tooth crowns Triangular
Restorative status of neighboring teeth Virgin
Gingival Phenotype Medium-scalloped, medium-thick
Infection at implant site None
Bone level on adjacent teeth 5.5 to 6.5 mm to contact point
Thickness of buccal wall less than 2 mm
Patient's Expectations High but achievable
Publication date: May 25, 2023 Last review date: May 18, 2023 Next review date: May 18, 2026
Clinical Video

ITI QR code Mvc

Share this page

Download the QR code with a link to this page and use it in your presentations or share it on social media.

Download QR code
QR code