Case

4.5The average rating is 5 stars out of 5.
Clinical Case Video

Immediate Full-Arch Reconstruction Utilising a Comprehensive Guided Surgical and Restorative Protocol

This video is intended for use in case discussions, especially for Study Clubs.

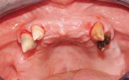
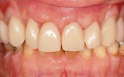
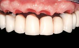
In this video Dr. Legg will demonstrate the process of utilising fully guided surgery as well as reconstruction to provide immediate full arch rehabilitation. A 56-year-old female with chronic adult periodontitis had previously undergone significant nonsurgical periodontal therapy. Unfortunately she had reached the stage where she was no longer happy with the appearance of her teeth and was suffering from increasing discomfort. A full workup was carried out in conjunction with a technical design team (at Createch). This included digital wax up of the proposed teeth, digital placement of the proposed implants and the design of the requisite surgical guides. The surgery was then carried out under sedation. The remaining upper teeth were removed, bone reduced where appropriate and the implants placed using a fully guided protocol. Following placement of screw retained abutments, the immediate provisional prosthesis was picked up in situ and passed to the technician for finishing before being fitted.

Produced in cooperation with The Campbell Academy.

Surgical classification
Complex
Prosthodontic classification
Complex
Duration
13 min.
Learner Level
CME/CPD
0.22 hours
Purchase price
7
You must be logged in to access or purchase this item.
There is a wealth of resources you can access by signing up as an ITI Member. Learn more about ITI membership benefits.

General Risk Assessment

Patient-related Factors

Oral hygiene Good
Compliance Good

Patient-medical Factors

Medical Fitness Healthy, able to undergo planned anesthesia and surgical procedure (ASA I)
Medications No medications that would negatively affect the surgical procedure and outcomes.
Radiation Treatment None
Growth Status Complete

Site-related Factors

Access Adequate
Pathology near the implant site None
Previous surgeries in planned implant site No previous procedures.

Surgical Classification

Surgical Complexity

Timing of placement Immediate Placement (extraction sockets) (Type I)
Simultaneous or Staged grafting procedures Implant placement without adjunctive procedures
Number of implants > Three

Anatomy

Keratinized Tissue Sufficient (>4 mm)
Soft Tissue Quality No scars or inflammation
Proximity to vital anatomic structures Minimal risk of involvement

Extractions

Radicular morphology Multi-radicular/divergent roots - available interseptal bone
Available apical bone to achieve primary stability Sufficient height ( ≥ 4 mm) and width (> 2 mm around apex of planned implant)
Socket walls Intact
Thickness of buccal wall less than 2 mm
Inter-radicular bone (multi-rooted teeth) Wide - allowing drilling and implant anchorage
Anticipated residual defect after implant placement 2 mm or less

Prosthodontic Classification

Complicating Factors

Biological Framework/Bar with appropriate contours and accessible maintenance procedures
Mechanical/Technical Presence of non-critical contributing factors
Planned contour of tissue-fitting surfaces Appropriate contours (hygienic - accessible for maintenance)

Prosthesis Factors

Prosthetic volume Adequate. Space available for ideal anatomy of the restoration
Inter-occlusal space Adequate. Capable to create an anatomically & functionally correct planned restoration
Volume and characteristics of the edentulous ridge (fixed) Inadequate. Adjunctive therapy or prosthetic materials may be necessary to achieve optimal result

Occlusal Factors

Occlusal scheme User-defined occlusal scheme achievable
Involvement in occlusion Involved with guidance
Occlusal parafunction Absent

Complexity

Loading Protocol Immediate
Implant-supported provisional restoration Required, elevated esthetic and/or functional demands
Number of implants >2 (non-splinted) or ≥ 2 (splinted)
Timing of placement Immediate Placement (extraction sockets) (Type I)

Esthetic Risk Assessment

Edentulous Esthetic Risk Assessment (fixed)

Facial Support Alveolar process provides adequate facial support
Labial Support Desired tooth position provides sastifactory labial support
Upper Lip Length Long upper lip (>20mm)
Buccal Corridor Wide Corridor
Smile Line No display of the Maxillary ridge at full smile
Maxillomandibular Relationship Class I
Publication date: Oct 2, 2023 Last review date: Sep 25, 2023 Next review date: Sep 25, 2026
3 - Proficient to Expert Clinical Video

ITI QR code Mvc

Share this page

Download the QR code with a link to this page and use it in your presentations or share it on social media.

Download QR code
QR code