Treatment of Soft-Tissue Fenestration in the Esthetic Zone
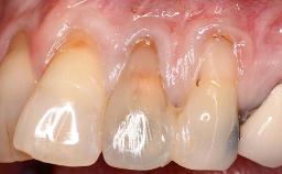
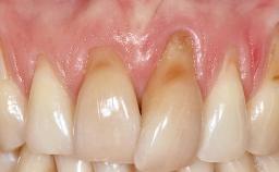
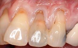
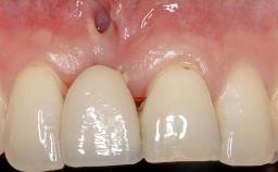
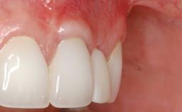
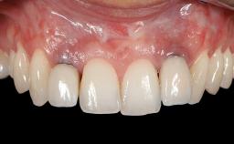
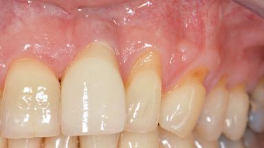
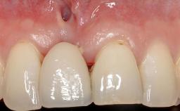
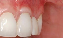
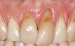
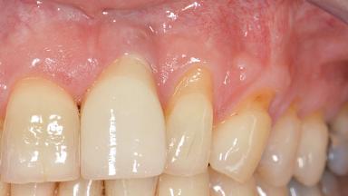
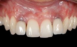
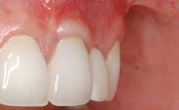
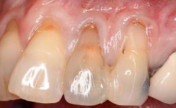
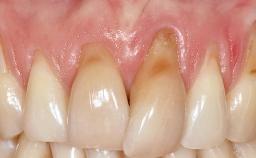
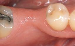
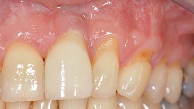
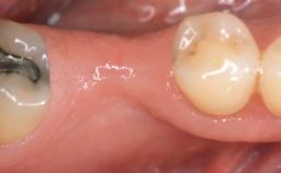
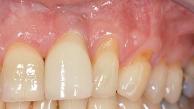
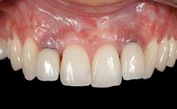
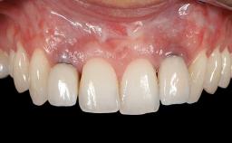
This case demonstrates that a connective-tissue graft in combination with a coronally positioned graft is an effective method of treating cases with peri-implant mucositis and an abutment-level sinus abscess. A 42-year-old man presented with a swelling adjacent to an implant crown at site 21. The swelling had been present for approximately three weeks and was constrained to the buccal and palatal gingival aspects of the implant. A discharge was noted on finger pressure, with localized gingival recession present on the mid- and distolabial aspects of the crown.
General information
| Case Type | |
|---|---|
| Jaw | Maxilla |
| Area | Anterior |
| # of Teeth | 1 |
| # of Implants | 1 |
| Type of Implants | Two-Piece |
| Attachment | Two-Piece |
| Bone Augmentation | No |
|---|---|
| Augmentation Materials | - |
| Guided Surgery | No |
| Soft Tissue Grafting | Staged |
| Abutment Type | CAD/CAM |
| Prosthesis Type | FDP |
Esthetic Risk Assessment
| Esthetic Risk Factors | Low | Medium | High |
|---|---|---|---|
| Medical Status | Healthy | Compromised | |
| Smoking Habit | Non-smoker | Light smoker (< 10 cigarettes per day) | Heavy smoker (>= 10 cigarettes per day) |
| Patient's Esthetic Expectations | Low | Medium | High |
| Lip Line | No exposure of papillae | Exposure of papillae | Full exposure of mucosa margin |
| Periodontal Phenotype | Low-scalloped, thick | Medium-scalloped, medium-thick | High-scalloped, thin |
| Shape of Tooth Crowns | Rectangular | Triangular | |
| Infection at Implant Site | None | Chronic | Acute |
| Bone Level at Adjacent Teeth | <= 5 mm to contact point | 5.5 to 6.5 mm to contact point | > 7 mm to contact point |
| Prosthodontic Status of Neighboring Teeth | Virgin | Restored | |
| Width of Edentulous Span | 1 tooth (>= 7 mm) | 1 tooth (< 7 mm) | 2 teeth or more |
| Soft Tissue Anatomy | Intact | Defective | |
| Bone Volume | Horizontally and vertically sufficient | Horizontally deficient | Deficient vertically or deficient vertically AND horizontally |
* General SAC assessment modifiers that are also part of the ERA. To avoid redundancy they are listed in this section even if no complete ERA has been made.
** Not applicable to the ERA of immediate placement cases and replaced by "Socket Integrity" listed below under "Surgical SAC Classification". For all other placement types this value is a classification determinant and listed here even if no complete ERA has been made.
Surgical SAC classification
| SAC Level | Advanced |
|---|---|
| Defining Characteristics | One missing tooth to be replaced by an implant-borne prosthesis |
| Modality | Modality |
| Placement Protocol | Early or late implant placement |
| Tooth Site | Tooth site |
| Socket Morphology | Socket morphology |
| Socket Integrity | Socket integrity |
| Bone Volume | Horizontally and vertically sufficient |
| Anatomic Risk | Low |
| Esthetic Risk | High |
| Complexity | Low |
| Risk of Complications | Low |
Prosthodontic SAC classification
| SAC Level | Complex |
|---|---|
| Defining Characteristics | One missing tooth to be replaced by an implant-borne crown |
| Loading Protocol | Conventional or early |
| Retention | - |
| Maxillomandibular Relationship | - |
| Mesio-Distal Space | - |
| Inter-Arch Distance | - |
| Bruxism | - |
| Esthetic Risk | High |
| Provisional Implant-Supported Prosthesis | - |
| Interim Prosthesis during Healing | - |
| Occlusion/Articulation | - |
| Occlusal Scheme/Issues | - |
Surgical SAC Modifiers
| Periodontal Status | History of periodontitis or genetic predisposition |
|---|
Prosthodontic SAC Modifiers
| Soft Tissue Contour and Volume | Slightly compromised |
|---|
General SAC Modifiers
| Oral Hygiene and Compliance | Sufficient |
|---|---|
| Access | Adequate |
| Craniofacial/Skeletal Growth | Completed |
Share this page
Download the QR code with a link to this page and use it in your presentations or share it on social media.
Download QR code