Surgical Treatment of Peri-Implantitis in the Posterior Mandible Associated with Hard- and Soft-Tissue Reconstruction
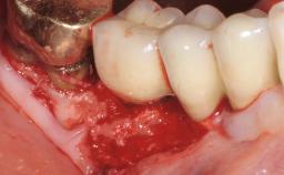
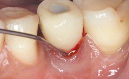
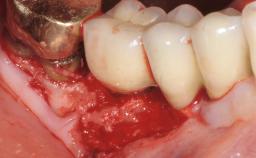
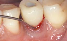
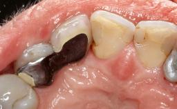
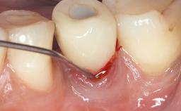
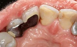
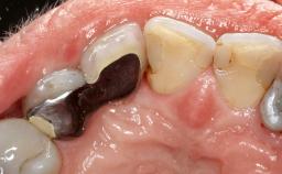
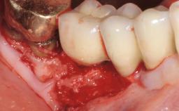
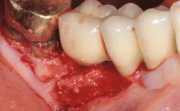
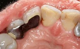
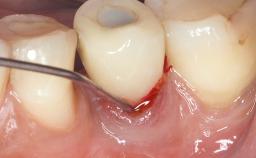
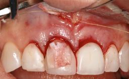
Paolo Casentini demonstrates that peri-implantitis can be successfully treated even at an advanced stage. He discusses a case in which the existing implants and prostheses were both retained while regenerating the defect and creating a band of keratinized tissue. A 69-year-old female patient was referred by her general dentist for evaluation of a recurrent infection at previously placed and restored implants in the posterior left mandible. The patient’s chief complaint was recurrent swelling and pain in the molar region of the left posterior mandible with discomfort during brushing in the same area. The patient reported receiving two implants (36 and 37) nine years earlier.
                                                    
                                
                                
                                
                                
                                
                                
                                
                                
                                General information
| Case Type | |
|---|---|
| Jaw | - | 
| Area | - | 
| # of Teeth | - | 
| # of Implants | - | 
| Type of Implants | - | 
| Attachment | - | 
| Bone Augmentation | - | 
|---|---|
| Augmentation Materials | - | 
| Guided Surgery | - | 
| Soft Tissue Grafting | - | 
| Abutment Type | - | 
| Prosthesis Type | - | 
Esthetic Risk Assessment
| Esthetic Risk Factors | Low | Medium | High | 
|---|---|---|---|
| Medical Status | Healthy | Compromised | |
| Smoking Habit | Non-smoker | Light smoker (< 10 cigarettes per day) | Heavy smoker (>= 10 cigarettes per day) | 
| Patient's Esthetic Expectations | Low | Medium | High | 
| Lip Line | No exposure of papillae | Exposure of papillae | Full exposure of mucosa margin | 
| Periodontal Phenotype | Low-scalloped, thick | Medium-scalloped, medium-thick | High-scalloped, thin | 
| Shape of Tooth Crowns | Rectangular | Triangular | |
| Infection at Implant Site | None | Chronic | Acute | 
| Bone Level at Adjacent Teeth | <= 5 mm to contact point | 5.5 to 6.5 mm to contact point | > 7 mm to contact point | 
| Prosthodontic Status of Neighboring Teeth | Virgin | Restored | |
| Width of Edentulous Span | 1 tooth (>= 7 mm) | 1 tooth (< 7 mm) | 2 teeth or more | 
| Soft Tissue Anatomy | Intact | Defective | |
| Bone Volume | Horizontally and vertically sufficient | Horizontally deficient | Deficient vertically or deficient vertically AND horizontally | 
* General SAC assessment modifiers that are also part of the ERA. To avoid redundancy they are listed in this section even if no complete ERA has been made.
** Not applicable to the ERA of immediate placement cases and replaced by "Socket Integrity" listed below under "Surgical SAC Classification". For all other placement types this value is a classification determinant and listed here even if no complete ERA has been made.
Surgical SAC classification
| SAC Level | - | 
|---|---|
| Defining Characteristics | - | 
| Modality | - | 
| Placement Protocol | - | 
| Tooth Site | - | 
| Socket Morphology | - | 
| Socket Integrity | - | 
| Bone Volume | - | 
| Anatomic Risk | - | 
| Esthetic Risk | - | 
| Complexity | |
| Risk of Complications | - | 
Prosthodontic SAC classification
| SAC Level | - | 
|---|---|
| Defining Characteristics | - | 
| Loading Protocol | - | 
| Retention | - | 
| Maxillomandibular Relationship | - | 
| Mesio-Distal Space | - | 
| Inter-Arch Distance | - | 
| Bruxism | - | 
| Esthetic Risk | - | 
| Provisional Implant-Supported Prosthesis | - | 
| Interim Prosthesis during Healing | - | 
| Occlusion/Articulation | - | 
| Occlusal Scheme/Issues | - | 
Surgical SAC Modifiers
| Periodontal Status | - | 
|---|
Prosthodontic SAC Modifiers
| Soft Tissue Contour and Volume | - | 
|---|
General SAC Modifiers
| Oral Hygiene and Compliance | - | 
|---|---|
| Access | - | 
| Craniofacial/Skeletal Growth | - | 
Share this page
Download the QR code with a link to this page and use it in your presentations or share it on social media.
Download QR code