Simultaneous Maxillary and Mandibular Full-Arch Fixed Rehabilitation: Extractions, Immediate Implant Placement and Loading, and Definitive Zirconia Prostheses
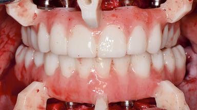
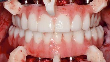
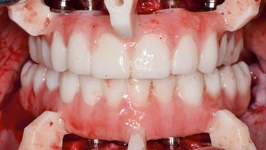
An alert and ambulatory 60-year-old male patient presented with a desire to "repair or replace his teeth". A detailed clinical evaluation revealed multiple missing teeth. Generalized severe calculus and biofilm accumulation was noted, associated with poor oral hygiene. All remaining teeth were mobile and showed more than 50% attachment loss. All molars showed furcation involvement. Caries was prevalent throughout the remaining dentition. The patient reported intolerance of his existing removable partial prosthesis, which had been fabricated more than 20 years previously.
General Risk Assessment
Patient-related Factors
| Oral hygiene | Poor |
|---|---|
| Compliance | Adequate |
Patient-medical Factors
| Medical Fitness | Moderately compromised health, but can undergo planned anesthesia and surgical procedure (ASA II to ASA III) |
|---|---|
| Medications | No medications that would negatively affect the surgical procedure and outcomes. |
| Radiation Treatment | None |
| Growth Status | Complete |
Site-related Factors
| Access | Adequate |
|---|---|
| Pathology near the implant site | None |
| Previous surgeries in planned implant site | No previous procedures. |
Surgical Classification
Surgical Complexity
| Timing of placement | Immediate Placement (extraction sockets) (Type I) |
|---|---|
| Simultaneous or Staged grafting procedures | Implant placement with simultaneous hard and soft tissue procedures |
| Number of implants | > Three |
Anatomy
| Bone Volume - Horizontal | Adequate |
|---|---|
| Bone Volume - Vertical | Small deficiency allowing implant placement and no augmentation. Small deficiency requiring simultaneous horizontal augmentation. Adequate for implant placement but requiring bone reduction. |
| Keratinized Tissue | Minimal (2-4 mm) |
| Soft Tissue Quality | Presence of scars and inflammation |
| Proximity to vital anatomic structures | Moderate risk of involvement |
Extractions
| Radicular morphology | Uniradicular |
|---|---|
| Available apical bone to achieve primary stability | Sufficient height ( ≥ 4 mm) and width (> 2 mm around apex of planned implant) |
| Socket walls | Partially missing. Extractions that result in small residual defects. Roots without associated bone defects |
| Thickness of buccal wall | 2mm or greater |
| Anticipated residual defect after implant placement | 2 mm or less |
Prosthodontic Classification
Complicating Factors
| Biological | Framework/Bar with appropriate contours and accessible maintenance procedures |
|---|---|
| Mechanical/Technical | Presence of non-critical contributing factors |
| Planned contour of tissue-fitting surfaces | Appropriate contours (hygienic - accessible for maintenance) |
Prosthesis Factors
| Prosthetic volume | Compromised. Can be resolved without adjunctive therapy |
|---|---|
| Inter-occlusal space | Compromised. Can be resolved without adjunctive therapy |
| Volume and characteristics of the edentulous ridge (fixed) | Inadequate. Adjunctive therapy or prosthetic materials may be necessary to achieve optimal result |
Occlusal Factors
| Occlusal scheme | User-defined occlusal scheme achievable |
|---|---|
| Involvement in occlusion | Involvement |
| Occlusal parafunction | Absent |
Complexity
| Loading Protocol | Immediate |
|---|---|
| Implant-supported provisional restoration | Required, elevated esthetic and/or functional demands |
| Number of implants | >2 (non-splinted) or ≥ 2 (splinted) |
| Timing of placement | Immediate Placement (extraction sockets) (Type I) |
Esthetic Risk Assessment
Edentulous Esthetic Risk Assessment (fixed)
| Facial Support | Minimal changes in facial support tolerated by patient |
|---|---|
| Labial Support | Minimal changes in lip support tolerated by patient |
| Upper Lip Length | Long upper lip (>20mm) |
| Buccal Corridor | Wide Corridor |
| Smile Line | No display of the Maxillary ridge at full smile |
| Maxillomandibular Relationship | Class II |
Share this page
Download the QR code with a link to this page and use it in your presentations or share it on social media.
Download QR code