Case

0.0The average rating is 0 stars out of 5.

Simultaneous Maxillary and Mandibular Full-Arch Fixed Rehabilitation: Extractions, Immediate Implant Placement and Loading, and Definitive Zirconia Prostheses

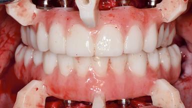
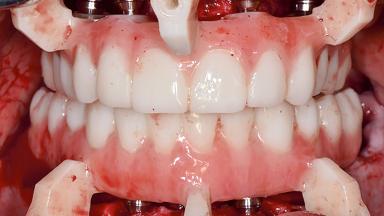
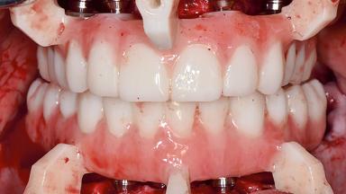
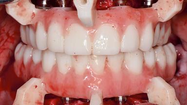
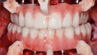
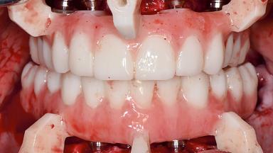
An alert and ambulatory 60-year-old male patient presented with a desire to "repair or replace his teeth". A detailed clinical evaluation revealed multiple missing teeth. Generalized severe calculus and biofilm accumulation was noted, associated with poor oral hygiene. All remaining teeth were mobile and showed more than 50% attachment loss. All molars showed furcation involvement. Caries was prevalent throughout the remaining dentition. The patient reported intolerance of his existing removable partial prosthesis, which had been fabricated more than 20 years previously.


Surgical classification
Complex
Prosthodontic classification
Complex
Learner Level
Source
Treatment Guide 15
CME/CPD
25 hours
Purchase price
10
You must be logged in to access or purchase this item.
There is a wealth of resources you can access by signing up as an ITI Member. Learn more about ITI membership benefits.

General Risk Assessment

Patient-related Factors

Oral hygiene Poor
Compliance Adequate

Patient-medical Factors

Medical Fitness Moderately compromised health, but can undergo planned anesthesia and surgical procedure (ASA II to ASA III)
Medications No medications that would negatively affect the surgical procedure and outcomes.
Radiation Treatment None
Growth Status Complete

Site-related Factors

Access Adequate
Pathology near the implant site None
Previous surgeries in planned implant site No previous procedures.

Surgical Classification

Surgical Complexity

Timing of placement Immediate Placement (extraction sockets) (Type I)
Simultaneous or Staged grafting procedures Implant placement with simultaneous hard and soft tissue procedures
Number of implants > Three

Anatomy

Bone Volume - Horizontal Adequate
Bone Volume - Vertical Small deficiency allowing implant placement and no augmentation. Small deficiency requiring simultaneous horizontal augmentation. Adequate for implant placement but requiring bone reduction.
Keratinized Tissue Minimal (2-4 mm)
Soft Tissue Quality Presence of scars and inflammation
Proximity to vital anatomic structures Moderate risk of involvement

Extractions

Radicular morphology Uniradicular
Available apical bone to achieve primary stability Sufficient height ( ≥ 4 mm) and width (> 2 mm around apex of planned implant)
Socket walls Partially missing. Extractions that result in small residual defects. Roots without associated bone defects
Thickness of buccal wall 2mm or greater
Anticipated residual defect after implant placement 2 mm or less

Prosthodontic Classification

Complicating Factors

Biological Framework/Bar with appropriate contours and accessible maintenance procedures
Mechanical/Technical Presence of non-critical contributing factors
Planned contour of tissue-fitting surfaces Appropriate contours (hygienic - accessible for maintenance)

Prosthesis Factors

Prosthetic volume Compromised. Can be resolved without adjunctive therapy
Inter-occlusal space Compromised. Can be resolved without adjunctive therapy
Volume and characteristics of the edentulous ridge (fixed) Inadequate. Adjunctive therapy or prosthetic materials may be necessary to achieve optimal result

Occlusal Factors

Occlusal scheme User-defined occlusal scheme achievable
Involvement in occlusion Involvement
Occlusal parafunction Absent

Complexity

Loading Protocol Immediate
Implant-supported provisional restoration Required, elevated esthetic and/or functional demands
Number of implants >2 (non-splinted) or ≥ 2 (splinted)
Timing of placement Immediate Placement (extraction sockets) (Type I)

Esthetic Risk Assessment

Edentulous Esthetic Risk Assessment (fixed)

Facial Support Minimal changes in facial support tolerated by patient
Labial Support Minimal changes in lip support tolerated by patient
Upper Lip Length Long upper lip (>20mm)
Buccal Corridor Wide Corridor
Smile Line No display of the Maxillary ridge at full smile
Maxillomandibular Relationship Class II
Publication date: Dec 9, 2025 Last review date: Dec 2, 2025 Next review date: Dec 2, 2028
3 - Proficient to Expert Clinical Case Treatment Guide 15

ITI QR code Mvc

Share this page

Download the QR code with a link to this page and use it in your presentations or share it on social media.

Download QR code
QR code