Case

0.0The average rating is 0 stars out of 5.

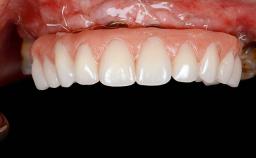
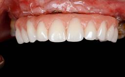
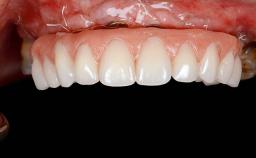
Replacing Four Upper Incisors with a Screw-Retained Bridge on Two Implants

A 22-year-old female patient was referred to our office for implant therapy following an accident in which the patient lost the upper left central incisor (tooth 21). The adjacent teeth had also been damaged; the right central incisor (11) and both lateral incisors (12, 22) showed grade II mobility. Immediately after the accident the first dental intervention involved repositioning of the mobile teeth and rigid splinting .

Surgical SAC classification
Complex
Prosthodontic SAC classification
Complex
Learner Level
Source
Treatment Guide 11
CME/CPD
0.15 hours
Purchase price
10
You must be logged in to access or purchase this item.
There is a wealth of resources you can access by signing up as an ITI Member. Learn more about ITI membership benefits.

General information

Case Type Extended Space
Jaw Maxilla
Area Anterior
# of Teeth 4
# of Implants 2
Type of Implants Reduced-Diameter|Two-Piece
Attachment Reduced-Diameter|Two-Piece
Bone Augmentation Horizontal|Simultaneous
Augmentation Materials Allogenous|Xenogenous|Membrane
Guided Surgery Yes
Soft Tissue Grafting -
Abutment Type CAD/CAM
Prosthesis Type FDP

Esthetic Risk Assessment

Esthetic Risk Factors Low Medium High
Medical Status Healthy Compromised
Smoking Habit Non-smoker Light smoker (< 10 cigarettes per day) Heavy smoker (>= 10 cigarettes per day)
Patient's Esthetic Expectations Low Medium High
Lip Line No exposure of papillae Exposure of papillae Full exposure of mucosa margin
Periodontal Phenotype Low-scalloped, thick Medium-scalloped, medium-thick High-scalloped, thin
Shape of Tooth Crowns Rectangular Triangular
Infection at Implant Site None Chronic Acute
Bone Level at Adjacent Teeth <= 5 mm to contact point 5.5 to 6.5 mm to contact point > 7 mm to contact point
Prosthodontic Status of Neighboring Teeth Virgin Restored
Width of Edentulous Span 1 tooth (>= 7 mm) 1 tooth (< 7 mm) 2 teeth or more
Soft Tissue Anatomy Intact Defective
Bone Volume Horizontally and vertically sufficient Horizontally deficient Deficient vertically or deficient vertically AND horizontally

* General SAC assessment modifiers that are also part of the ERA. To avoid redundancy they are listed in this section even if no complete ERA has been made.

** Not applicable to the ERA of immediate placement cases and replaced by "Socket Integrity" listed below under "Surgical SAC Classification". For all other placement types this value is a classification determinant and listed here even if no complete ERA has been made.

Surgical SAC classification

SAC Level Complex
Defining Characteristics More than three missing teeth to be replaced with an implant-borne prosthesis or prostheses
Modality Modality
Placement Protocol Immediate implant placement
Tooth Site Maxillary incisor or canine
Socket Morphology Single-root socket
Socket Integrity Damage to one or more bone walls
Bone Volume Damage to one or more socket walls
Anatomic Risk Low
Esthetic Risk High
Complexity Low
Risk of Complications High

Prosthodontic SAC classification

SAC Level Complex
Defining Characteristics Up to three missing teeth to be replaced with an implant-borne restoration or restorations
Loading Protocol Immediate
Retention -
Maxillomandibular Relationship -
Mesio-Distal Space Adequate for the replacement of all missing teeth
Inter-Arch Distance -
Bruxism -
Esthetic Risk High
Provisional Implant-Supported Prosthesis -
Interim Prosthesis during Healing -
Occlusion/Articulation -
Occlusal Scheme/Issues -

Surgical SAC Modifiers

Periodontal Status Healthy

Prosthodontic SAC Modifiers

Soft Tissue Contour and Volume Ideal

General SAC Modifiers

Oral Hygiene and Compliance Good
Access Adequate
Craniofacial/Skeletal Growth Completed
Publication date: May 27, 2021 Last review date: May 20, 2023 Next review date: May 20, 2026
Clinical Case Treatment Guide 11

ITI QR code Mvc

Share this page

Download the QR code with a link to this page and use it in your presentations or share it on social media.

Download QR code
QR code