
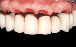
Replacement of Two Teeth in a Partially Dentate Posterior Maxilla with a Fixed Dental Prosthesis Using a Conventional Loading Protocol
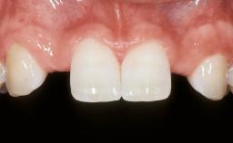
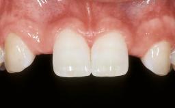
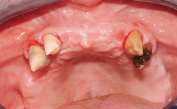
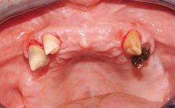
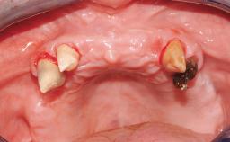
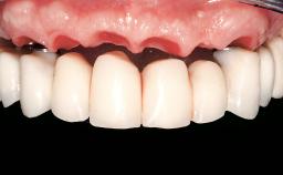
In September of 1995, a 64-year-old female patient presented to our clinic with a distally shortened arch in the left maxilla and the desire for a fixed rehabilitation. The patient’s medical history did not reveal any major issues, and she did not take any significant medication. She was a non-smoker and did not report any allergies.The patient wished to restore her chewing function on the left side, which was severely compromised due to the missing teeth 25, 26, and 27. The antagonistic lower teeth were present and in acceptable condition.










General information
Case Type | Short Space |
---|---|
Jaw | Maxilla |
Area | Posterior |
# of Teeth | 2 |
# of Implants | 2 |
Type of Implants | One-Piece |
Attachment | One-Piece |
Bone Augmentation | No|Sinus Floor Elevation|Staged |
---|---|
Augmentation Materials | - |
Guided Surgery | No |
Soft Tissue Grafting | None |
Abutment Type | Standard |
Prosthesis Type | FDP |
Esthetic Risk Assessment
Esthetic Risk Factors | Low | Medium | High |
---|---|---|---|
Medical Status | Healthy | Compromised | |
Smoking Habit | Non-smoker | Light smoker (< 10 cigarettes per day) | Heavy smoker (>= 10 cigarettes per day) |
Patient's Esthetic Expectations | Low | Medium | High |
Lip Line | No exposure of papillae | Exposure of papillae | Full exposure of mucosa margin |
Periodontal Phenotype | Low-scalloped, thick | Medium-scalloped, medium-thick | High-scalloped, thin |
Shape of Tooth Crowns | Rectangular | Triangular | |
Infection at Implant Site | None | Chronic | Acute |
Bone Level at Adjacent Teeth | <= 5 mm to contact point | 5.5 to 6.5 mm to contact point | > 7 mm to contact point |
Prosthodontic Status of Neighboring Teeth | Virgin | Restored | |
Width of Edentulous Span | 1 tooth (>= 7 mm) | 1 tooth (< 7 mm) | 2 teeth or more |
Soft Tissue Anatomy | Intact | Defective | |
Bone Volume | Horizontally and vertically sufficient | Horizontally deficient | Deficient vertically or deficient vertically AND horizontally |
* General SAC assessment modifiers that are also part of the ERA. To avoid redundancy they are listed in this section even if no complete ERA has been made.
** Not applicable to the ERA of immediate placement cases and replaced by "Socket Integrity" listed below under "Surgical SAC Classification". For all other placement types this value is a classification determinant and listed here even if no complete ERA has been made.
Surgical SAC classification
SAC Level | Complex |
---|---|
Defining Characteristics | Up to three missing teeth to be replaced with an implant-borne restoration or restorations |
Modality | - |
Placement Protocol | Early or late implant placement |
Tooth Site | - |
Socket Morphology | - |
Socket Integrity | - |
Bone Volume | Deficient vertically or deficient vertically AND horizontally |
Anatomic Risk | High |
Esthetic Risk | Low |
Complexity | High |
Risk of Complications | High |
Prosthodontic SAC classification
SAC Level | Straightforward |
---|---|
Defining Characteristics | Up to three missing teeth to be replaced with an implant-borne restoration or restorations |
Loading Protocol | Conventional or early |
Retention | Cemented, with prosthesis margin < 3mm submucosal Cemented, with prosthesis margin < 3mm submucosal |
Maxillomandibular Relationship | - |
Mesio-Distal Space | Anatomic space corresponding to the missing teeth +/- 1 mm |
Inter-Arch Distance | > 8 mm |
Bruxism | Absent |
Esthetic Risk | Low |
Provisional Implant-Supported Prosthesis | Prosthodontic margin < 3 mm apical to mucosal crest Prosthodontic margin < 3 mm apical to mucosal crest |
Interim Prosthesis during Healing | - - |
Occlusion/Articulation | Harmonious |
Occlusal Scheme/Issues | - |
Surgical SAC Modifiers
Periodontal Status | History of periodontitis or genetic predisposition |
---|
Prosthodontic SAC Modifiers
Soft Tissue Contour and Volume | - |
---|
General SAC Modifiers
Oral Hygiene and Compliance | Sufficient |
---|---|
Access | Adequate |
Craniofacial/Skeletal Growth | Completed |
Share this page
Download the QR code with a link to this page and use it in your presentations or share it on social media.
Download QR code