
Replacement of the Four Maxillary Incisors with a Fixed Dental Prosthesis Using a Conventional Loading Protocol
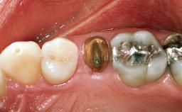
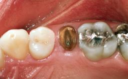
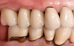
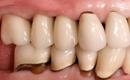
In 2005, a 54-year-old female patient presented to the University of Geneva School of Dentistry with a failing conventional fixed dental prosthesis (FDP). Her chief complaint was pain in the area of the premaxilla. She was a non-smoker, and her medical history was without significant findings. Her dental history, on the other hand, showed that, earlier in life, the patient had undergone orthodontic treatment to compensate for congenitally missing maxillary lateral incisors. The two first premolars had been mesialized into the canine position, while the two canines were moved to the lateral position. Later on, when the patient lost her right central incisor, the canines served as abutment teeth for a four-unit FDP. The patient presented a high lip line, which dramatically displayed discolored roots, an amalgam of pigmentations, and disharmonious gingival levels.











General information
Case Type | Extended Space |
---|---|
Jaw | Maxilla |
Area | Anterior |
# of Teeth | 4 |
# of Implants | 2 |
Type of Implants | One-Piece|Reduced-Diameter |
Attachment | One-Piece|Reduced-Diameter |
Bone Augmentation | - |
---|---|
Augmentation Materials | - |
Guided Surgery | No |
Soft Tissue Grafting | None |
Abutment Type | Standard |
Prosthesis Type | FDP |
Esthetic Risk Assessment
Esthetic Risk Factors | Low | Medium | High |
---|---|---|---|
Medical Status | Healthy | Compromised | |
Smoking Habit | Non-smoker | Light smoker (< 10 cigarettes per day) | Heavy smoker (>= 10 cigarettes per day) |
Patient's Esthetic Expectations | Low | Medium | High |
Lip Line | No exposure of papillae | Exposure of papillae | Full exposure of mucosa margin |
Periodontal Phenotype | Low-scalloped, thick | Medium-scalloped, medium-thick | High-scalloped, thin |
Shape of Tooth Crowns | Rectangular | Triangular | |
Infection at Implant Site | None | Chronic | Acute |
Bone Level at Adjacent Teeth | <= 5 mm to contact point | 5.5 to 6.5 mm to contact point | > 7 mm to contact point |
Prosthodontic Status of Neighboring Teeth | Virgin | Restored | |
Width of Edentulous Span | 1 tooth (>= 7 mm) | 1 tooth (< 7 mm) | 2 teeth or more |
Soft Tissue Anatomy | Intact | Defective | |
Bone Volume | Horizontally and vertically sufficient | Horizontally deficient | Deficient vertically or deficient vertically AND horizontally |
* General SAC assessment modifiers that are also part of the ERA. To avoid redundancy they are listed in this section even if no complete ERA has been made.
** Not applicable to the ERA of immediate placement cases and replaced by "Socket Integrity" listed below under "Surgical SAC Classification". For all other placement types this value is a classification determinant and listed here even if no complete ERA has been made.
Surgical SAC classification
SAC Level | Advanced |
---|---|
Defining Characteristics | Up to three missing teeth to be replaced with an implant-borne restoration or restorations |
Modality | - |
Placement Protocol | Early or late implant placement |
Tooth Site | - |
Socket Morphology | - |
Socket Integrity | - |
Bone Volume | Deficient horizontally, allowing simultaneous augumentation |
Anatomic Risk | Low |
Esthetic Risk | Medium |
Complexity | Moderate |
Risk of Complications | Moderate |
Prosthodontic SAC classification
SAC Level | Advanced |
---|---|
Defining Characteristics | Up to three missing teeth to be replaced with an implant-borne restoration or restorations |
Loading Protocol | Conventional or early |
Retention | Screw-retained, with 3 or more splinted implants Screw-retained, with 3 or more splinted implants |
Maxillomandibular Relationship | - |
Mesio-Distal Space | Adequate for the replacement of all missing teeth |
Inter-Arch Distance | - |
Bruxism | Absent |
Esthetic Risk | Medium |
Provisional Implant-Supported Prosthesis | Prosthodontic margin < 3 mm apical to mucosal crest Prosthodontic margin < 3 mm apical to mucosal crest |
Interim Prosthesis during Healing | Removable Removable |
Occlusion/Articulation | Irregular, with no need for correction |
Occlusal Scheme/Issues | - |
Surgical SAC Modifiers
Periodontal Status | Healthy |
---|
Prosthodontic SAC Modifiers
Soft Tissue Contour and Volume | Slightly compromised |
---|
General SAC Modifiers
Oral Hygiene and Compliance | Good |
---|---|
Access | Adequate |
Craniofacial/Skeletal Growth | Completed |
Share this page
Download the QR code with a link to this page and use it in your presentations or share it on social media.
Download QR code