
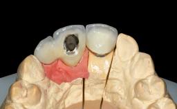
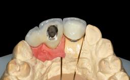
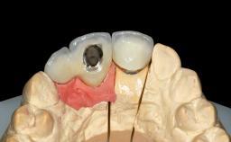
Replacement of Six Teeth with a Fixed Dental Prosthesis on Four Bone-Level Implants
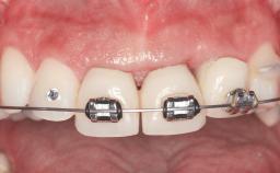
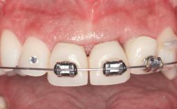
In November 2010, a 44-year-old woman presented to the Harvard School of Dental Medicine seeking options to replace her failing six-unit conventional prosthesis. Having served for approximately 10 years, the fixed partial denture had repeatedly needed recementation after chronic dislodgement over the past few months. Following these episodes, the patient requested further evaluation of her current prosthesis and showed interest in exploring other options for a fixed solution. The patient was in good overall health, presenting with no systemic contraindications to implant therapy or any history of allergies; she did not smoke and was on no medications. Being a well-motivated individual, she regularly saw her general dental practitioner and effectively complied with oral hygiene requirements.











General information
Case Type | Extended Space |
---|---|
Jaw | Maxilla |
Area | Anterior |
# of Teeth | 6 |
# of Implants | 4 |
Type of Implants | Two-Piece |
Attachment | Two-Piece |
Bone Augmentation | Horizontal|Simultaneous |
---|---|
Augmentation Materials | Xenogenous|Membrane |
Guided Surgery | No |
Soft Tissue Grafting | None |
Abutment Type | CAD/CAM |
Prosthesis Type | FDP |
Esthetic Risk Assessment
Esthetic Risk Factors | Low | Medium | High |
---|---|---|---|
Medical Status | Healthy | Compromised | |
Smoking Habit | Non-smoker | Light smoker (< 10 cigarettes per day) | Heavy smoker (>= 10 cigarettes per day) |
Patient's Esthetic Expectations | Low | Medium | High |
Lip Line | No exposure of papillae | Exposure of papillae | Full exposure of mucosa margin |
Periodontal Phenotype | Low-scalloped, thick | Medium-scalloped, medium-thick | High-scalloped, thin |
Shape of Tooth Crowns | Rectangular | Triangular | |
Infection at Implant Site | None | Chronic | Acute |
Bone Level at Adjacent Teeth | <= 5 mm to contact point | 5.5 to 6.5 mm to contact point | > 7 mm to contact point |
Prosthodontic Status of Neighboring Teeth | Virgin | Restored | |
Width of Edentulous Span | 1 tooth (>= 7 mm) | 1 tooth (< 7 mm) | 2 teeth or more |
Soft Tissue Anatomy | Intact | Defective | |
Bone Volume | Horizontally and vertically sufficient | Horizontally deficient | Deficient vertically or deficient vertically AND horizontally |
* General SAC assessment modifiers that are also part of the ERA. To avoid redundancy they are listed in this section even if no complete ERA has been made.
** Not applicable to the ERA of immediate placement cases and replaced by "Socket Integrity" listed below under "Surgical SAC Classification". For all other placement types this value is a classification determinant and listed here even if no complete ERA has been made.
Surgical SAC classification
SAC Level | Advanced |
---|---|
Defining Characteristics | More than three missing teeth to be replaced with an implant-borne prosthesis or prostheses |
Modality | - |
Placement Protocol | Early or late implant placement |
Tooth Site | - |
Socket Morphology | - |
Socket Integrity | - |
Bone Volume | Deficient horizontally, allowing simultaneous augumentation |
Anatomic Risk | Low |
Esthetic Risk | Medium |
Complexity | Moderate |
Risk of Complications | Moderate |
Prosthodontic SAC classification
SAC Level | Straightforward |
---|---|
Defining Characteristics | Up to three missing teeth to be replaced with an implant-borne restoration or restorations |
Loading Protocol | Conventional or early |
Retention | Cemented, with prosthesis margin < 3mm submucosal Cemented, with prosthesis margin < 3mm submucosal |
Maxillomandibular Relationship | - |
Mesio-Distal Space | Adequate for the replacement of all missing teeth |
Inter-Arch Distance | - |
Bruxism | Absent |
Esthetic Risk | Medium |
Provisional Implant-Supported Prosthesis | Prosthodontic margin < 3 mm apical to mucosal crest Prosthodontic margin < 3 mm apical to mucosal crest |
Interim Prosthesis during Healing | Removable Removable |
Occlusion/Articulation | Harmonious |
Occlusal Scheme/Issues | - |
Surgical SAC Modifiers
Periodontal Status | Healthy |
---|
Prosthodontic SAC Modifiers
Soft Tissue Contour and Volume | Slightly compromised |
---|
General SAC Modifiers
Oral Hygiene and Compliance | Good |
---|---|
Access | Adequate |
Craniofacial/Skeletal Growth | Completed |
Share this page
Download the QR code with a link to this page and use it in your presentations or share it on social media.
Download QR code