Case

5.0The average rating is 5 stars out of 5.

Replacement of Multiple Teeth in a Partially Dentate Posterior Mandible with a Fixed Dental Prosthesis Using an Early Loading Protocol

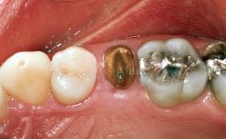
In 2002, a 27-year-old female patient was referred to our clinic for the treatment of her failing dentition. The patient’s medical history revealed no significant findings that would preclude routine dental procedures. She reported no drug allergies and was currently taking no medications. Her dental history was restricted to operative dentistry that addressed several areas of recurrent decay. The patient was on a periodontal recall and home care program that continually fell short of maintaining a healthy dentition.The patient’s chief complaint was: “My teeth often break, and they are sensitive when I eat and drink.”

Surgical SAC classification
Advanced
Prosthodontic SAC classification
Straightforward
Learner Level
Source
Treatment Guide 2
CME/CPD
0.15 hours
Purchase price
10
You must be logged in to access or purchase this item.
There is a wealth of resources you can access by signing up as an ITI Member. Learn more about ITI membership benefits.

General information

Case Type Short Space
Jaw Mandible
Area Posterior
# of Teeth 3
# of Implants 2
Type of Implants One-Piece
Attachment One-Piece
Bone Augmentation No
Augmentation Materials -
Guided Surgery No
Soft Tissue Grafting None
Abutment Type Standard
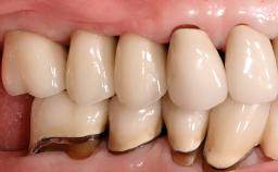
Prosthesis Type FDP

Esthetic Risk Assessment

Esthetic Risk Factors Low Medium High
Medical Status Healthy Compromised
Smoking Habit Non-smoker Light smoker (< 10 cigarettes per day) Heavy smoker (>= 10 cigarettes per day)
Patient's Esthetic Expectations Low Medium High
Lip Line No exposure of papillae Exposure of papillae Full exposure of mucosa margin
Periodontal Phenotype Low-scalloped, thick Medium-scalloped, medium-thick High-scalloped, thin
Shape of Tooth Crowns Rectangular Triangular
Infection at Implant Site None Chronic Acute
Bone Level at Adjacent Teeth <= 5 mm to contact point 5.5 to 6.5 mm to contact point > 7 mm to contact point
Prosthodontic Status of Neighboring Teeth Virgin Restored
Width of Edentulous Span 1 tooth (>= 7 mm) 1 tooth (< 7 mm) 2 teeth or more
Soft Tissue Anatomy Intact Defective
Bone Volume Horizontally and vertically sufficient Horizontally deficient Deficient vertically or deficient vertically AND horizontally

* General SAC assessment modifiers that are also part of the ERA. To avoid redundancy they are listed in this section even if no complete ERA has been made.

** Not applicable to the ERA of immediate placement cases and replaced by "Socket Integrity" listed below under "Surgical SAC Classification". For all other placement types this value is a classification determinant and listed here even if no complete ERA has been made.

Surgical SAC classification

SAC Level Advanced
Defining Characteristics Up to three missing teeth to be replaced with an implant-borne restoration or restorations
Modality -
Placement Protocol Immediate implant placement
Tooth Site Mandibular molar
Socket Morphology Multi-root socket
Socket Integrity Sufficient, with intact bone walls
Bone Volume Sufficient, with intact walls
Anatomic Risk Low
Esthetic Risk Low
Complexity Moderate
Risk of Complications Moderate

Prosthodontic SAC classification

SAC Level Straightforward
Defining Characteristics Up to three missing teeth to be replaced with an implant-borne restoration or restorations
Loading Protocol Conventional or early
Retention Cemented, with prosthesis margin < 3mm submucosal Cemented, with prosthesis margin < 3mm submucosal
Maxillomandibular Relationship -
Mesio-Distal Space Anatomic space corresponding to the missing teeth +/- 1 mm
Inter-Arch Distance > 8 mm
Bruxism Absent
Esthetic Risk Low
Provisional Implant-Supported Prosthesis - -
Interim Prosthesis during Healing - -
Occlusion/Articulation Harmonious
Occlusal Scheme/Issues -

Surgical SAC Modifiers

Periodontal Status Healthy

Prosthodontic SAC Modifiers

Soft Tissue Contour and Volume -

General SAC Modifiers

Oral Hygiene and Compliance Sufficient
Access Adequate
Craniofacial/Skeletal Growth Completed
Publication date: Jan 11, 2015 Last review date: Apr 10, 2023 Next review date: Apr 10, 2026
Clinical Case Treatment Guide 2

ITI QR code Mvc

Share this page

Download the QR code with a link to this page and use it in your presentations or share it on social media.

Download QR code
QR code