Replacement of an Upper Right Central Incisor with a Regular Neck Implant, Restored with an All-Ceramic Crown, Transocclusally Screw-Retained
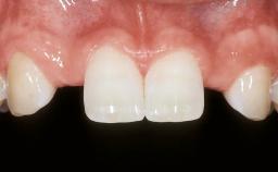
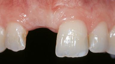
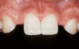
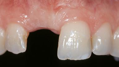
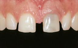
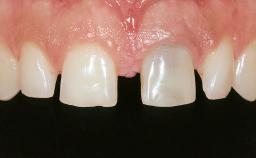
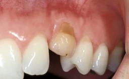
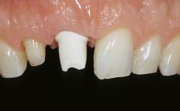
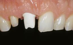
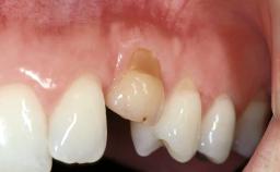
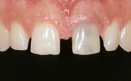
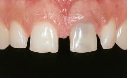
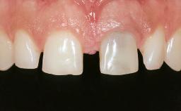
This 37-year-old female patient, a non-smoker, complained about discomfort and gingival problems at tooth 11. She was in good general health, and her medical history was without significant findings. The clinical inspection of the oral cavity revealed a fistula originating at tooth 11. Radiological examination of the crowned tooth 11 re- vealed a root-canal filling, status after apicoectomy, and a large periapical bone defect, as well as secondary caries. The adjacent teeth, 21 and 12,were periodontally healthy. They had interdental composite fillings that the patient wanted replaced. The bone crest levels of teeth 12 and 21 well maintained, providing potential soft-tissue support.
General information
| Case Type | Single-Tooth Space |
|---|---|
| Jaw | Maxilla |
| Area | Anterior |
| # of Teeth | 1 |
| # of Implants | 1 |
| Type of Implants | One-Piece |
| Attachment | One-Piece |
| Bone Augmentation | Staged |
|---|---|
| Augmentation Materials | Autogenous chips|Xenogenous|Membrane |
| Guided Surgery | No |
| Soft Tissue Grafting | Staged |
| Abutment Type | Customized |
| Prosthesis Type | FDP |
Esthetic Risk Assessment
| Esthetic Risk Factors | Low | Medium | High |
|---|---|---|---|
| Medical Status | Healthy | Compromised | |
| Smoking Habit | Non-smoker | Light smoker (< 10 cigarettes per day) | Heavy smoker (>= 10 cigarettes per day) |
| Patient's Esthetic Expectations | Low | Medium | High |
| Lip Line | No exposure of papillae | Exposure of papillae | Full exposure of mucosa margin |
| Periodontal Phenotype | Low-scalloped, thick | Medium-scalloped, medium-thick | High-scalloped, thin |
| Shape of Tooth Crowns | Rectangular | Triangular | |
| Infection at Implant Site | None | Chronic | Acute |
| Bone Level at Adjacent Teeth | <= 5 mm to contact point | 5.5 to 6.5 mm to contact point | > 7 mm to contact point |
| Prosthodontic Status of Neighboring Teeth | Virgin | Restored | |
| Width of Edentulous Span | 1 tooth (>= 7 mm) | 1 tooth (< 7 mm) | 2 teeth or more |
| Soft Tissue Anatomy | Intact | Defective | |
| Bone Volume | Horizontally and vertically sufficient | Horizontally deficient | Deficient vertically or deficient vertically AND horizontally |
* General SAC assessment modifiers that are also part of the ERA. To avoid redundancy they are listed in this section even if no complete ERA has been made.
** Not applicable to the ERA of immediate placement cases and replaced by "Socket Integrity" listed below under "Surgical SAC Classification". For all other placement types this value is a classification determinant and listed here even if no complete ERA has been made.
Surgical SAC classification
| SAC Level | Complex |
|---|---|
| Defining Characteristics | One missing tooth to be replaced by an implant-borne crown |
| Modality | - |
| Placement Protocol | Early or late implant placement |
| Tooth Site | - |
| Socket Morphology | - |
| Socket Integrity | - |
| Bone Volume | Deficient horizontally, requiring prior grafting |
| Anatomic Risk | Low |
| Esthetic Risk | High |
| Complexity | Moderate |
| Risk of Complications | Moderate |
Prosthodontic SAC classification
| SAC Level | Advanced |
|---|---|
| Defining Characteristics | One missing tooth to be replaced by an implant-borne crown |
| Loading Protocol | Conventional or early |
| Retention | Screw-retained Screw-retained |
| Maxillomandibular Relationship | Angle Class I and III |
| Mesio-Distal Space | Symmetry +/- 1 mm of contra-lateral tooth |
| Inter-Arch Distance | - |
| Bruxism | - |
| Esthetic Risk | High |
| Provisional Implant-Supported Prosthesis | Prosthodontic margin < 3 mm apical to mucosal margin Prosthodontic margin < 3 mm apical to mucosal margin |
| Interim Prosthesis during Healing | - - |
| Occlusion/Articulation | - |
| Occlusal Scheme/Issues | - |
Surgical SAC Modifiers
| Periodontal Status | Healthy |
|---|
Prosthodontic SAC Modifiers
| Soft Tissue Contour and Volume | Slightly compromised |
|---|
General SAC Modifiers
| Oral Hygiene and Compliance | Sufficient |
|---|---|
| Access | Adequate |
| Craniofacial/Skeletal Growth | Completed |
Share this page
Download the QR code with a link to this page and use it in your presentations or share it on social media.
Download QR code