
Replacement of an Upper Left Central Incisor with a Regular Neck Implant, Restored with a Ceramo-Metal Crown, Transocclusally Screw-Retained
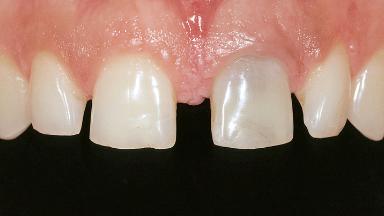
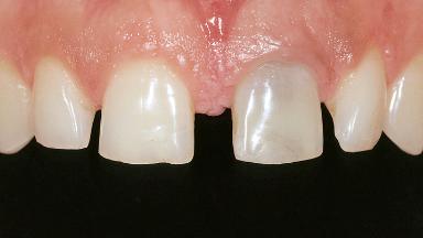
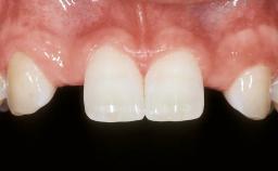
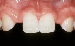
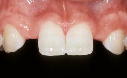
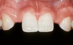
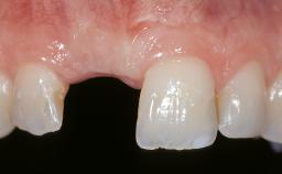
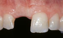
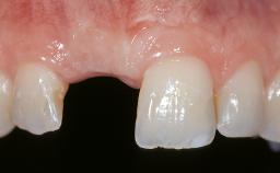
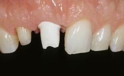
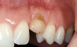
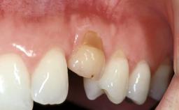
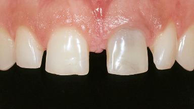
The 23-old-male patient, a light smoker (less than five cigarettes per day), presented with a non-vital and discolored tooth 21. The patient was in good general health, and his medical history was without significant findings. He suffered from pain originating from mobile tooth 21. Because of the discoloration of tooth 21, the patient asked to have his esthetic appearance improved.Tooth 21 had been endodontically treated after trauma,and an apicoectomy had been performed. At full smile, the patient had a medium smile line, exposing the full teeth and part of the gingiva. The patient’s gingival biotype was medium thick, with a sufficiently thick band of attached keratinized gingiva. The tissue was free of recessions or other defects.










General information
Case Type | Single-Tooth Space |
---|---|
Jaw | Maxilla |
Area | Anterior |
# of Teeth | 1 |
# of Implants | 1 |
Type of Implants | One-Piece |
Attachment | One-Piece |
Bone Augmentation | Horizontal|Simultaneous |
---|---|
Augmentation Materials | Autogenous chips|Xenogenous|Membrane |
Guided Surgery | No |
Soft Tissue Grafting | Staged |
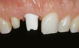
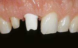
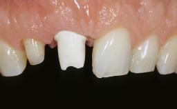
Abutment Type | Customized |
Prosthesis Type | FDP |
Esthetic Risk Assessment
Esthetic Risk Factors | Low | Medium | High |
---|---|---|---|
Medical Status | Healthy | Compromised | |
Smoking Habit | Non-smoker | Light smoker (< 10 cigarettes per day) | Heavy smoker (>= 10 cigarettes per day) |
Patient's Esthetic Expectations | Low | Medium | High |
Lip Line | No exposure of papillae | Exposure of papillae | Full exposure of mucosa margin |
Periodontal Phenotype | Low-scalloped, thick | Medium-scalloped, medium-thick | High-scalloped, thin |
Shape of Tooth Crowns | Rectangular | Triangular | |
Infection at Implant Site | None | Chronic | Acute |
Bone Level at Adjacent Teeth | <= 5 mm to contact point | 5.5 to 6.5 mm to contact point | > 7 mm to contact point |
Prosthodontic Status of Neighboring Teeth | Virgin | Restored | |
Width of Edentulous Span | 1 tooth (>= 7 mm) | 1 tooth (< 7 mm) | 2 teeth or more |
Soft Tissue Anatomy | Intact | Defective | |
Bone Volume | Horizontally and vertically sufficient | Horizontally deficient | Deficient vertically or deficient vertically AND horizontally |
* General SAC assessment modifiers that are also part of the ERA. To avoid redundancy they are listed in this section even if no complete ERA has been made.
** Not applicable to the ERA of immediate placement cases and replaced by "Socket Integrity" listed below under "Surgical SAC Classification". For all other placement types this value is a classification determinant and listed here even if no complete ERA has been made.
Surgical SAC classification
SAC Level | Advanced |
---|---|
Defining Characteristics | One missing tooth to be replaced by an implant-borne crown |
Modality | - |
Placement Protocol | Early or late implant placement |
Tooth Site | - |
Socket Morphology | - |
Socket Integrity | - |
Bone Volume | Deficient horizontally, allowing simultaneous augumentation |
Anatomic Risk | Low |
Esthetic Risk | Medium |
Complexity | Moderate |
Risk of Complications | Moderate |
Prosthodontic SAC classification
SAC Level | Advanced |
---|---|
Defining Characteristics | One missing tooth to be replaced by an implant-borne crown |
Loading Protocol | Conventional or early |
Retention | Screw-retained Screw-retained |
Maxillomandibular Relationship | Angle Class I and III |
Mesio-Distal Space | Asymmetry greater than 1 mm |
Inter-Arch Distance | - |
Bruxism | - |
Esthetic Risk | Medium |
Provisional Implant-Supported Prosthesis | Prosthodontic margin < 3 mm apical to mucosal margin Prosthodontic margin < 3 mm apical to mucosal margin |
Interim Prosthesis during Healing | - - |
Occlusion/Articulation | - |
Occlusal Scheme/Issues | - |
Surgical SAC Modifiers
Periodontal Status | Healthy |
---|
Prosthodontic SAC Modifiers
Soft Tissue Contour and Volume | Slightly compromised |
---|
General SAC Modifiers
Oral Hygiene and Compliance | Good |
---|---|
Access | Adequate |
Craniofacial/Skeletal Growth | Completed |
Share this page
Download the QR code with a link to this page and use it in your presentations or share it on social media.
Download QR code