 
                                Replacement of an Ankylosed Upper Left Central Incisor: Bone Augmentation and Socket Grafting, Late Placement of an RC Bone Level Implant
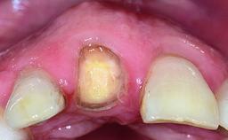
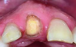
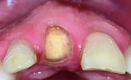
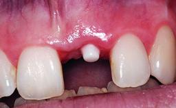
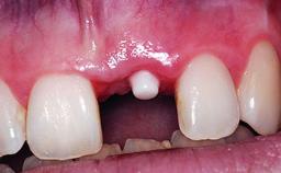
A 15-year-old male patient was referred to us by his pediatric dentist in June 2004 for evaluation of treatment options for his failing tooth 21. The patient had recently seen an endodontist for internal bleaching and been advised that there had been significant resorption and ankylosis. The patient’s mother was concerned because the tooth appeared shorter than the adjacent one. His past dental history was significant for trauma (September 2001), where the tooth had been avulsed and reimplanted. Teeth 11 and 21 had been endodontically treated.
 
                                                     
                                 
                                 
                                 
                                 
                                 
                                 
                                 
                                 
                                General information
| Case Type | Single-Tooth Space | 
|---|---|
| Jaw | Maxilla | 
| Area | Anterior | 
| # of Teeth | 1 | 
| # of Implants | 1 | 
| Type of Implants | Two-Piece | 
| Attachment | Two-Piece | 
| Bone Augmentation | Horizontal|Simultaneous|Staged | 
|---|---|
| Augmentation Materials | Autogenous chips|Xenogenous | 
| Guided Surgery | No | 
| Soft Tissue Grafting | None | 
| Abutment Type | CAD/CAM | 
| Prosthesis Type | FDP | 
Esthetic Risk Assessment
| Esthetic Risk Factors | Low | Medium | High | 
|---|---|---|---|
| Medical Status | Healthy | Compromised | |
| Smoking Habit | Non-smoker | Light smoker (< 10 cigarettes per day) | Heavy smoker (>= 10 cigarettes per day) | 
| Patient's Esthetic Expectations | Low | Medium | High | 
| Lip Line | No exposure of papillae | Exposure of papillae | Full exposure of mucosa margin | 
| Periodontal Phenotype | Low-scalloped, thick | Medium-scalloped, medium-thick | High-scalloped, thin | 
| Shape of Tooth Crowns | Rectangular | Triangular | |
| Infection at Implant Site | None | Chronic | Acute | 
| Bone Level at Adjacent Teeth | <= 5 mm to contact point | 5.5 to 6.5 mm to contact point | > 7 mm to contact point | 
| Prosthodontic Status of Neighboring Teeth | Virgin | Restored | |
| Width of Edentulous Span | 1 tooth (>= 7 mm) | 1 tooth (< 7 mm) | 2 teeth or more | 
| Soft Tissue Anatomy | Intact | Defective | |
| Bone Volume | Horizontally and vertically sufficient | Horizontally deficient | Deficient vertically or deficient vertically AND horizontally | 
* General SAC assessment modifiers that are also part of the ERA. To avoid redundancy they are listed in this section even if no complete ERA has been made.
** Not applicable to the ERA of immediate placement cases and replaced by "Socket Integrity" listed below under "Surgical SAC Classification". For all other placement types this value is a classification determinant and listed here even if no complete ERA has been made.
Surgical SAC classification
| SAC Level | Complex | 
|---|---|
| Defining Characteristics | One missing tooth to be replaced by an implant-borne prosthesis | 
| Modality | - | 
| Placement Protocol | Early or late implant placement | 
| Tooth Site | - | 
| Socket Morphology | - | 
| Socket Integrity | - | 
| Bone Volume | Deficient horizontally, requiring prior grafting | 
| Anatomic Risk | Low | 
| Esthetic Risk | High | 
| Complexity | Moderate | 
| Risk of Complications | Moderate | 
Prosthodontic SAC classification
| SAC Level | Advanced | 
|---|---|
| Defining Characteristics | One missing tooth to be replaced by an implant-borne crown | 
| Loading Protocol | Conventional or early | 
| Retention | Screw-retained Screw-retained | 
| Maxillomandibular Relationship | Angle Class I and III | 
| Mesio-Distal Space | Symmetry +/- 1 mm of contra-lateral tooth | 
| Inter-Arch Distance | - | 
| Bruxism | - | 
| Esthetic Risk | High | 
| Provisional Implant-Supported Prosthesis | Prosthodontic margin > 3 mm apical to mucosal margin Prosthodontic margin > 3 mm apical to mucosal margin | 
| Interim Prosthesis during Healing | Fixed Fixed | 
| Occlusion/Articulation | - | 
| Occlusal Scheme/Issues | - | 
Surgical SAC Modifiers
| Periodontal Status | Healthy | 
|---|
Prosthodontic SAC Modifiers
| Soft Tissue Contour and Volume | Significantly deficient | 
|---|
General SAC Modifiers
| Oral Hygiene and Compliance | Good | 
|---|---|
| Access | Adequate | 
| Craniofacial/Skeletal Growth | Completed | 
Share this page
Download the QR code with a link to this page and use it in your presentations or share it on social media.
Download QR code