Replacement of a Maxillary Right Second Premolar Using an Early Loading Protocol
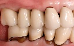
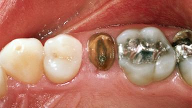
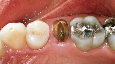
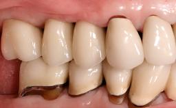
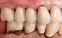
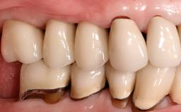
In February 2002, a 31-year-old non-smoking male patient was referred by his dentist after the fracture of the crown of the maxillary right second premolar, tooth 15. The fracture line was located apically to the gingival margin, particularly on the palatal side. Radiographic examination revealed the presence of a previous endodontic treatment with a non-ideal apical seal. There were no signs of periapical osteolysis. The level of the interproximal bone was normal. The patient’s medical history did not reveal any significant findings and he was in good general health.
General information
| Case Type | Single-Tooth Space |
|---|---|
| Jaw | Maxilla |
| Area | Posterior |
| # of Teeth | 1 |
| # of Implants | 1 |
| Type of Implants | One-Piece |
| Attachment | One-Piece |
| Bone Augmentation | Horizontal|Simultaneous |
|---|---|
| Augmentation Materials | Xenogenous |
| Guided Surgery | No |
| Soft Tissue Grafting | - |
| Abutment Type | Standard |
| Prosthesis Type | FDP |
Esthetic Risk Assessment
| Esthetic Risk Factors | Low | Medium | High |
|---|---|---|---|
| Medical Status | Healthy | Compromised | |
| Smoking Habit | Non-smoker | Light smoker (< 10 cigarettes per day) | Heavy smoker (>= 10 cigarettes per day) |
| Patient's Esthetic Expectations | Low | Medium | High |
| Lip Line | No exposure of papillae | Exposure of papillae | Full exposure of mucosa margin |
| Periodontal Phenotype | Low-scalloped, thick | Medium-scalloped, medium-thick | High-scalloped, thin |
| Shape of Tooth Crowns | Rectangular | Triangular | |
| Infection at Implant Site | None | Chronic | Acute |
| Bone Level at Adjacent Teeth | <= 5 mm to contact point | 5.5 to 6.5 mm to contact point | > 7 mm to contact point |
| Prosthodontic Status of Neighboring Teeth | Virgin | Restored | |
| Width of Edentulous Span | 1 tooth (>= 7 mm) | 1 tooth (< 7 mm) | 2 teeth or more |
| Soft Tissue Anatomy | Intact | Defective | |
| Bone Volume | Horizontally and vertically sufficient | Horizontally deficient | Deficient vertically or deficient vertically AND horizontally |
* General SAC assessment modifiers that are also part of the ERA. To avoid redundancy they are listed in this section even if no complete ERA has been made.
** Not applicable to the ERA of immediate placement cases and replaced by "Socket Integrity" listed below under "Surgical SAC Classification". For all other placement types this value is a classification determinant and listed here even if no complete ERA has been made.
Surgical SAC classification
| SAC Level | Advanced |
|---|---|
| Defining Characteristics | One missing tooth to be replaced by an implant-borne crown |
| Modality | - |
| Placement Protocol | Immediate implant placement |
| Tooth Site | Maxillary premolar |
| Socket Morphology | Multi-root socket |
| Socket Integrity | Sufficient, with intact bone walls |
| Bone Volume | Sufficient, with intact walls |
| Anatomic Risk | Low |
| Esthetic Risk | Low |
| Complexity | Moderate |
| Risk of Complications | Moderate |
Prosthodontic SAC classification
| SAC Level | Straightforward |
|---|---|
| Defining Characteristics | One missing tooth to be replaced by an implant-borne crown |
| Loading Protocol | Conventional or early |
| Retention | Cemented, with prosthesis margin < 3mm submucosal Cemented, with prosthesis margin < 3mm submucosal |
| Maxillomandibular Relationship | - |
| Mesio-Distal Space | Anatomic space corresponding to the missing tooth +/- 1 mm |
| Inter-Arch Distance | Ideal tooth height +/- 1 mm |
| Bruxism | Absent |
| Esthetic Risk | Low |
| Provisional Implant-Supported Prosthesis | Prosthodontic margin < 3 mm apical to mucosal margin Prosthodontic margin < 3 mm apical to mucosal margin |
| Interim Prosthesis during Healing | - - |
| Occlusion/Articulation | - |
| Occlusal Scheme/Issues | - |
Surgical SAC Modifiers
| Periodontal Status | Healthy |
|---|
Prosthodontic SAC Modifiers
| Soft Tissue Contour and Volume | - |
|---|
General SAC Modifiers
| Oral Hygiene and Compliance | Good |
|---|---|
| Access | Adequate |
| Craniofacial/Skeletal Growth | Completed |
Share this page
Download the QR code with a link to this page and use it in your presentations or share it on social media.
Download QR code