Case

5.0The average rating is 5 stars out of 5.

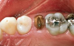
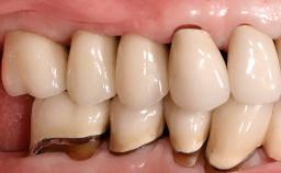
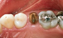
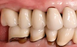
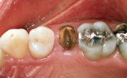
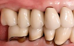
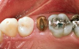
Replacement of a Maxillary Left Second Premolar Using an Immediate Restoration Protocol

In June 2002, a healthy and cooperative 42-year-old female patient was referred for consultation and for the treatment of a fractured maxillary left second premolar. The patient reported an uncomplicated medical history, significant only for seasonal allergies. She had been in the continuous care of a general dental practitioner at the University of Florida College of Dentistry for more than ten years, her recent dental history being restricted to routine operative dentistry and periodontal maintenance. Her plaque control and gingival health was considered for the most part to be excellent, and no intraoral periodontal probing depths exceeded 3 mm. Her esthetic demands were considered moderate to high, and she displayed a high smile line. Intraoral examination revealed a Class I malocclusion, characterized by minor tooth misalignment and midline disharmony, for which orthodontic therapy was recommended and rejected. Her gingival biotype was considered medium to thick.

Surgical SAC classification
Advanced
Prosthodontic SAC classification
Advanced
Learner Level
Source
Treatment Guide 2
CME/CPD
0.15 hours
Purchase price
10
You must be logged in to access or purchase this item.
There is a wealth of resources you can access by signing up as an ITI Member. Learn more about ITI membership benefits.

General information

Case Type Single-Tooth Space
Jaw Maxilla
Area Posterior
# of Teeth 1
# of Implants 1
Type of Implants One-Piece
Attachment One-Piece
Bone Augmentation No
Augmentation Materials -
Guided Surgery No
Soft Tissue Grafting None
Abutment Type Customized
Prosthesis Type FDP

Esthetic Risk Assessment

Esthetic Risk Factors Low Medium High
Medical Status Healthy Compromised
Smoking Habit Non-smoker Light smoker (< 10 cigarettes per day) Heavy smoker (>= 10 cigarettes per day)
Patient's Esthetic Expectations Low Medium High
Lip Line No exposure of papillae Exposure of papillae Full exposure of mucosa margin
Periodontal Phenotype Low-scalloped, thick Medium-scalloped, medium-thick High-scalloped, thin
Shape of Tooth Crowns Rectangular Triangular
Infection at Implant Site None Chronic Acute
Bone Level at Adjacent Teeth <= 5 mm to contact point 5.5 to 6.5 mm to contact point > 7 mm to contact point
Prosthodontic Status of Neighboring Teeth Virgin Restored
Width of Edentulous Span 1 tooth (>= 7 mm) 1 tooth (< 7 mm) 2 teeth or more
Soft Tissue Anatomy Intact Defective
Bone Volume Horizontally and vertically sufficient Horizontally deficient Deficient vertically or deficient vertically AND horizontally

* General SAC assessment modifiers that are also part of the ERA. To avoid redundancy they are listed in this section even if no complete ERA has been made.

** Not applicable to the ERA of immediate placement cases and replaced by "Socket Integrity" listed below under "Surgical SAC Classification". For all other placement types this value is a classification determinant and listed here even if no complete ERA has been made.

Surgical SAC classification

SAC Level Advanced
Defining Characteristics One missing tooth to be replaced by an implant-borne crown
Modality -
Placement Protocol Immediate implant placement
Tooth Site Maxillary premolar
Socket Morphology Multi-root socket
Socket Integrity Sufficient, with intact bone walls
Bone Volume Sufficient, with intact walls
Anatomic Risk Low
Esthetic Risk High
Complexity Moderate
Risk of Complications Moderate

Prosthodontic SAC classification

SAC Level Advanced
Defining Characteristics One missing tooth to be replaced by an implant-borne crown
Loading Protocol Immediate
Retention Cemented, with meso-structure Cemented, with meso-structure
Maxillomandibular Relationship -
Mesio-Distal Space Anatomic space corresponding to the missing tooth +/- 1 mm
Inter-Arch Distance Ideal tooth height +/- 1 mm
Bruxism Absent
Esthetic Risk High
Provisional Implant-Supported Prosthesis Prosthodontic margin < 3 mm apical to mucosal margin Prosthodontic margin < 3 mm apical to mucosal margin
Interim Prosthesis during Healing - -
Occlusion/Articulation -
Occlusal Scheme/Issues -

Surgical SAC Modifiers

Periodontal Status Healthy

Prosthodontic SAC Modifiers

Soft Tissue Contour and Volume Ideal

General SAC Modifiers

Oral Hygiene and Compliance Good
Access Adequate
Craniofacial/Skeletal Growth Completed
Publication date: Jan 11, 2015 Last review date: Apr 10, 2023 Next review date: Apr 10, 2026
Clinical Case Treatment Guide 2

ITI QR code Mvc

Share this page

Download the QR code with a link to this page and use it in your presentations or share it on social media.

Download QR code
QR code