
Replacement of a Failing Upper Right Central Incisor, Ridge Preservation and Late Placement of a NC Bone Level Implant
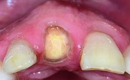
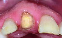
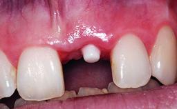
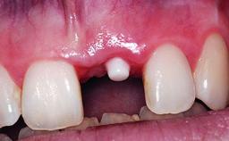
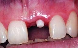
A 30-year-old patient presented at our clinic with a chief complaint of pain in her endodontically treated right maxillary central incisor (tooth 11) with a post-and-core and a fixed single crown. She had a very high lip line, a medium to thin soft-tissue phenotype, and a medium scalloped gingival contour. She also had high esthetic expectations because of her young age and beautiful smile. However, her expectations were realistic and she understood the risks of the treatment. At the initial clinical examination there was a slight mobility of tooth 11; no fistula was observed. The patient also had a single crown on the adjacent tooth 21. Both restorations were old and esthetically deficient. A digital periapical radiograph showed a very small periapical radiolucency, a thick intraradicular post, and no separation between root fragments.










General information
Case Type | Single-Tooth Space |
---|---|
Jaw | Maxilla |
Area | Anterior |
# of Teeth | 1 |
# of Implants | 1 |
Type of Implants | Reduced-Diameter|Two-Piece |
Attachment | Reduced-Diameter|Two-Piece |
Bone Augmentation | Staged |
---|---|
Augmentation Materials | Xenogenous|Membrane |
Guided Surgery | No |
Soft Tissue Grafting | Simultaneous |
Abutment Type | Customized |
Prosthesis Type | FDP |
Esthetic Risk Assessment
Esthetic Risk Factors | Low | Medium | High |
---|---|---|---|
Medical Status | Healthy | Compromised | |
Smoking Habit | Non-smoker | Light smoker (< 10 cigarettes per day) | Heavy smoker (>= 10 cigarettes per day) |
Patient's Esthetic Expectations | Low | Medium | High |
Lip Line | No exposure of papillae | Exposure of papillae | Full exposure of mucosa margin |
Periodontal Phenotype | Low-scalloped, thick | Medium-scalloped, medium-thick | High-scalloped, thin |
Shape of Tooth Crowns | Rectangular | Triangular | |
Infection at Implant Site | None | Chronic | Acute |
Bone Level at Adjacent Teeth | <= 5 mm to contact point | 5.5 to 6.5 mm to contact point | > 7 mm to contact point |
Prosthodontic Status of Neighboring Teeth | Virgin | Restored | |
Width of Edentulous Span | 1 tooth (>= 7 mm) | 1 tooth (< 7 mm) | 2 teeth or more |
Soft Tissue Anatomy | Intact | Defective | |
Bone Volume | Horizontally and vertically sufficient | Horizontally deficient | Deficient vertically or deficient vertically AND horizontally |
* General SAC assessment modifiers that are also part of the ERA. To avoid redundancy they are listed in this section even if no complete ERA has been made.
** Not applicable to the ERA of immediate placement cases and replaced by "Socket Integrity" listed below under "Surgical SAC Classification". For all other placement types this value is a classification determinant and listed here even if no complete ERA has been made.
Surgical SAC classification
SAC Level | Advanced |
---|---|
Defining Characteristics | One missing tooth to be replaced by an implant-borne prosthesis |
Modality | - |
Placement Protocol | Early or late implant placement |
Tooth Site | - |
Socket Morphology | - |
Socket Integrity | - |
Bone Volume | Horizontally and vertically sufficient |
Anatomic Risk | Low |
Esthetic Risk | High |
Complexity | Moderate |
Risk of Complications | Moderate |
Prosthodontic SAC classification
SAC Level | Advanced |
---|---|
Defining Characteristics | One missing tooth to be replaced by an implant-borne crown |
Loading Protocol | Conventional or early |
Retention | Screw-retained Screw-retained |
Maxillomandibular Relationship | Angle Class I and III |
Mesio-Distal Space | Symmetry +/- 1 mm of contra-lateral tooth |
Inter-Arch Distance | - |
Bruxism | - |
Esthetic Risk | High |
Provisional Implant-Supported Prosthesis | Prosthodontic margin > 3 mm apical to mucosal margin Prosthodontic margin > 3 mm apical to mucosal margin |
Interim Prosthesis during Healing | Fixed Fixed |
Occlusion/Articulation | - |
Occlusal Scheme/Issues | - |
Surgical SAC Modifiers
Periodontal Status | Healthy |
---|
Prosthodontic SAC Modifiers
Soft Tissue Contour and Volume | Ideal |
---|
General SAC Modifiers
Oral Hygiene and Compliance | Good |
---|---|
Access | Adequate |
Craniofacial/Skeletal Growth | Completed |
Share this page
Download the QR code with a link to this page and use it in your presentations or share it on social media.
Download QR code