Case

4.0The average rating is 4 stars out of 5.

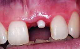
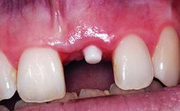
Replacement of a Failing Upper Right Central Incisor, Ridge Preservation and Late Placement of a NC Bone Level Implant

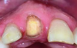
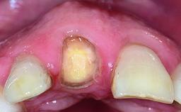
A 30-year-old patient presented at our clinic with a chief complaint of pain in her endodontically treated right maxillary central incisor (tooth 11) with a post-and-core and a fixed single crown. She had a very high lip line, a medium to thin soft-tissue phenotype, and a medium scalloped gingival contour. She also had high esthetic expectations because of her young age and beautiful smile. However, her expectations were realistic and she understood the risks of the treatment. At the initial clinical examination there was a slight mobility of tooth 11; no fistula was observed. The patient also had a single crown on the adjacent tooth 21. Both restorations were old and esthetically deficient. A digital periapical radiograph showed a very small periapical radiolucency, a thick intraradicular post, and no separation between root fragments.

Surgical SAC classification
Advanced
Prosthodontic SAC classification
Advanced
Learner Level
Source
Treatment Guide 10
CME/CPD
0.15 hours
Purchase price
10
You must be logged in to access or purchase this item.
There is a wealth of resources you can access by signing up as an ITI Member. Learn more about ITI membership benefits.

General information

Case Type Single-Tooth Space
Jaw Maxilla
Area Anterior
# of Teeth 1
# of Implants 1
Type of Implants Reduced-Diameter|Two-Piece
Attachment Reduced-Diameter|Two-Piece
Bone Augmentation Staged
Augmentation Materials Xenogenous|Membrane
Guided Surgery No
Soft Tissue Grafting Simultaneous
Abutment Type Customized
Prosthesis Type FDP

Esthetic Risk Assessment

Esthetic Risk Factors Low Medium High
Medical Status Healthy Compromised
Smoking Habit Non-smoker Light smoker (< 10 cigarettes per day) Heavy smoker (>= 10 cigarettes per day)
Patient's Esthetic Expectations Low Medium High
Lip Line No exposure of papillae Exposure of papillae Full exposure of mucosa margin
Periodontal Phenotype Low-scalloped, thick Medium-scalloped, medium-thick High-scalloped, thin
Shape of Tooth Crowns Rectangular Triangular
Infection at Implant Site None Chronic Acute
Bone Level at Adjacent Teeth <= 5 mm to contact point 5.5 to 6.5 mm to contact point > 7 mm to contact point
Prosthodontic Status of Neighboring Teeth Virgin Restored
Width of Edentulous Span 1 tooth (>= 7 mm) 1 tooth (< 7 mm) 2 teeth or more
Soft Tissue Anatomy Intact Defective
Bone Volume Horizontally and vertically sufficient Horizontally deficient Deficient vertically or deficient vertically AND horizontally

* General SAC assessment modifiers that are also part of the ERA. To avoid redundancy they are listed in this section even if no complete ERA has been made.

** Not applicable to the ERA of immediate placement cases and replaced by "Socket Integrity" listed below under "Surgical SAC Classification". For all other placement types this value is a classification determinant and listed here even if no complete ERA has been made.

Surgical SAC classification

SAC Level Advanced
Defining Characteristics One missing tooth to be replaced by an implant-borne prosthesis
Modality -
Placement Protocol Early or late implant placement
Tooth Site -
Socket Morphology -
Socket Integrity -
Bone Volume Horizontally and vertically sufficient
Anatomic Risk Low
Esthetic Risk High
Complexity Moderate
Risk of Complications Moderate

Prosthodontic SAC classification

SAC Level Advanced
Defining Characteristics One missing tooth to be replaced by an implant-borne crown
Loading Protocol Conventional or early
Retention Screw-retained Screw-retained
Maxillomandibular Relationship Angle Class I and III
Mesio-Distal Space Symmetry +/- 1 mm of contra-lateral tooth
Inter-Arch Distance -
Bruxism -
Esthetic Risk High
Provisional Implant-Supported Prosthesis Prosthodontic margin > 3 mm apical to mucosal margin Prosthodontic margin > 3 mm apical to mucosal margin
Interim Prosthesis during Healing Fixed Fixed
Occlusion/Articulation -
Occlusal Scheme/Issues -

Surgical SAC Modifiers

Periodontal Status Healthy

Prosthodontic SAC Modifiers

Soft Tissue Contour and Volume Ideal

General SAC Modifiers

Oral Hygiene and Compliance Good
Access Adequate
Craniofacial/Skeletal Growth Completed
Publication date: Jul 3, 2018 Last review date: Jun 26, 2023 Next review date: Jun 26, 2026
Clinical Case Treatment Guide 10

ITI QR code Mvc

Share this page

Download the QR code with a link to this page and use it in your presentations or share it on social media.

Download QR code
QR code