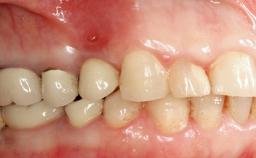
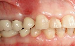
Removal of a Malpositioned Implant and Direct New Implant Placement with Simultaneous Contour Augmentation using GBR
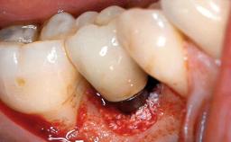
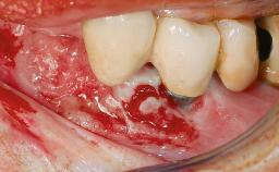
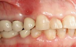
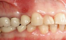
A 35-year old female patient was referred to the Department of Oral Surgery and Stomatology at the University of Bern, Switzerland, for examination of an implant site that had exhibited clinical signs of slightly delayed wound healing. In addition, the referring clinician found no evidence for a facial bone wall when she raised a flap to gain access to the implant for abutment connection. Four months earlier, she had inserted a bone-level implant in a single-tooth gap, where the lateral incisor had been extracted due to a chronic periapical lesion on the mesial aspect of the root. Implant placement was combined with simultaneous bone augmentation using deproteinized bovine bone mineral (DBBM, Bio-Oss®; Geistlich, Wolhusen, Switzerland) and a collagen membrane (Bio- Gide®; Geistlich), followed by primary wound closure. The patient also provided the postsurgical radiograph that displayed the implant with a 3.5-mm healing cap.
General information
| Case Type | Single-Tooth Space |
|---|---|
| Jaw | Maxilla |
| Area | Anterior |
| # of Teeth | 1 |
| # of Implants | 1 |
| Type of Implants | Two-Piece |
| Attachment | Two-Piece |
| Bone Augmentation | Horizontal|Simultaneous |
|---|---|
| Augmentation Materials | Autogenous chips|Xenogenous|Membrane |
| Guided Surgery | No |
| Soft Tissue Grafting | None |
| Abutment Type | CAD/CAM |
| Prosthesis Type | FDP |
Esthetic Risk Assessment
| Esthetic Risk Factors | Low | Medium | High |
|---|---|---|---|
| Medical Status | Healthy | Compromised | |
| Smoking Habit | Non-smoker | Light smoker (< 10 cigarettes per day) | Heavy smoker (>= 10 cigarettes per day) |
| Patient's Esthetic Expectations | Low | Medium | High |
| Lip Line | No exposure of papillae | Exposure of papillae | Full exposure of mucosa margin |
| Periodontal Phenotype | Low-scalloped, thick | Medium-scalloped, medium-thick | High-scalloped, thin |
| Shape of Tooth Crowns | Rectangular | Triangular | |
| Infection at Implant Site | None | Chronic | Acute |
| Bone Level at Adjacent Teeth | <= 5 mm to contact point | 5.5 to 6.5 mm to contact point | > 7 mm to contact point |
| Prosthodontic Status of Neighboring Teeth | Virgin | Restored | |
| Width of Edentulous Span | 1 tooth (>= 7 mm) | 1 tooth (< 7 mm) | 2 teeth or more |
| Soft Tissue Anatomy | Intact | Defective | |
| Bone Volume | Horizontally and vertically sufficient | Horizontally deficient | Deficient vertically or deficient vertically AND horizontally |
* General SAC assessment modifiers that are also part of the ERA. To avoid redundancy they are listed in this section even if no complete ERA has been made.
** Not applicable to the ERA of immediate placement cases and replaced by "Socket Integrity" listed below under "Surgical SAC Classification". For all other placement types this value is a classification determinant and listed here even if no complete ERA has been made.
Surgical SAC classification
| SAC Level | Advanced |
|---|---|
| Defining Characteristics | One missing tooth to be replaced by an implant-borne prosthesis |
| Modality | - |
| Placement Protocol | Early or late implant placement |
| Tooth Site | - |
| Socket Morphology | - |
| Socket Integrity | - |
| Bone Volume | Deficient horizontally, allowing simultaneous augumentation |
| Anatomic Risk | Low |
| Esthetic Risk | Medium |
| Complexity | Moderate |
| Risk of Complications | Moderate |
Prosthodontic SAC classification
| SAC Level | Advanced |
|---|---|
| Defining Characteristics | One missing tooth to be replaced by an implant-borne crown |
| Loading Protocol | Conventional or early |
| Retention | Screw-retained Screw-retained |
| Maxillomandibular Relationship | Angle Class I and III |
| Mesio-Distal Space | Symmetry +/- 1 mm of contra-lateral tooth |
| Inter-Arch Distance | - |
| Bruxism | - |
| Esthetic Risk | Medium |
| Provisional Implant-Supported Prosthesis | Prosthodontic margin > 3 mm apical to mucosal margin Prosthodontic margin > 3 mm apical to mucosal margin |
| Interim Prosthesis during Healing | Fixed Fixed |
| Occlusion/Articulation | - |
| Occlusal Scheme/Issues | - |
Surgical SAC Modifiers
| Periodontal Status | Healthy |
|---|
Prosthodontic SAC Modifiers
| Soft Tissue Contour and Volume | Slightly compromised |
|---|
General SAC Modifiers
| Oral Hygiene and Compliance | Good |
|---|---|
| Access | Adequate |
| Craniofacial/Skeletal Growth | Completed |
Share this page
Download the QR code with a link to this page and use it in your presentations or share it on social media.
Download QR code