
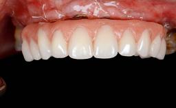
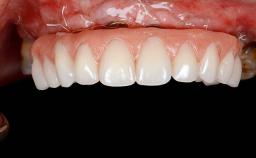
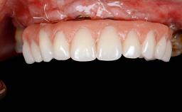
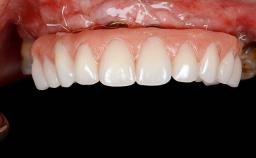
Rehabilitating an Edentulous Maxilla with a Fixed Dental Prosthesis Using a DSD-Guided Approach
A 60-year-old man was referred to the Center of Excellence for Prosthodontics and Implant Dentistry (CEPI) of the School of Dentistry of the University of São Paulo, Brazil for implant therapy. Anamnesis, clinical examination, and radiographs revealed esthetic and functional problems, the absence or structural compromise of various teeth (16–11, 21, 22, 24, 25, 37, 45, and 48), periodontal and endodontic problems (17 and 27), implant fracture (46), and occlusal disorders . The patient reported that he was undergoing treatment for cardiovascular diseases.










General information
Case Type | |
---|---|
Jaw | Maxilla |
Area | Full-Arch |
# of Teeth | - |
# of Implants | 4 |
Type of Implants | Two-Piece |
Attachment | Two-Piece |
Bone Augmentation | No |
---|---|
Augmentation Materials | - |
Guided Surgery | Yes |
Soft Tissue Grafting | - |
Abutment Type | Standard |
Prosthesis Type | FDP |
Esthetic Risk Assessment
Esthetic Risk Factors | Low | Medium | High |
---|---|---|---|
Medical Status | Healthy | Compromised | |
Smoking Habit | Non-smoker | Light smoker (< 10 cigarettes per day) | Heavy smoker (>= 10 cigarettes per day) |
Patient's Esthetic Expectations | Low | Medium | High |
Lip Line | No exposure of papillae | Exposure of papillae | Full exposure of mucosa margin |
Periodontal Phenotype | Low-scalloped, thick | Medium-scalloped, medium-thick | High-scalloped, thin |
Shape of Tooth Crowns | Rectangular | Triangular | |
Infection at Implant Site | None | Chronic | Acute |
Bone Level at Adjacent Teeth | <= 5 mm to contact point | 5.5 to 6.5 mm to contact point | > 7 mm to contact point |
Prosthodontic Status of Neighboring Teeth | Virgin | Restored | |
Width of Edentulous Span | 1 tooth (>= 7 mm) | 1 tooth (< 7 mm) | 2 teeth or more |
Soft Tissue Anatomy | Intact | Defective | |
Bone Volume | Horizontally and vertically sufficient | Horizontally deficient | Deficient vertically or deficient vertically AND horizontally |
* General SAC assessment modifiers that are also part of the ERA. To avoid redundancy they are listed in this section even if no complete ERA has been made.
** Not applicable to the ERA of immediate placement cases and replaced by "Socket Integrity" listed below under "Surgical SAC Classification". For all other placement types this value is a classification determinant and listed here even if no complete ERA has been made.
Surgical SAC classification
SAC Level | Advanced |
---|---|
Defining Characteristics | Fully edentulous upper jaw to be rehabilitated with four or more implants |
Modality | Fixed hybrid bridge on 5+ implants |
Placement Protocol | - |
Tooth Site | Tooth site |
Socket Morphology | Socket morphology |
Socket Integrity | Socket integrity |
Bone Volume | Horizontally and vertically sufficient |
Anatomic Risk | Low |
Esthetic Risk | High |
Complexity | Low |
Risk of Complications | Low |
Prosthodontic SAC classification
SAC Level | Complex |
---|---|
Defining Characteristics | Fully edentulous upper jaw to be rehabilitated with an implant-borne fixed dental prosthesis |
Loading Protocol | Immediate |
Retention | - |
Maxillomandibular Relationship | - |
Mesio-Distal Space | - |
Inter-Arch Distance | - |
Bruxism | - |
Esthetic Risk | High |
Provisional Implant-Supported Prosthesis | - |
Interim Prosthesis during Healing | - |
Occlusion/Articulation | - |
Occlusal Scheme/Issues | - |
Surgical SAC Modifiers
Periodontal Status | History of periodontitis or genetic predisposition |
---|
Prosthodontic SAC Modifiers
Soft Tissue Contour and Volume | Ideal |
---|
General SAC Modifiers
Oral Hygiene and Compliance | Insufficient |
---|---|
Access | Adequate |
Craniofacial/Skeletal Growth | Completed |
Share this page
Download the QR code with a link to this page and use it in your presentations or share it on social media.
Download QR code