Prosthodontic Solution for Two Angulated 6-mm Implants Supporting a Removable Partial Denture in a 74-year-old Patient
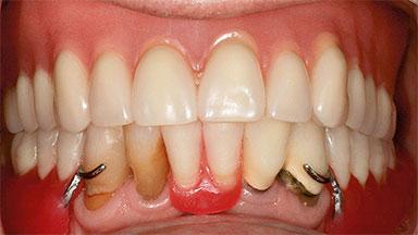
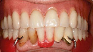
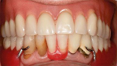
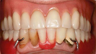
A 74-year-old woman was referred to the Department of Maxillofacial Surgery at the Medical University of Innsbruck, Austria with retention loss of her upper and lower dentures and resulting pain from the flabby ridge in the maxilla. Her general medical history included common bradycardic arrhythmias (AV block, 1st degree), bronchial asthma, and type 2 diabetes. She was under the regular control of her general practitioner, who prescribed her a number of medications including: Amilostad (Stada, Bad Vilbel, Germany) for hypertension, Singulair (MSD, Kenilworth, NJ, USA) and Symbicort turbohalers (Astra- Zeneca, London, UK) for bronchial asthma, metformin for the management of type 2 diabetes, and simvastatin for high cholesterol. Her dental history included a chin osteotomy 25 years previously. The wires of the chin osteotomy were still in place. To prevent bone resorption, the alveolar defect in the molar area had been filled with bone-graft material during the chin osteotomy after extraction of the molars.
General information
| Case Type | Extended Space |
|---|---|
| Jaw | Mandible |
| Area | Posterior |
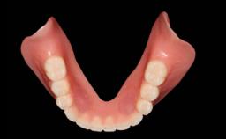
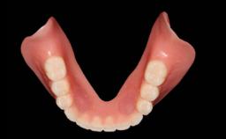
| # of Teeth | 8 |
| # of Implants | 2 |
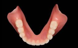
| Type of Implants | One-Piece|Short |
| Attachment | One-Piece|Short |
| Bone Augmentation | No |
|---|---|
| Augmentation Materials | - |
| Guided Surgery | No |
| Soft Tissue Grafting | None |
| Abutment Type | Standard |
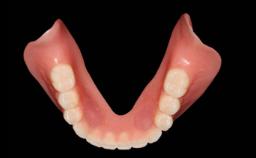
| Prosthesis Type | RDP |
Esthetic Risk Assessment
| Esthetic Risk Factors | Low | Medium | High |
|---|---|---|---|
| Medical Status | Healthy | Compromised | |
| Smoking Habit | Non-smoker | Light smoker (< 10 cigarettes per day) | Heavy smoker (>= 10 cigarettes per day) |
| Patient's Esthetic Expectations | Low | Medium | High |
| Lip Line | No exposure of papillae | Exposure of papillae | Full exposure of mucosa margin |
| Periodontal Phenotype | Low-scalloped, thick | Medium-scalloped, medium-thick | High-scalloped, thin |
| Shape of Tooth Crowns | Rectangular | Triangular | |
| Infection at Implant Site | None | Chronic | Acute |
| Bone Level at Adjacent Teeth | <= 5 mm to contact point | 5.5 to 6.5 mm to contact point | > 7 mm to contact point |
| Prosthodontic Status of Neighboring Teeth | Virgin | Restored | |
| Width of Edentulous Span | 1 tooth (>= 7 mm) | 1 tooth (< 7 mm) | 2 teeth or more |
| Soft Tissue Anatomy | Intact | Defective | |
| Bone Volume | Horizontally and vertically sufficient | Horizontally deficient | Deficient vertically or deficient vertically AND horizontally |
* General SAC assessment modifiers that are also part of the ERA. To avoid redundancy they are listed in this section even if no complete ERA has been made.
** Not applicable to the ERA of immediate placement cases and replaced by "Socket Integrity" listed below under "Surgical SAC Classification". For all other placement types this value is a classification determinant and listed here even if no complete ERA has been made.
Surgical SAC classification
| SAC Level | Straightforward |
|---|---|
| Defining Characteristics | More than three missing teeth to be replaced with an implant-borne prosthesis or prostheses |
| Modality | - |
| Placement Protocol | Early or late implant placement |
| Tooth Site | - |
| Socket Morphology | - |
| Socket Integrity | - |
| Bone Volume | Horizontally and vertically sufficient |
| Anatomic Risk | Low |
| Esthetic Risk | Low |
| Complexity | Moderate |
| Risk of Complications | Low |
Prosthodontic SAC classification
| SAC Level | Advanced |
|---|---|
| Defining Characteristics | Up to three missing teeth to be replaced with an implant-borne restoration or restorations |
| Loading Protocol | Conventional or early |
| Retention | Screw-retained, with splinted implants Screw-retained, with splinted implants |
| Maxillomandibular Relationship | - |
| Mesio-Distal Space | Anatomic space corresponding to the missing teeth +/- 1 mm |
| Inter-Arch Distance | > 8 mm |
| Bruxism | Absent |
| Esthetic Risk | Low |
| Provisional Implant-Supported Prosthesis | - - |
| Interim Prosthesis during Healing | Removable Removable |
| Occlusion/Articulation | Harmonious |
| Occlusal Scheme/Issues | - |
Surgical SAC Modifiers
| Periodontal Status | Healthy |
|---|
Prosthodontic SAC Modifiers
| Soft Tissue Contour and Volume | - |
|---|
General SAC Modifiers
| Oral Hygiene and Compliance | Sufficient |
|---|---|
| Access | Adequate |
| Craniofacial/Skeletal Growth | Completed |
Share this page
Download the QR code with a link to this page and use it in your presentations or share it on social media.
Download QR code