
Oral Lichen Planus Associated with the Peri-implant Mucosa
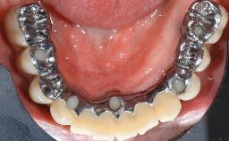
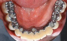
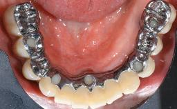
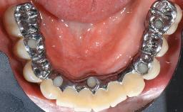
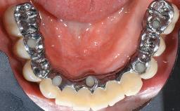
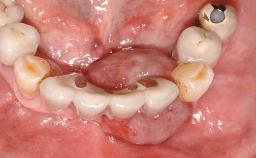
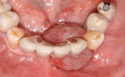
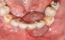
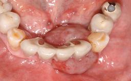
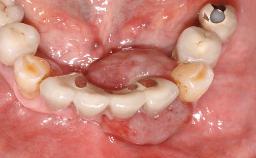
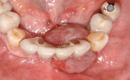
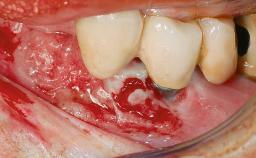
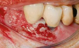
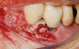
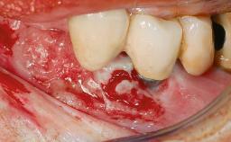
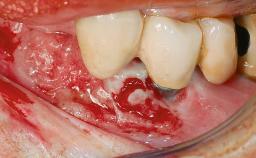
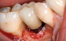
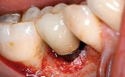
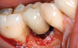
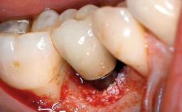
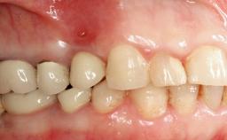
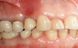
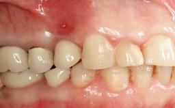
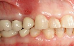
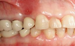
This case describes the ongoing management of a 64-year-old healthy, non-smoking female patient with erosive oral lichen planus (OLP) affecting the gingivae and the buccal and lingual mucosa. The peri-implant mucosa was also affected subsequent to implant placement. The patient had osseointegrated implants (four in the maxilla, four in the mandible) placed following extraction of hopeless teeth and a healing period. The patient had a history of OLP prior to implant placement and had been referred to an oral-medicine specialist for definitive diagnosis and treatment. She exhibited generalized oral mucosal involvement. Following a clinical assessment, biopsy, and blood tests, she was treated with topical corticosteroids. Systemic prednisolone was reserved for severe flare-ups. Amphotericin lozenges were used in combination with corticosteroid treatment to prevent the development of oral candidiasis.










General information
Case Type | Edentulous Maxilla |
---|---|
Jaw | Maxilla and Mandible |
Area | Full-Arch|Posterior |
# of Teeth | All |
# of Implants | 8 |
Type of Implants | Two-Piece |
Attachment | Two-Piece |
Bone Augmentation | No |
---|---|
Augmentation Materials | - |
Guided Surgery | No |
Soft Tissue Grafting | None |
Abutment Type | Standard |
Prosthesis Type | FDP |
Esthetic Risk Assessment
Esthetic Risk Factors | Low | Medium | High |
---|---|---|---|
Medical Status | Healthy | Compromised | |
Smoking Habit | Non-smoker | Light smoker (< 10 cigarettes per day) | Heavy smoker (>= 10 cigarettes per day) |
Patient's Esthetic Expectations | Low | Medium | High |
Lip Line | No exposure of papillae | Exposure of papillae | Full exposure of mucosa margin |
Periodontal Phenotype | Low-scalloped, thick | Medium-scalloped, medium-thick | High-scalloped, thin |
Shape of Tooth Crowns | Rectangular | Triangular | |
Infection at Implant Site | None | Chronic | Acute |
Bone Level at Adjacent Teeth | <= 5 mm to contact point | 5.5 to 6.5 mm to contact point | > 7 mm to contact point |
Prosthodontic Status of Neighboring Teeth | Virgin | Restored | |
Width of Edentulous Span | 1 tooth (>= 7 mm) | 1 tooth (< 7 mm) | 2 teeth or more |
Soft Tissue Anatomy | Intact | Defective | |
Bone Volume | Horizontally and vertically sufficient | Horizontally deficient | Deficient vertically or deficient vertically AND horizontally |
* General SAC assessment modifiers that are also part of the ERA. To avoid redundancy they are listed in this section even if no complete ERA has been made.
** Not applicable to the ERA of immediate placement cases and replaced by "Socket Integrity" listed below under "Surgical SAC Classification". For all other placement types this value is a classification determinant and listed here even if no complete ERA has been made.
Surgical SAC classification
SAC Level | Complex |
---|---|
Defining Characteristics | Fully edentulous upper jaw to be rehabilitated with four or more implants |
Modality | Fixed hybrid bridge on 5+ implants |
Placement Protocol | - |
Tooth Site | - |
Socket Morphology | - |
Socket Integrity | - |
Bone Volume | Deficient vertically or deficient vertically AND horizontally |
Anatomic Risk | High |
Esthetic Risk | Medium |
Complexity | High |
Risk of Complications | High |
Prosthodontic SAC classification
SAC Level | Complex |
---|---|
Defining Characteristics | Fully edentulous upper jaw to be rehabilitated with an implant-borne fixed dental prosthesis |
Loading Protocol | Conventional or early |
Retention | Screw-retained, with 4 or more splinted implants Screw-retained, with 4 or more splinted implants |
Maxillomandibular Relationship | - |
Mesio-Distal Space | - |
Inter-Arch Distance | Average |
Bruxism | Absent |
Esthetic Risk | Medium |
Provisional Implant-Supported Prosthesis | Prosthodontic margin < 3 mm apical to mucosal crest Prosthodontic margin < 3 mm apical to mucosal crest |
Interim Prosthesis during Healing | Removable Removable |
Occlusion/Articulation | - |
Occlusal Scheme/Issues | Anterior guidance |
Surgical SAC Modifiers
Periodontal Status | History of periodontitis or genetic predisposition |
---|
Prosthodontic SAC Modifiers
Soft Tissue Contour and Volume | Significantly deficient |
---|
General SAC Modifiers
Oral Hygiene and Compliance | Sufficient |
---|---|
Access | Adequate |
Craniofacial/Skeletal Growth | Completed |
Share this page
Download the QR code with a link to this page and use it in your presentations or share it on social media.
Download QR code