Open-Flap Debridement for the Management of Peri-Implant Mucositis Associated with Excess Cement
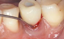
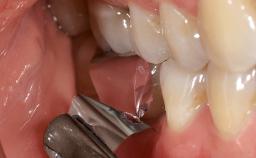
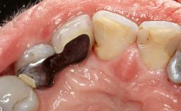
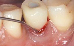
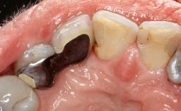
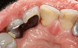
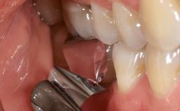
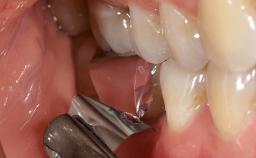
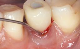
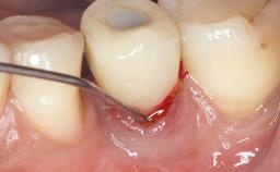
A 79-year-old female patient was referred to the Department of Periodontology of the University of Bern, Switzerland by her private dentist in May 2019. She had been rehabilitated in May 2005 with two tissue-level implants (Institut Straumann AG, Basel Switzerland) at sites 13 and 15, supporting a three-unit cemented fixed dental prosthesis (FDP). The metal-ceramic FDP had been cemented permanently with a glass-ionomer cement (Ketac Cem; 3M ESPE, Seefeld, Germany). Implant 13 had been diagnosed with peri-implant mucositis by the referring dentist in the course of regular supportive therapy. The patient was in good general health, did not smoke, and exhibited good self-performed plaque control.
General information
| Case Type | |
|---|---|
| Jaw | - |
| Area | - |
| # of Teeth | - |
| # of Implants | - |
| Type of Implants | - |
| Attachment | - |
| Bone Augmentation | - |
|---|---|
| Augmentation Materials | - |
| Guided Surgery | - |
| Soft Tissue Grafting | - |
| Abutment Type | - |
| Prosthesis Type | - |
Esthetic Risk Assessment
| Esthetic Risk Factors | Low | Medium | High |
|---|---|---|---|
| Medical Status | Healthy | Compromised | |
| Smoking Habit | Non-smoker | Light smoker (< 10 cigarettes per day) | Heavy smoker (>= 10 cigarettes per day) |
| Patient's Esthetic Expectations | Low | Medium | High |
| Lip Line | No exposure of papillae | Exposure of papillae | Full exposure of mucosa margin |
| Periodontal Phenotype | Low-scalloped, thick | Medium-scalloped, medium-thick | High-scalloped, thin |
| Shape of Tooth Crowns | Rectangular | Triangular | |
| Infection at Implant Site | None | Chronic | Acute |
| Bone Level at Adjacent Teeth | <= 5 mm to contact point | 5.5 to 6.5 mm to contact point | > 7 mm to contact point |
| Prosthodontic Status of Neighboring Teeth | Virgin | Restored | |
| Width of Edentulous Span | 1 tooth (>= 7 mm) | 1 tooth (< 7 mm) | 2 teeth or more |
| Soft Tissue Anatomy | Intact | Defective | |
| Bone Volume | Horizontally and vertically sufficient | Horizontally deficient | Deficient vertically or deficient vertically AND horizontally |
* General SAC assessment modifiers that are also part of the ERA. To avoid redundancy they are listed in this section even if no complete ERA has been made.
** Not applicable to the ERA of immediate placement cases and replaced by "Socket Integrity" listed below under "Surgical SAC Classification". For all other placement types this value is a classification determinant and listed here even if no complete ERA has been made.
Surgical SAC classification
| SAC Level | - |
|---|---|
| Defining Characteristics | - |
| Modality | - |
| Placement Protocol | - |
| Tooth Site | - |
| Socket Morphology | - |
| Socket Integrity | - |
| Bone Volume | - |
| Anatomic Risk | - |
| Esthetic Risk | - |
| Complexity | |
| Risk of Complications | - |
Prosthodontic SAC classification
| SAC Level | - |
|---|---|
| Defining Characteristics | - |
| Loading Protocol | - |
| Retention | - |
| Maxillomandibular Relationship | - |
| Mesio-Distal Space | - |
| Inter-Arch Distance | - |
| Bruxism | - |
| Esthetic Risk | - |
| Provisional Implant-Supported Prosthesis | - |
| Interim Prosthesis during Healing | - |
| Occlusion/Articulation | - |
| Occlusal Scheme/Issues | - |
Surgical SAC Modifiers
| Periodontal Status | - |
|---|
Prosthodontic SAC Modifiers
| Soft Tissue Contour and Volume | - |
|---|
General SAC Modifiers
| Oral Hygiene and Compliance | - |
|---|---|
| Access | - |
| Craniofacial/Skeletal Growth | - |
Share this page
Download the QR code with a link to this page and use it in your presentations or share it on social media.
Download QR code