Case

0.0The average rating is 0 stars out of 5.

Minimally Invasive Treatment of a Patient in Her Nineties After Removing Implants Affected by Severe Peri-implantitis

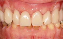
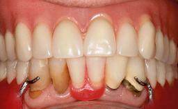
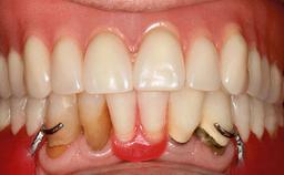
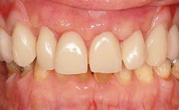
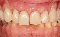
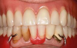
A 93-year-old female patient presented in September 2010 with an enlarged swelling on the lingual side of her lower incisors. At the time, she was essentially healthy, except for reduced vision due to bilateral age-related macular degeneration. She had been a heavy smoker (about 30 cigarettes a day) for the past 20 years after becoming a widow. The patient lived at home by herself, with full-time domestic support. An extraoral examination revealed nothing adverse. Intraoral plaque control was anything but ideal, and a soft-tissue tumescence was visible around the lingual aspect of 41–42. Because the nature of the lesion was not clear, a biopsy was carried out that revealed the inflammatory nature of the lesion. The panoramic radiograph showed six irregularly distributed mandibular implants supporting a full-arch prosthesis, with various degrees of interproximal peri-implant resorption. The periapical radiograph revealed interproximal bone resorption mesially and distally to implant 41.

Surgical SAC classification
Straightforward
Prosthodontic SAC classification
Advanced
Learner Level
Source
Treatment Guide 9
CME/CPD
0.25 hours
Purchase price
10
You must be logged in to access or purchase this item.
There is a wealth of resources you can access by signing up as an ITI Member. Learn more about ITI membership benefits.

General information

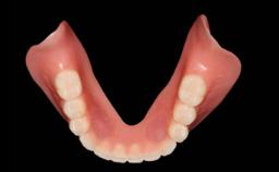
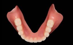
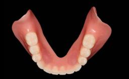
Case Type Extended Space
Jaw Mandible
Area Posterior
# of Teeth 6
# of Implants 2
Type of Implants One-Piece
Attachment One-Piece
Bone Augmentation No
Augmentation Materials -
Guided Surgery No
Soft Tissue Grafting None
Abutment Type Standard
Prosthesis Type FDP

Esthetic Risk Assessment

Esthetic Risk Factors Low Medium High
Medical Status Healthy Compromised
Smoking Habit Non-smoker Light smoker (< 10 cigarettes per day) Heavy smoker (>= 10 cigarettes per day)
Patient's Esthetic Expectations Low Medium High
Lip Line No exposure of papillae Exposure of papillae Full exposure of mucosa margin
Periodontal Phenotype Low-scalloped, thick Medium-scalloped, medium-thick High-scalloped, thin
Shape of Tooth Crowns Rectangular Triangular
Infection at Implant Site None Chronic Acute
Bone Level at Adjacent Teeth <= 5 mm to contact point 5.5 to 6.5 mm to contact point > 7 mm to contact point
Prosthodontic Status of Neighboring Teeth Virgin Restored
Width of Edentulous Span 1 tooth (>= 7 mm) 1 tooth (< 7 mm) 2 teeth or more
Soft Tissue Anatomy Intact Defective
Bone Volume Horizontally and vertically sufficient Horizontally deficient Deficient vertically or deficient vertically AND horizontally

* General SAC assessment modifiers that are also part of the ERA. To avoid redundancy they are listed in this section even if no complete ERA has been made.

** Not applicable to the ERA of immediate placement cases and replaced by "Socket Integrity" listed below under "Surgical SAC Classification". For all other placement types this value is a classification determinant and listed here even if no complete ERA has been made.

Surgical SAC classification

SAC Level Straightforward
Defining Characteristics More than three missing teeth to be replaced with an implant-borne prosthesis or prostheses
Modality -
Placement Protocol Early or late implant placement
Tooth Site -
Socket Morphology -
Socket Integrity -
Bone Volume Horizontally and vertically sufficient
Anatomic Risk Low
Esthetic Risk Low
Complexity Moderate
Risk of Complications Low

Prosthodontic SAC classification

SAC Level Advanced
Defining Characteristics Up to three missing teeth to be replaced with an implant-borne restoration or restorations
Loading Protocol Conventional or early
Retention Screw-retained, with splinted implants Screw-retained, with splinted implants
Maxillomandibular Relationship -
Mesio-Distal Space Anatomic space corresponding to the missing teeth +/- 1 mm
Inter-Arch Distance > 8 mm
Bruxism Absent
Esthetic Risk Low
Provisional Implant-Supported Prosthesis Prosthodontic margin < 3 mm apical to mucosal crest Prosthodontic margin < 3 mm apical to mucosal crest
Interim Prosthesis during Healing - -
Occlusion/Articulation Harmonious
Occlusal Scheme/Issues -

Surgical SAC Modifiers

Periodontal Status History of periodontitis or genetic predisposition

Prosthodontic SAC Modifiers

Soft Tissue Contour and Volume -

General SAC Modifiers

Oral Hygiene and Compliance Insufficient
Access Adequate
Craniofacial/Skeletal Growth Completed
Publication date: May 4, 2017 Last review date: Apr 28, 2023 Next review date: Apr 28, 2026
2 - Advanced Beginner to Competent Clinical Case Treatment Guide 9

ITI QR code Mvc

Share this page

Download the QR code with a link to this page and use it in your presentations or share it on social media.

Download QR code
QR code