Mandibular Overdenture Supported by a CAD/CAM-milled Bar with Long Distal Extensions on Two Conventionally Loaded Implants
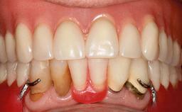
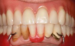
An 87-year-old man was referred to our Division of Gerodontology and Removable Prosthodontics at the University Clinics of Dental Medicine, Geneva, Switzerland for dental implant therapy. He was retired and led a very active social life, keeping himself busy in the company of his many grandchildren and with frequent travels to Italy. The patient’s past medical and drug histories revealed that he suffered from angina, asthma, and arthritis of the knee. He was allergic to penicillin. His regular prescription medications included anti-anginal and antiasthmatic drugs, along with occasional non-steroidal anti- inflammatory drugs for joint pain. Otherwise, he was a healthy patient who occasionally consumed alcohol on social occasions and did not smoke. A detailed dental history revealed that he had lost his teeth to chronic adult periodontal disease and had had an edentulous maxilla for over 20 years.
                                                    
                                
                                
                                
                                
                                
                                
                                
                                
                                General information
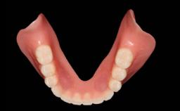
| Case Type | Edentulous Mandible | 
|---|---|
| Jaw | Mandible | 
| Area | Full-Arch | 
| # of Teeth | All | 
| # of Implants | 2 | 
| Type of Implants | One-Piece | 
| Attachment | One-Piece | 
| Bone Augmentation | No | 
|---|---|
| Augmentation Materials | - | 
| Guided Surgery | No | 
| Soft Tissue Grafting | None | 
| Abutment Type | CAD/CAM | 
| Prosthesis Type | RDP | 
Esthetic Risk Assessment
| Esthetic Risk Factors | Low | Medium | High | 
|---|---|---|---|
| Medical Status | Healthy | Compromised | |
| Smoking Habit | Non-smoker | Light smoker (< 10 cigarettes per day) | Heavy smoker (>= 10 cigarettes per day) | 
| Patient's Esthetic Expectations | Low | Medium | High | 
| Lip Line | No exposure of papillae | Exposure of papillae | Full exposure of mucosa margin | 
| Periodontal Phenotype | Low-scalloped, thick | Medium-scalloped, medium-thick | High-scalloped, thin | 
| Shape of Tooth Crowns | Rectangular | Triangular | |
| Infection at Implant Site | None | Chronic | Acute | 
| Bone Level at Adjacent Teeth | <= 5 mm to contact point | 5.5 to 6.5 mm to contact point | > 7 mm to contact point | 
| Prosthodontic Status of Neighboring Teeth | Virgin | Restored | |
| Width of Edentulous Span | 1 tooth (>= 7 mm) | 1 tooth (< 7 mm) | 2 teeth or more | 
| Soft Tissue Anatomy | Intact | Defective | |
| Bone Volume | Horizontally and vertically sufficient | Horizontally deficient | Deficient vertically or deficient vertically AND horizontally | 
* General SAC assessment modifiers that are also part of the ERA. To avoid redundancy they are listed in this section even if no complete ERA has been made.
** Not applicable to the ERA of immediate placement cases and replaced by "Socket Integrity" listed below under "Surgical SAC Classification". For all other placement types this value is a classification determinant and listed here even if no complete ERA has been made.
Surgical SAC classification
| SAC Level | Advanced | 
|---|---|
| Defining Characteristics | Fully edentulous lower jaw to be rehabilitated with two or more implants | 
| Modality | 2 interforaminal implants | 
| Placement Protocol | - | 
| Tooth Site | - | 
| Socket Morphology | - | 
| Socket Integrity | - | 
| Bone Volume | Deficient horizontally, allowing simultaneous augumentation | 
| Anatomic Risk | Moderate | 
| Esthetic Risk | Low | 
| Complexity | Moderate | 
| Risk of Complications | Moderate | 
Prosthodontic SAC classification
| SAC Level | Advanced | 
|---|---|
| Defining Characteristics | Fully edentulous lower jaw to be rehabilitated with an implant-borne removable overdenture | 
| Loading Protocol | Conventional/early | 
| Retention | - - | 
| Maxillomandibular Relationship | - | 
| Mesio-Distal Space | - | 
| Inter-Arch Distance | - | 
| Bruxism | Absent | 
| Esthetic Risk | Low | 
| Provisional Implant-Supported Prosthesis | - - | 
| Interim Prosthesis during Healing | Removable Removable | 
| Occlusion/Articulation | - | 
| Occlusal Scheme/Issues | Balanced | 
Surgical SAC Modifiers
| Periodontal Status | History of periodontitis or genetic predisposition | 
|---|
Prosthodontic SAC Modifiers
| Soft Tissue Contour and Volume | - | 
|---|
General SAC Modifiers
| Oral Hygiene and Compliance | Sufficient | 
|---|---|
| Access | Adequate | 
| Craniofacial/Skeletal Growth | Completed | 
Share this page
Download the QR code with a link to this page and use it in your presentations or share it on social media.
Download QR code