Case

0.0The average rating is 0 stars out of 5.

Le Fort I Interpositional Graft and Mandibular Sandwich Osteotomy for Maxillofacial Rehabilitation after Severe Periodontitis

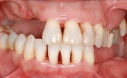
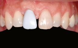
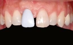
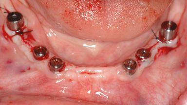
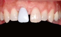
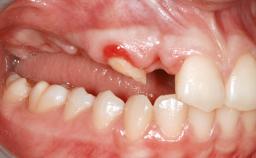
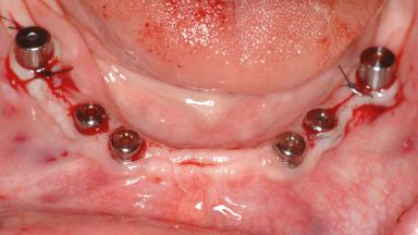
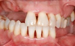
A 47-year-old woman who had suffered from aggressive periodontitis requiring a number of periodontal interventions over more than 10 years was referred by her general dental practitioner and periodontologist for bone augmentation and implant therapy. Her failing dentition had already been scheduled for extraction. The patient expressed a desire for implant-supported fixed restorations and esthetic improvement of her lower face. She had agreed to consult with a maxillofacial surgeon after the referring dentist had suggested bone augmentation. An initial examination by the maxillofacial surgeon revealed mobility of all residual teeth in a patient who was very unhappy with the function of her removable partial dentures. Due to periodontally migrated flaring teeth and loss of occlusal support, the vertical dimension of occlusion was dramatically reduced. The patient was displeased with her lower face because of deepened nasolabial, commissural, and supramental folds.

Surgical SAC classification
Complex
Prosthodontic SAC classification
-
Learner Level
Source
Treatment Guide 7
CME/CPD
0.25 hours
Purchase price
10
You must be logged in to access or purchase this item.
There is a wealth of resources you can access by signing up as an ITI Member. Learn more about ITI membership benefits.

General information

Case Type Edentulous Maxilla
Jaw Maxilla and Mandible
Area Full-Arch
# of Teeth All
# of Implants 14
Type of Implants Two-Piece
Attachment Two-Piece
Bone Augmentation Horizontal|Sinus Floor Elevation|Staged|Vertical
Augmentation Materials Autogenous chips|Autogenous block(s)|Xenogenous|Membrane
Guided Surgery No
Soft Tissue Grafting Staged
Abutment Type -
Prosthesis Type FDP

Esthetic Risk Assessment

Esthetic Risk Factors Low Medium High
Medical Status Healthy Compromised
Smoking Habit Non-smoker Light smoker (< 10 cigarettes per day) Heavy smoker (>= 10 cigarettes per day)
Patient's Esthetic Expectations Low Medium High
Lip Line No exposure of papillae Exposure of papillae Full exposure of mucosa margin
Periodontal Phenotype Low-scalloped, thick Medium-scalloped, medium-thick High-scalloped, thin
Shape of Tooth Crowns Rectangular Triangular
Infection at Implant Site None Chronic Acute
Bone Level at Adjacent Teeth <= 5 mm to contact point 5.5 to 6.5 mm to contact point > 7 mm to contact point
Prosthodontic Status of Neighboring Teeth Virgin Restored
Width of Edentulous Span 1 tooth (>= 7 mm) 1 tooth (< 7 mm) 2 teeth or more
Soft Tissue Anatomy Intact Defective
Bone Volume Horizontally and vertically sufficient Horizontally deficient Deficient vertically or deficient vertically AND horizontally

* General SAC assessment modifiers that are also part of the ERA. To avoid redundancy they are listed in this section even if no complete ERA has been made.

** Not applicable to the ERA of immediate placement cases and replaced by "Socket Integrity" listed below under "Surgical SAC Classification". For all other placement types this value is a classification determinant and listed here even if no complete ERA has been made.

Surgical SAC classification

SAC Level Complex
Defining Characteristics Fully edentulous upper jaw to be rehabilitated with four or more implants
Modality Fixed hybrid bridge on 5+ implants
Placement Protocol -
Tooth Site -
Socket Morphology -
Socket Integrity -
Bone Volume Deficient vertically or deficient vertically AND horizontally
Anatomic Risk High
Esthetic Risk High
Complexity High
Risk of Complications High

Prosthodontic SAC classification

SAC Level -
Defining Characteristics -
Loading Protocol -
Retention -
Maxillomandibular Relationship -
Mesio-Distal Space -
Inter-Arch Distance -
Bruxism -
Esthetic Risk High
Provisional Implant-Supported Prosthesis -
Interim Prosthesis during Healing -
Occlusion/Articulation -
Occlusal Scheme/Issues -

Surgical SAC Modifiers

Periodontal Status History of periodontitis or genetic predisposition

Prosthodontic SAC Modifiers

Soft Tissue Contour and Volume -

General SAC Modifiers

Oral Hygiene and Compliance Sufficient
Access Adequate
Craniofacial/Skeletal Growth Completed
Publication date: Jan 11, 2015 Last review date: Apr 10, 2023 Next review date: Apr 10, 2026
3 - Proficient to Expert Clinical Case Treatment Guide 7

ITI QR code Mvc

Share this page

Download the QR code with a link to this page and use it in your presentations or share it on social media.

Download QR code
QR code