
Implant Placement with Simultaneous SFE: Transcrestal Technique with DBBM
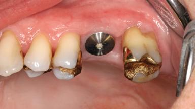
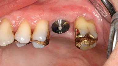
The patient was an 87-year-old woman with no general diseases, no medication, no allergies, and a non-smoker. Her maxillary left first molar had been extracted 6 weeks previously due to a root fracture. The clinical examination revealed a complete dentition, except for the maxillary left first molar, which was missing. Generalized but mild horizontal bone loss without any pathologic periodontal pockets was observed. Oral hygiene was good. Both the second premolar and the second molar had been restored with adequate gold inlays and showed 2 mm of gingival recession facing the edentulous site. The course of healing had been uneventful after extraction of the maxillary left first molar, and the width of the alveolar process was intact.










General information
Case Type | Single-Tooth Space |
---|---|
Jaw | Maxilla |
Area | Posterior |
# of Teeth | 1 |
# of Implants | 1 |
Type of Implants | One-Piece |
Attachment | One-Piece |
Bone Augmentation | Simultaneous|Sinus Floor Elevation |
---|---|
Augmentation Materials | Xenogenous |
Guided Surgery | No |
Soft Tissue Grafting | None |
Abutment Type | Standard |
Prosthesis Type | FDP |
Esthetic Risk Assessment
Esthetic Risk Factors | Low | Medium | High |
---|---|---|---|
Medical Status | Healthy | Compromised | |
Smoking Habit | Non-smoker | Light smoker (< 10 cigarettes per day) | Heavy smoker (>= 10 cigarettes per day) |
Patient's Esthetic Expectations | Low | Medium | High |
Lip Line | No exposure of papillae | Exposure of papillae | Full exposure of mucosa margin |
Periodontal Phenotype | Low-scalloped, thick | Medium-scalloped, medium-thick | High-scalloped, thin |
Shape of Tooth Crowns | Rectangular | Triangular | |
Infection at Implant Site | None | Chronic | Acute |
Bone Level at Adjacent Teeth | <= 5 mm to contact point | 5.5 to 6.5 mm to contact point | > 7 mm to contact point |
Prosthodontic Status of Neighboring Teeth | Virgin | Restored | |
Width of Edentulous Span | 1 tooth (>= 7 mm) | 1 tooth (< 7 mm) | 2 teeth or more |
Soft Tissue Anatomy | Intact | Defective | |
Bone Volume | Horizontally and vertically sufficient | Horizontally deficient | Deficient vertically or deficient vertically AND horizontally |
* General SAC assessment modifiers that are also part of the ERA. To avoid redundancy they are listed in this section even if no complete ERA has been made.
** Not applicable to the ERA of immediate placement cases and replaced by "Socket Integrity" listed below under "Surgical SAC Classification". For all other placement types this value is a classification determinant and listed here even if no complete ERA has been made.
Surgical SAC classification
SAC Level | Complex |
---|---|
Defining Characteristics | One missing tooth to be replaced by an implant-borne prosthesis |
Modality | - |
Placement Protocol | Early or late implant placement |
Tooth Site | - |
Socket Morphology | - |
Socket Integrity | - |
Bone Volume | Deficient vertically or deficient vertically AND horizontally |
Anatomic Risk | High |
Esthetic Risk | Low |
Complexity | High |
Risk of Complications | High |
Prosthodontic SAC classification
SAC Level | Straightforward |
---|---|
Defining Characteristics | One missing tooth to be replaced by an implant-borne crown |
Loading Protocol | Conventional or early |
Retention | Cemented, with prosthesis margin < 3mm submucosal Cemented, with prosthesis margin < 3mm submucosal |
Maxillomandibular Relationship | - |
Mesio-Distal Space | Anatomic space corresponding to the missing tooth +/- 1 mm |
Inter-Arch Distance | Ideal tooth height +/- 1 mm |
Bruxism | Absent |
Esthetic Risk | Low |
Provisional Implant-Supported Prosthesis | - - |
Interim Prosthesis during Healing | - - |
Occlusion/Articulation | - |
Occlusal Scheme/Issues | - |
Surgical SAC Modifiers
Periodontal Status | Healthy |
---|
Prosthodontic SAC Modifiers
Soft Tissue Contour and Volume | - |
---|
General SAC Modifiers
Oral Hygiene and Compliance | Good |
---|---|
Access | Adequate |
Craniofacial/Skeletal Growth | Completed |
Share this page
Download the QR code with a link to this page and use it in your presentations or share it on social media.
Download QR code