
Implant Placement with Simultaneous SFE: Lateral Window Technique with a Composite Graft
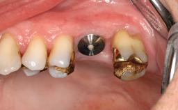
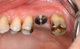
A 68-year-old woman presented for treatment to replace her maxillary right second premolar and first molar. Three years previously, her general dental practitioner had extracted tooth 16 because of a perforated root canal with a developing interradicular lesion. The patient was satisfied with the chewing function of her premolar occlusion until tooth 15 became symptomatic 2 months before presentation. Since a root fracture had developed, this tooth had to be extracted as well. The patient was a non-smoker. She had continuously received dental care by her private practitioner. Her plaque control and gingival health was, for the most part, excellent. Periodontal probing depths never exceeded 3 mm. She displayed a medium smile line; her esthetic demands were moderate to high. Her gingival biotype was classified as medium, and the dentition revealed signs of bruxism.










General information
Case Type | Short Space |
---|---|
Jaw | Maxilla |
Area | Posterior |
# of Teeth | 2 |
# of Implants | 2 |
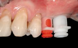
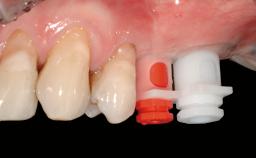
Type of Implants | One-Piece |
Attachment | One-Piece |
Bone Augmentation | Horizontal|Simultaneous|Sinus Floor Elevation |
---|---|
Augmentation Materials | Autogenous chips|Xenogenous|Membrane |
Guided Surgery | No |
Soft Tissue Grafting | None |
Abutment Type | Standard |
Prosthesis Type | FDP |
Esthetic Risk Assessment
Esthetic Risk Factors | Low | Medium | High |
---|---|---|---|
Medical Status | Healthy | Compromised | |
Smoking Habit | Non-smoker | Light smoker (< 10 cigarettes per day) | Heavy smoker (>= 10 cigarettes per day) |
Patient's Esthetic Expectations | Low | Medium | High |
Lip Line | No exposure of papillae | Exposure of papillae | Full exposure of mucosa margin |
Periodontal Phenotype | Low-scalloped, thick | Medium-scalloped, medium-thick | High-scalloped, thin |
Shape of Tooth Crowns | Rectangular | Triangular | |
Infection at Implant Site | None | Chronic | Acute |
Bone Level at Adjacent Teeth | <= 5 mm to contact point | 5.5 to 6.5 mm to contact point | > 7 mm to contact point |
Prosthodontic Status of Neighboring Teeth | Virgin | Restored | |
Width of Edentulous Span | 1 tooth (>= 7 mm) | 1 tooth (< 7 mm) | 2 teeth or more |
Soft Tissue Anatomy | Intact | Defective | |
Bone Volume | Horizontally and vertically sufficient | Horizontally deficient | Deficient vertically or deficient vertically AND horizontally |
* General SAC assessment modifiers that are also part of the ERA. To avoid redundancy they are listed in this section even if no complete ERA has been made.
** Not applicable to the ERA of immediate placement cases and replaced by "Socket Integrity" listed below under "Surgical SAC Classification". For all other placement types this value is a classification determinant and listed here even if no complete ERA has been made.
Surgical SAC classification
SAC Level | Complex |
---|---|
Defining Characteristics | Up to three missing teeth to be replaced with an implant-borne prosthesis or prostheses |
Modality | - |
Placement Protocol | Early or late implant placement |
Tooth Site | - |
Socket Morphology | - |
Socket Integrity | - |
Bone Volume | Deficient vertically or deficient vertically AND horizontally |
Anatomic Risk | High |
Esthetic Risk | High |
Complexity | High |
Risk of Complications | High |
Prosthodontic SAC classification
SAC Level | Advanced |
---|---|
Defining Characteristics | Up to three missing teeth to be replaced with an implant-borne restoration or restorations |
Loading Protocol | Conventional or early |
Retention | Cemented, with prosthesis margin < 3mm submucosal Cemented, with prosthesis margin < 3mm submucosal |
Maxillomandibular Relationship | - |
Mesio-Distal Space | Anatomic space corresponding to the missing teeth +/- 1 mm |
Inter-Arch Distance | > 8 mm |
Bruxism | Present |
Esthetic Risk | High |
Provisional Implant-Supported Prosthesis | - - |
Interim Prosthesis during Healing | - - |
Occlusion/Articulation | Harmonious |
Occlusal Scheme/Issues | - |
Surgical SAC Modifiers
Periodontal Status | Healthy |
---|
Prosthodontic SAC Modifiers
Soft Tissue Contour and Volume | Slightly compromised |
---|
General SAC Modifiers
Oral Hygiene and Compliance | Good |
---|---|
Access | Adequate |
Craniofacial/Skeletal Growth | Completed |
Share this page
Download the QR code with a link to this page and use it in your presentations or share it on social media.
Download QR code