Case

0.0The average rating is 0 stars out of 5.

Implant Placement in the Esthetic Zone and Coverage of Multiple Gingival Recessions

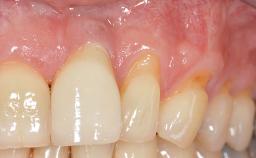
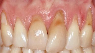
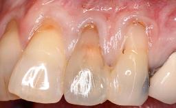
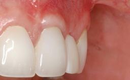
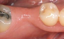
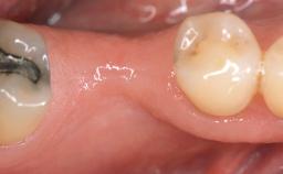
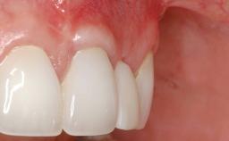
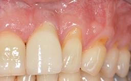
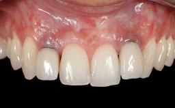
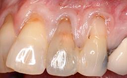
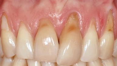
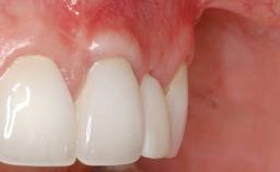
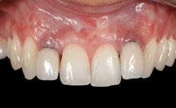
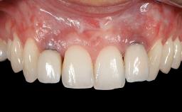
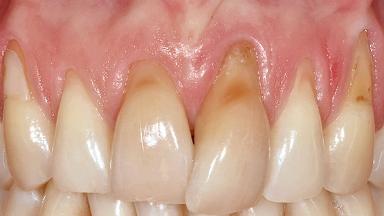
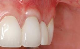
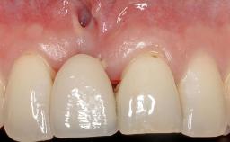
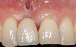
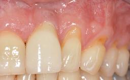
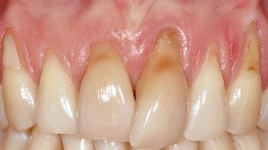
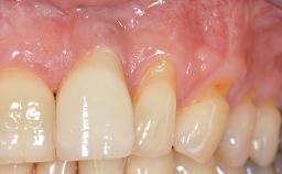
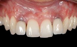
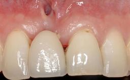
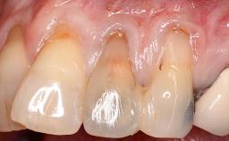
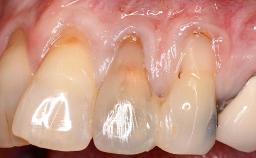
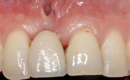
This case illustrates use of a modified ‘tunnel’ technique, which has been shown to be highly effective in root coverage procedures. The tunnel technique is used to achieve soft-tissue augmentation across the anterior area, including the planned implant site, using collagen matrix as grafting material. The patient is a 47-year-old woman with high esthetic expectations. Her main concern was the appearance of the anterior teeth and their “elongation”.

Surgical SAC classification
Advanced
Prosthodontic SAC classification
Complex
Learner Level
Source
Treatment Guide 12
CME/CPD
0.25 hours
Purchase price
10
You must be logged in to access or purchase this item.
There is a wealth of resources you can access by signing up as an ITI Member. Learn more about ITI membership benefits.

General information

Case Type Single-Tooth Space
Jaw Maxilla
Area Anterior
# of Teeth 1
# of Implants 1
Type of Implants Two-Piece
Attachment Two-Piece
Bone Augmentation No
Augmentation Materials -
Guided Surgery No
Soft Tissue Grafting Staged
Abutment Type Standard
Prosthesis Type FDP

Esthetic Risk Assessment

Esthetic Risk Factors Low Medium High
Medical Status Healthy Compromised
Smoking Habit Non-smoker Light smoker (< 10 cigarettes per day) Heavy smoker (>= 10 cigarettes per day)
Patient's Esthetic Expectations Low Medium High
Lip Line No exposure of papillae Exposure of papillae Full exposure of mucosa margin
Periodontal Phenotype Low-scalloped, thick Medium-scalloped, medium-thick High-scalloped, thin
Shape of Tooth Crowns Rectangular Triangular
Infection at Implant Site None Chronic Acute
Bone Level at Adjacent Teeth <= 5 mm to contact point 5.5 to 6.5 mm to contact point > 7 mm to contact point
Prosthodontic Status of Neighboring Teeth Virgin Restored
Width of Edentulous Span 1 tooth (>= 7 mm) 1 tooth (< 7 mm) 2 teeth or more
Soft Tissue Anatomy Intact Defective
Bone Volume Horizontally and vertically sufficient Horizontally deficient Deficient vertically or deficient vertically AND horizontally

* General SAC assessment modifiers that are also part of the ERA. To avoid redundancy they are listed in this section even if no complete ERA has been made.

** Not applicable to the ERA of immediate placement cases and replaced by "Socket Integrity" listed below under "Surgical SAC Classification". For all other placement types this value is a classification determinant and listed here even if no complete ERA has been made.

Surgical SAC classification

SAC Level Advanced
Defining Characteristics One missing tooth to be replaced by an implant-borne prosthesis
Modality Modality
Placement Protocol Early or late implant placement
Tooth Site Tooth site
Socket Morphology Socket morphology
Socket Integrity Socket integrity
Bone Volume Horizontally and vertically sufficient
Anatomic Risk Low
Esthetic Risk High
Complexity Low
Risk of Complications Low

Prosthodontic SAC classification

SAC Level Complex
Defining Characteristics One missing tooth to be replaced by an implant-borne crown
Loading Protocol Immediate
Retention -
Maxillomandibular Relationship -
Mesio-Distal Space -
Inter-Arch Distance -
Bruxism -
Esthetic Risk High
Provisional Implant-Supported Prosthesis -
Interim Prosthesis during Healing -
Occlusion/Articulation -
Occlusal Scheme/Issues -

Surgical SAC Modifiers

Periodontal Status Healthy

Prosthodontic SAC Modifiers

Soft Tissue Contour and Volume Significantly deficient

General SAC Modifiers

Oral Hygiene and Compliance Good
Access Adequate
Craniofacial/Skeletal Growth Completed
Publication date: Mar 24, 2022 Last review date: Mar 17, 2024 Next review date: Mar 17, 2027
3 - Proficient to Expert Clinical Case Treatment Guide 12

ITI QR code Mvc

Share this page

Download the QR code with a link to this page and use it in your presentations or share it on social media.

Download QR code
QR code