Immediate Loading of Six Implants in the Maxilla and Final Restoration with a Full-Arch Gold/Ceramic FDP Involving the Concept of Tilted Implants
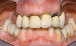
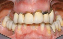
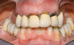
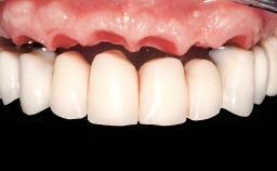
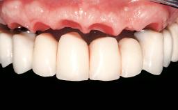
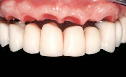
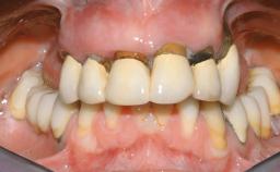
A 61-year-old male patient with a failing fixed maxillary rehabilitation and a fixed mandibular rehabilitation requested a new fixed maxillary rehabilitation. The patient was wearing a temporary metal-reinforced maxillary bridge inserted two years before the consultation. He reported that his previous dentist did not want to insert a definitive framework because he considered the residual teeth to have a negative prognosis. The patient reported a history of recurrent caries and endodontic complications as the main reason for the previous extractions. The anamnesis was negative for periodontal disease and bruxism. The patient’s chief compliant was the mobility of his maxillary prosthesis, which needed to be re-cemented frequently, and discomfort during chewing.Moreover, the patient was not satisfied with the esthetic appearance of his maxillary teeth, which he found too long. The patient asked for a stable and comfortable fixed maxillary rehabilitation and firmly rejected any removable solution.
General information
| Case Type | Edentulous Maxilla |
|---|---|
| Jaw | Maxilla |
| Area | Full-Arch |
| # of Teeth | All |
| # of Implants | 6 |
| Type of Implants | One-Piece|Reduced-Diameter |
| Attachment | One-Piece|Reduced-Diameter |
| Bone Augmentation | Horizontal|Simultaneous |
|---|---|
| Augmentation Materials | Xenogenous|Membrane |
| Guided Surgery | No |
| Soft Tissue Grafting | None |
| Abutment Type | Customized |
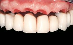
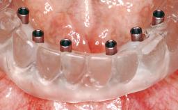
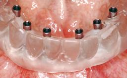
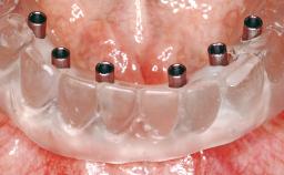
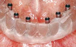
| Prosthesis Type | FDP |
Esthetic Risk Assessment
| Esthetic Risk Factors | Low | Medium | High |
|---|---|---|---|
| Medical Status | Healthy | Compromised | |
| Smoking Habit | Non-smoker | Light smoker (< 10 cigarettes per day) | Heavy smoker (>= 10 cigarettes per day) |
| Patient's Esthetic Expectations | Low | Medium | High |
| Lip Line | No exposure of papillae | Exposure of papillae | Full exposure of mucosa margin |
| Periodontal Phenotype | Low-scalloped, thick | Medium-scalloped, medium-thick | High-scalloped, thin |
| Shape of Tooth Crowns | Rectangular | Triangular | |
| Infection at Implant Site | None | Chronic | Acute |
| Bone Level at Adjacent Teeth | <= 5 mm to contact point | 5.5 to 6.5 mm to contact point | > 7 mm to contact point |
| Prosthodontic Status of Neighboring Teeth | Virgin | Restored | |
| Width of Edentulous Span | 1 tooth (>= 7 mm) | 1 tooth (< 7 mm) | 2 teeth or more |
| Soft Tissue Anatomy | Intact | Defective | |
| Bone Volume | Horizontally and vertically sufficient | Horizontally deficient | Deficient vertically or deficient vertically AND horizontally |
* General SAC assessment modifiers that are also part of the ERA. To avoid redundancy they are listed in this section even if no complete ERA has been made.
** Not applicable to the ERA of immediate placement cases and replaced by "Socket Integrity" listed below under "Surgical SAC Classification". For all other placement types this value is a classification determinant and listed here even if no complete ERA has been made.
Surgical SAC classification
| SAC Level | Complex |
|---|---|
| Defining Characteristics | Fully edentulous upper jaw to be rehabilitated with four or more implants |
| Modality | Fixed hybrid bridge on 5+ implants |
| Placement Protocol | - |
| Tooth Site | - |
| Socket Morphology | - |
| Socket Integrity | - |
| Bone Volume | Deficient horizontally, allowing simultaneous augumentation |
| Anatomic Risk | Moderate |
| Esthetic Risk | Medium |
| Complexity | High |
| Risk of Complications | High |
Prosthodontic SAC classification
| SAC Level | Complex |
|---|---|
| Defining Characteristics | Fully edentulous upper jaw to be rehabilitated with an implant-borne fixed dental prosthesis |
| Loading Protocol | Immediate |
| Retention | Cemented, with prosthesis margin < 3mm submucosal Cemented, with prosthesis margin < 3mm submucosal |
| Maxillomandibular Relationship | - |
| Mesio-Distal Space | - |
| Inter-Arch Distance | Average |
| Bruxism | Absent |
| Esthetic Risk | Medium |
| Provisional Implant-Supported Prosthesis | Prosthodontic margin < 3 mm apical to mucosal crest Prosthodontic margin < 3 mm apical to mucosal crest |
| Interim Prosthesis during Healing | - - |
| Occlusion/Articulation | - |
| Occlusal Scheme/Issues | Anterior guidance |
Surgical SAC Modifiers
| Periodontal Status | Healthy |
|---|
Prosthodontic SAC Modifiers
| Soft Tissue Contour and Volume | Slightly compromised |
|---|
General SAC Modifiers
| Oral Hygiene and Compliance | Good |
|---|---|
| Access | Adequate |
| Craniofacial/Skeletal Growth | Completed |
Share this page
Download the QR code with a link to this page and use it in your presentations or share it on social media.
Download QR code