
Immediate Loading of Four Implants in the Mandible and Six Implants in the Maxilla and Final Restoration with a Full-Arch Metal Framework FDP and a Full-Arch CAD/CAM Zirconia Framework FDP
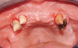
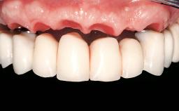
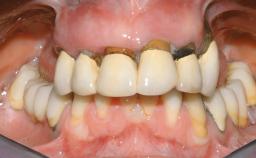
A 65-year-old female patient with a failing residual maxillary dentition and a complete mandibular removable denture was referred for consultation and treatment. The patient’s chief complaint was that her upper residual teeth were mobile and she was unable to chew. The patient also asked us to improve the esthetic appearance of her smile. The patient’s desire was a stable and comfortable dentition in both jaws, and she specifically asked for a fixed rehabilitation. The patient reported a history of recurrent caries, endodontic complications, and periodontal disease as main reasons for previous teeth extractions. The anamnesis was negative for bruxism and TMJ disorders. The patient had no systemic diseases, was not on any medication,and did not smoke. The extraoral examination revealed a medium lip line, a wide diastema between the two central incisors (which, according to the patient, had appeared recently), and a partial collapse of the perioral soft tissues, probably due to loss of the correct vertical dimensions.










General information
Case Type | Edentulous Maxilla |
---|---|
Jaw | Maxilla and Mandible |
Area | Full-Arch |
# of Teeth | All |
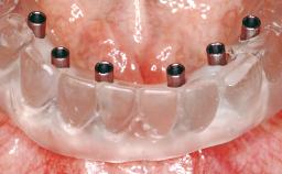
# of Implants | 10 |
Type of Implants | Two-Piece |
Attachment | Two-Piece |
Bone Augmentation | Horizontal|Simultaneous |
---|---|
Augmentation Materials | Xenogenous |
Guided Surgery | No |
Soft Tissue Grafting | None |
Abutment Type | CAD/CAM |
Prosthesis Type | FDP |
Esthetic Risk Assessment
Esthetic Risk Factors | Low | Medium | High |
---|---|---|---|
Medical Status | Healthy | Compromised | |
Smoking Habit | Non-smoker | Light smoker (< 10 cigarettes per day) | Heavy smoker (>= 10 cigarettes per day) |
Patient's Esthetic Expectations | Low | Medium | High |
Lip Line | No exposure of papillae | Exposure of papillae | Full exposure of mucosa margin |
Periodontal Phenotype | Low-scalloped, thick | Medium-scalloped, medium-thick | High-scalloped, thin |
Shape of Tooth Crowns | Rectangular | Triangular | |
Infection at Implant Site | None | Chronic | Acute |
Bone Level at Adjacent Teeth | <= 5 mm to contact point | 5.5 to 6.5 mm to contact point | > 7 mm to contact point |
Prosthodontic Status of Neighboring Teeth | Virgin | Restored | |
Width of Edentulous Span | 1 tooth (>= 7 mm) | 1 tooth (< 7 mm) | 2 teeth or more |
Soft Tissue Anatomy | Intact | Defective | |
Bone Volume | Horizontally and vertically sufficient | Horizontally deficient | Deficient vertically or deficient vertically AND horizontally |
* General SAC assessment modifiers that are also part of the ERA. To avoid redundancy they are listed in this section even if no complete ERA has been made.
** Not applicable to the ERA of immediate placement cases and replaced by "Socket Integrity" listed below under "Surgical SAC Classification". For all other placement types this value is a classification determinant and listed here even if no complete ERA has been made.
Surgical SAC classification
SAC Level | Complex |
---|---|
Defining Characteristics | Fully edentulous upper jaw to be rehabilitated with four or more implants |
Modality | Fixed hybrid bridge on 5+ implants |
Placement Protocol | - |
Tooth Site | - |
Socket Morphology | - |
Socket Integrity | - |
Bone Volume | Deficient horizontally, allowing simultaneous augumentation |
Anatomic Risk | Moderate |
Esthetic Risk | High |
Complexity | High |
Risk of Complications | High |
Prosthodontic SAC classification
SAC Level | Complex |
---|---|
Defining Characteristics | Fully edentulous upper jaw to be rehabilitated with an implant-borne fixed dental prosthesis |
Loading Protocol | Immediate |
Retention | Cemented, with prosthesis margin < 3mm submucosal Cemented, with prosthesis margin < 3mm submucosal |
Maxillomandibular Relationship | - |
Mesio-Distal Space | - |
Inter-Arch Distance | Average |
Bruxism | Absent |
Esthetic Risk | High |
Provisional Implant-Supported Prosthesis | Prosthodontic margin < 3 mm apical to mucosal crest Prosthodontic margin < 3 mm apical to mucosal crest |
Interim Prosthesis during Healing | - - |
Occlusion/Articulation | - |
Occlusal Scheme/Issues | Anterior guidance |
Surgical SAC Modifiers
Periodontal Status | History of periodontitis or genetic predisposition |
---|
Prosthodontic SAC Modifiers
Soft Tissue Contour and Volume | Slightly compromised |
---|
General SAC Modifiers
Oral Hygiene and Compliance | Sufficient |
---|---|
Access | Adequate |
Craniofacial/Skeletal Growth | Completed |
Share this page
Download the QR code with a link to this page and use it in your presentations or share it on social media.
Download QR code