Case

3.0The average rating is 3 stars out of 5.

Immediate Loading of Four Implants in the Mandible and Final Restoration with a Full-Arch Metal Framework FDP

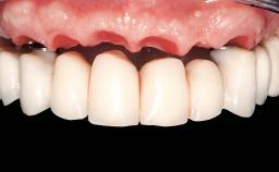
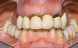
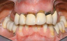
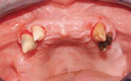
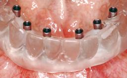
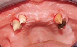
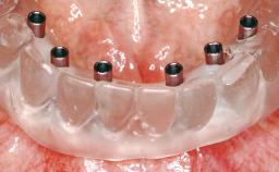
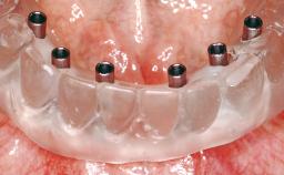
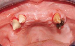
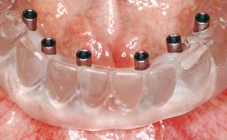
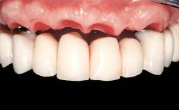
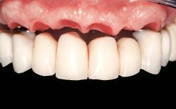
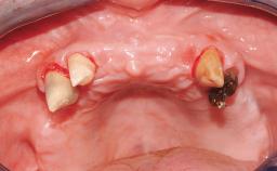
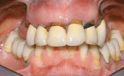
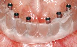
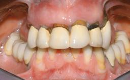
A fully edentulous 65-year-old woman was referred to our clinic for esthetic and functional dental rehabilitation. The patient presented with inadequate complete maxillary and mandibular prostheses, insufficient vertical dimension, and extensive tooth wear. The clinical examination and anamnesis showed no local or systemic contraindications, no signs or symptoms of bruxism, and an absence of smoking habits. The treatment proposed was implant placement in the mandibular interforaminal area and immediate loading with a fixed definitive prosthesis. A removable mucosa-supported complete prosthesis was indicated for the upper jaw, since its bone structure offered satisfactory retention and the financial condition of the patient disfavored a full-mouth implant-supported rehabilitation.

Surgical SAC classification
Advanced
Prosthodontic SAC classification
Complex
Learner Level
Source
Treatment Guide 4
CME/CPD
0.25 hours
Purchase price
10
You must be logged in to access or purchase this item.
There is a wealth of resources you can access by signing up as an ITI Member. Learn more about ITI membership benefits.

General information

Case Type Edentulous Mandible
Jaw Mandible
Area Full-Arch
# of Teeth All
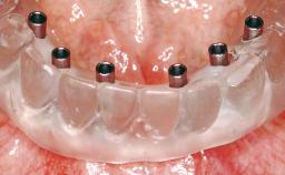
# of Implants 4
Type of Implants One-Piece
Attachment One-Piece
Bone Augmentation No
Augmentation Materials -
Guided Surgery No
Soft Tissue Grafting None
Abutment Type Standard
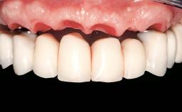
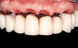
Prosthesis Type FDP

Esthetic Risk Assessment

Esthetic Risk Factors Low Medium High
Medical Status Healthy Compromised
Smoking Habit Non-smoker Light smoker (< 10 cigarettes per day) Heavy smoker (>= 10 cigarettes per day)
Patient's Esthetic Expectations Low Medium High
Lip Line No exposure of papillae Exposure of papillae Full exposure of mucosa margin
Periodontal Phenotype Low-scalloped, thick Medium-scalloped, medium-thick High-scalloped, thin
Shape of Tooth Crowns Rectangular Triangular
Infection at Implant Site None Chronic Acute
Bone Level at Adjacent Teeth <= 5 mm to contact point 5.5 to 6.5 mm to contact point > 7 mm to contact point
Prosthodontic Status of Neighboring Teeth Virgin Restored
Width of Edentulous Span 1 tooth (>= 7 mm) 1 tooth (< 7 mm) 2 teeth or more
Soft Tissue Anatomy Intact Defective
Bone Volume Horizontally and vertically sufficient Horizontally deficient Deficient vertically or deficient vertically AND horizontally

* General SAC assessment modifiers that are also part of the ERA. To avoid redundancy they are listed in this section even if no complete ERA has been made.

** Not applicable to the ERA of immediate placement cases and replaced by "Socket Integrity" listed below under "Surgical SAC Classification". For all other placement types this value is a classification determinant and listed here even if no complete ERA has been made.

Surgical SAC classification

SAC Level Advanced
Defining Characteristics Fully edentulous lower jaw to be rehabilitated with two or more implants
Modality 3 or 4 interforaminal implants
Placement Protocol -
Tooth Site -
Socket Morphology -
Socket Integrity -
Bone Volume Horizontally and vertically sufficient
Anatomic Risk Moderate
Esthetic Risk Low
Complexity Moderate
Risk of Complications Moderate

Prosthodontic SAC classification

SAC Level Complex
Defining Characteristics Fully edentulous lower jaw to be rehabilitated with an implant-borne fixed dental prosthesis
Loading Protocol Immediate
Retention Screw-retained, with 4 or more splinted implants Screw-retained, with 4 or more splinted implants
Maxillomandibular Relationship -
Mesio-Distal Space -
Inter-Arch Distance Adequate
Bruxism Absent
Esthetic Risk Low
Provisional Implant-Supported Prosthesis - -
Interim Prosthesis during Healing - -
Occlusion/Articulation -
Occlusal Scheme/Issues Anterior guidance

Surgical SAC Modifiers

Periodontal Status Healthy

Prosthodontic SAC Modifiers

Soft Tissue Contour and Volume -

General SAC Modifiers

Oral Hygiene and Compliance Good
Access Adequate
Craniofacial/Skeletal Growth Completed
Publication date: Jan 11, 2015 Last review date: Apr 10, 2024 Next review date: Apr 10, 2027
3 - Proficient to Expert Clinical Case Treatment Guide 4

ITI QR code Mvc

Share this page

Download the QR code with a link to this page and use it in your presentations or share it on social media.

Download QR code
QR code