 
                                Immediate Flapless Placement of an Implant in a Maxillary Right Second Premolar Site
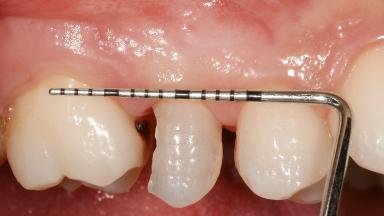
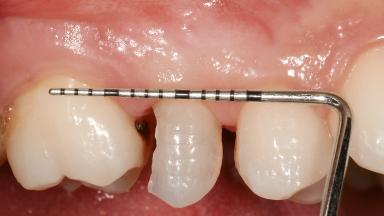
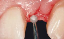
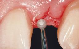
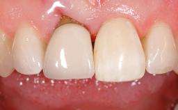
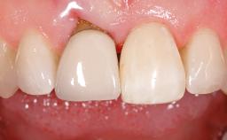
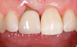
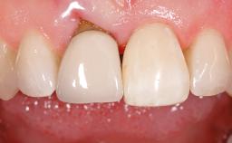
This 22-year-old female patient, a light smoker, came to the office in January 2007 because of a fracture of the endodontically treated tooth 15. The fracture had been caused by severe decay. The periapical radiograph revealed the full extent of the loss of tooth substance. The amount of healthy dentine was not sufficient for a stump preparation for a conventional crown due to the extent of decay and due to the fact that the fracture line extended below the bone level. Therefore, the patient was offered the following treatment options: Extraction of tooth 15 and gap closure with a conventional tooth-supported bridge, Orthodontic extrusion of tooth 15 and subsequent cementation of a conventional single crown and Extraction of tooth 15 and replacement by a dental implant.
 
                                                     
                                 
                                 
                                 
                                 
                                 
                                 
                                 
                                 
                                General information
| Case Type | Single-Tooth Space | 
|---|---|
| Jaw | Maxilla | 
| Area | Posterior | 
| # of Teeth | 1 | 
| # of Implants | 1 | 
| Type of Implants | One-Piece | 
| Attachment | One-Piece | 
| Bone Augmentation | Simultaneous | 
|---|---|
| Augmentation Materials | Xenogenous | 
| Guided Surgery | No | 
| Soft Tissue Grafting | None | 
| Abutment Type | Standard | 
| Prosthesis Type | FDP | 
Esthetic Risk Assessment
| Esthetic Risk Factors | Low | Medium | High | 
|---|---|---|---|
| Medical Status | Healthy | Compromised | |
| Smoking Habit | Non-smoker | Light smoker (< 10 cigarettes per day) | Heavy smoker (>= 10 cigarettes per day) | 
| Patient's Esthetic Expectations | Low | Medium | High | 
| Lip Line | No exposure of papillae | Exposure of papillae | Full exposure of mucosa margin | 
| Periodontal Phenotype | Low-scalloped, thick | Medium-scalloped, medium-thick | High-scalloped, thin | 
| Shape of Tooth Crowns | Rectangular | Triangular | |
| Infection at Implant Site | None | Chronic | Acute | 
| Bone Level at Adjacent Teeth | <= 5 mm to contact point | 5.5 to 6.5 mm to contact point | > 7 mm to contact point | 
| Prosthodontic Status of Neighboring Teeth | Virgin | Restored | |
| Width of Edentulous Span | 1 tooth (>= 7 mm) | 1 tooth (< 7 mm) | 2 teeth or more | 
| Soft Tissue Anatomy | Intact | Defective | |
| Bone Volume | Horizontally and vertically sufficient | Horizontally deficient | Deficient vertically or deficient vertically AND horizontally | 
* General SAC assessment modifiers that are also part of the ERA. To avoid redundancy they are listed in this section even if no complete ERA has been made.
** Not applicable to the ERA of immediate placement cases and replaced by "Socket Integrity" listed below under "Surgical SAC Classification". For all other placement types this value is a classification determinant and listed here even if no complete ERA has been made.
Surgical SAC classification
| SAC Level | Advanced | 
|---|---|
| Defining Characteristics | One missing tooth to be replaced by an implant-borne prosthesis | 
| Modality | - | 
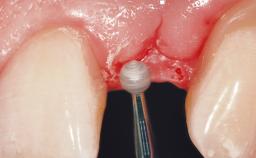
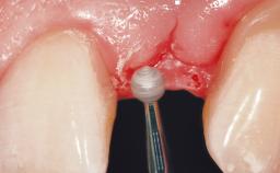
| Placement Protocol | Immediate implant placement | 
| Tooth Site | Maxillary premolar | 
| Socket Morphology | Multi-root socket | 
| Socket Integrity | Sufficient, with intact bone walls | 
| Bone Volume | Sufficient, with intact walls | 
| Anatomic Risk | Low | 
| Esthetic Risk | Medium | 
| Complexity | Moderate | 
| Risk of Complications | Moderate | 
Prosthodontic SAC classification
| SAC Level | Straightforward | 
|---|---|
| Defining Characteristics | One missing tooth to be replaced by an implant-borne crown | 
| Loading Protocol | Immediate | 
| Retention | Cemented, with prosthesis margin < 3mm submucosal Cemented, with prosthesis margin < 3mm submucosal | 
| Maxillomandibular Relationship | - | 
| Mesio-Distal Space | Anatomic space corresponding to the missing tooth +/- 1 mm | 
| Inter-Arch Distance | Ideal tooth height +/- 1 mm | 
| Bruxism | Absent | 
| Esthetic Risk | Medium | 
| Provisional Implant-Supported Prosthesis | Prosthodontic margin < 3 mm apical to mucosal margin Prosthodontic margin < 3 mm apical to mucosal margin | 
| Interim Prosthesis during Healing | - - | 
| Occlusion/Articulation | - | 
| Occlusal Scheme/Issues | - | 
Surgical SAC Modifiers
| Periodontal Status | Healthy | 
|---|
Prosthodontic SAC Modifiers
| Soft Tissue Contour and Volume | Ideal | 
|---|
General SAC Modifiers
| Oral Hygiene and Compliance | Good | 
|---|---|
| Access | Adequate | 
| Craniofacial/Skeletal Growth | Completed | 
Share this page
Download the QR code with a link to this page and use it in your presentations or share it on social media.
Download QR code