
Iliac-Crest Block for Vertical and Horizontal Space Filling in the Anterior Maxilla
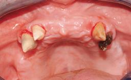
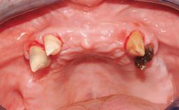
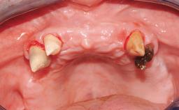
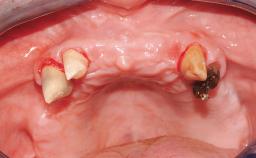
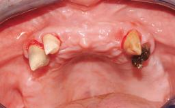
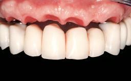
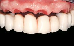
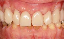
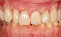
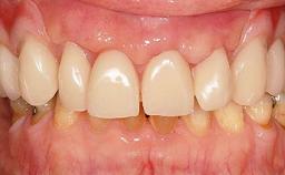
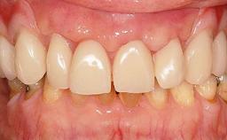
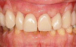
A 31-year-old man presented to our clinic 30 days after a motor vehicle accident in which he had suffered a dentoalveolar fracture in the anterior maxilla, including avulsion of teeth 12 and 11 and luxation of tooth 21. He was first treated on the night of the accident in a small city hospital with no oral and maxillofacial surgeon on the staff. A wired retention had been applied and the teeth repositioned to the best of the clinicians’ abilities. When he first presented to our care, the patient showed extrusion of teeth 12 and 11 associated with gingival recession due to bone loss in the anterior maxilla, and the stainless steel wires were still present.











General information
Case Type | Short Space |
---|---|
Jaw | Maxilla |
Area | Anterior |
# of Teeth | 3 |
# of Implants | 3 |
Type of Implants | One-Piece|Reduced-Diameter |
Attachment | One-Piece|Reduced-Diameter |
Bone Augmentation | Horizontal|Staged|Vertical |
---|---|
Augmentation Materials | Autogenous chips|Autogenous block(s) |
Guided Surgery | No |
Soft Tissue Grafting | None |
Abutment Type | Standard |
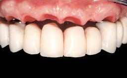
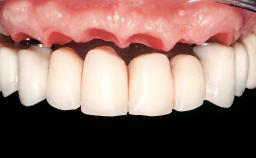
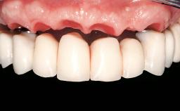
Prosthesis Type | FDP |
Esthetic Risk Assessment
Esthetic Risk Factors | Low | Medium | High |
---|---|---|---|
Medical Status | Healthy | Compromised | |
Smoking Habit | Non-smoker | Light smoker (< 10 cigarettes per day) | Heavy smoker (>= 10 cigarettes per day) |
Patient's Esthetic Expectations | Low | Medium | High |
Lip Line | No exposure of papillae | Exposure of papillae | Full exposure of mucosa margin |
Periodontal Phenotype | Low-scalloped, thick | Medium-scalloped, medium-thick | High-scalloped, thin |
Shape of Tooth Crowns | Rectangular | Triangular | |
Infection at Implant Site | None | Chronic | Acute |
Bone Level at Adjacent Teeth | <= 5 mm to contact point | 5.5 to 6.5 mm to contact point | > 7 mm to contact point |
Prosthodontic Status of Neighboring Teeth | Virgin | Restored | |
Width of Edentulous Span | 1 tooth (>= 7 mm) | 1 tooth (< 7 mm) | 2 teeth or more |
Soft Tissue Anatomy | Intact | Defective | |
Bone Volume | Horizontally and vertically sufficient | Horizontally deficient | Deficient vertically or deficient vertically AND horizontally |
* General SAC assessment modifiers that are also part of the ERA. To avoid redundancy they are listed in this section even if no complete ERA has been made.
** Not applicable to the ERA of immediate placement cases and replaced by "Socket Integrity" listed below under "Surgical SAC Classification". For all other placement types this value is a classification determinant and listed here even if no complete ERA has been made.
Surgical SAC classification
SAC Level | Complex |
---|---|
Defining Characteristics | Up to three missing teeth to be replaced with an implant-borne prosthesis or prostheses |
Modality | - |
Placement Protocol | Early or late implant placement |
Tooth Site | - |
Socket Morphology | - |
Socket Integrity | - |
Bone Volume | Deficient vertically or deficient vertically AND horizontally |
Anatomic Risk | High |
Esthetic Risk | High |
Complexity | High |
Risk of Complications | High |
Prosthodontic SAC classification
SAC Level | Advanced |
---|---|
Defining Characteristics | Up to three missing teeth to be replaced with an implant-borne restoration or restorations |
Loading Protocol | Conventional or early |
Retention | Screw-retained, with 2 unsplinted implants Screw-retained, with 2 unsplinted implants |
Maxillomandibular Relationship | - |
Mesio-Distal Space | Adequate for the replacement of all missing teeth |
Inter-Arch Distance | - |
Bruxism | Absent |
Esthetic Risk | High |
Provisional Implant-Supported Prosthesis | - - |
Interim Prosthesis during Healing | Removable Removable |
Occlusion/Articulation | Harmonious |
Occlusal Scheme/Issues | - |
Surgical SAC Modifiers
Periodontal Status | Healthy |
---|
Prosthodontic SAC Modifiers
Soft Tissue Contour and Volume | Significantly deficient |
---|
General SAC Modifiers
Oral Hygiene and Compliance | Sufficient |
---|---|
Access | Adequate |
Craniofacial/Skeletal Growth | Completed |
Share this page
Download the QR code with a link to this page and use it in your presentations or share it on social media.
Download QR code