Case

0.0The average rating is 0 stars out of 5.

Horizontal Augmentation with Iliac Bone Grafts in the Treatment of Non-Syndromic Oligodontia

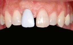
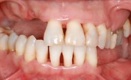
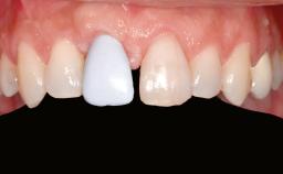
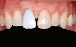
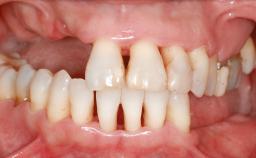
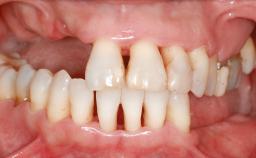
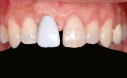
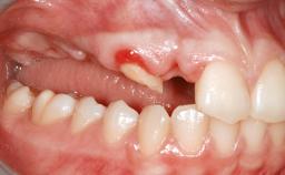
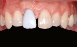
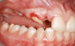
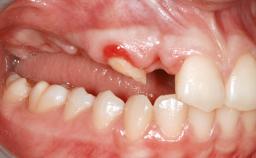
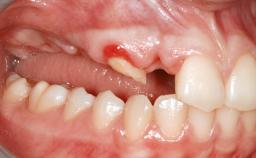
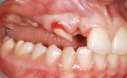
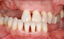
A 20-year-old woman was referred for implant therapy in 2004. Her medical history revealed no significant findings, and neither did she smoke nor take any medications. An extraoral examination revealed no abnormalities of the skin, hair or nails. The intraoral examination revealed only 11 permanent teeth clinically. These were normal in shape, size, and color. In addition, eight retained deciduous teeth (53, 62, 63, 71, 72, 73, 81, 82) were present. No abnormalities were detected during the general examination. The family history revealed that the patient’s father and two sisters were on record with similar conditions. The clinical examination revealed a thick gingival biotype. No recession of the attached gingiva was noted, but the retained deciduous teeth were mobile and unsightly. As a syndrome had not been diagnosed, the case was categorized as non-syndromic oligodontia.

Surgical SAC classification
Complex
Prosthodontic SAC classification
Straightforward
Learner Level
Source
Treatment Guide 7
CME/CPD
0.25 hours
Purchase price
10
You must be logged in to access or purchase this item.
There is a wealth of resources you can access by signing up as an ITI Member. Learn more about ITI membership benefits.

General information

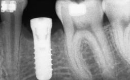
Case Type Extended Space
Jaw Maxilla and Mandible
Area Anterior|Posterior
# of Teeth 14
# of Implants 12
Type of Implants One-Piece|Reduced-Diameter
Attachment One-Piece|Reduced-Diameter
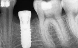
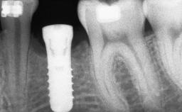
Bone Augmentation Horizontal|Staged
Augmentation Materials Autogenous chips|Autogenous block(s)|Membrane
Guided Surgery No
Soft Tissue Grafting None
Abutment Type Standard
Prosthesis Type FDP

Esthetic Risk Assessment

Esthetic Risk Factors Low Medium High
Medical Status Healthy Compromised
Smoking Habit Non-smoker Light smoker (< 10 cigarettes per day) Heavy smoker (>= 10 cigarettes per day)
Patient's Esthetic Expectations Low Medium High
Lip Line No exposure of papillae Exposure of papillae Full exposure of mucosa margin
Periodontal Phenotype Low-scalloped, thick Medium-scalloped, medium-thick High-scalloped, thin
Shape of Tooth Crowns Rectangular Triangular
Infection at Implant Site None Chronic Acute
Bone Level at Adjacent Teeth <= 5 mm to contact point 5.5 to 6.5 mm to contact point > 7 mm to contact point
Prosthodontic Status of Neighboring Teeth Virgin Restored
Width of Edentulous Span 1 tooth (>= 7 mm) 1 tooth (< 7 mm) 2 teeth or more
Soft Tissue Anatomy Intact Defective
Bone Volume Horizontally and vertically sufficient Horizontally deficient Deficient vertically or deficient vertically AND horizontally

* General SAC assessment modifiers that are also part of the ERA. To avoid redundancy they are listed in this section even if no complete ERA has been made.

** Not applicable to the ERA of immediate placement cases and replaced by "Socket Integrity" listed below under "Surgical SAC Classification". For all other placement types this value is a classification determinant and listed here even if no complete ERA has been made.

Surgical SAC classification

SAC Level Complex
Defining Characteristics More than three missing teeth to be replaced with an implant-borne prosthesis or prostheses
Modality -
Placement Protocol Early or late implant placement
Tooth Site -
Socket Morphology -
Socket Integrity -
Bone Volume Deficient horizontally, requiring prior grafting
Anatomic Risk Moderate
Esthetic Risk Low
Complexity High
Risk of Complications Moderate

Prosthodontic SAC classification

SAC Level Straightforward
Defining Characteristics Up to three missing teeth to be replaced with an implant-borne restoration or restorations
Loading Protocol Conventional or early
Retention Cemented, with prosthesis margin < 3mm submucosal Cemented, with prosthesis margin < 3mm submucosal
Maxillomandibular Relationship -
Mesio-Distal Space Anatomic space corresponding to the missing teeth +/- 1 mm
Inter-Arch Distance > 8 mm
Bruxism Absent
Esthetic Risk Low
Provisional Implant-Supported Prosthesis Prosthodontic margin < 3 mm apical to mucosal crest Prosthodontic margin < 3 mm apical to mucosal crest
Interim Prosthesis during Healing Removable Removable
Occlusion/Articulation Irregular with no need for correction
Occlusal Scheme/Issues -

Surgical SAC Modifiers

Periodontal Status Healthy

Prosthodontic SAC Modifiers

Soft Tissue Contour and Volume -

General SAC Modifiers

Oral Hygiene and Compliance Good
Access Adequate
Craniofacial/Skeletal Growth Completed
Publication date: Oct 13, 2014 Last review date: Apr 10, 2024 Next review date: Apr 10, 2027
3 - Proficient to Expert Clinical Case Treatment Guide 7

ITI QR code Mvc

Share this page

Download the QR code with a link to this page and use it in your presentations or share it on social media.

Download QR code
QR code