Case

0.0The average rating is 0 stars out of 5.

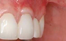
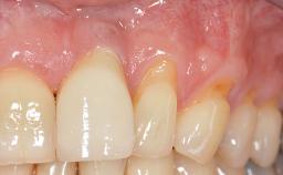
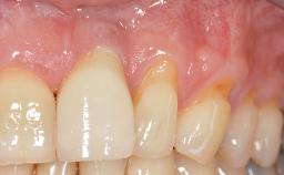
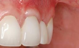
GBR and Soft-Tissue Augmentation Following Explantation to Rehabilitate a Soft- and Hard-Tissue Defect

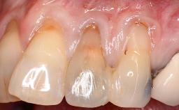
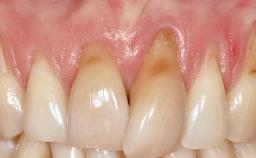
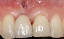
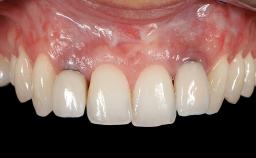
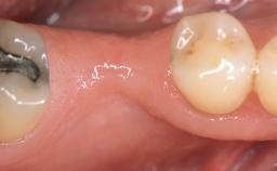
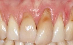
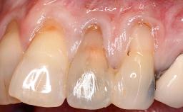
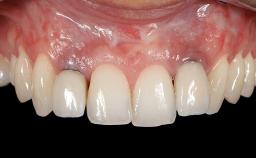
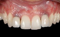
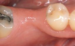
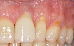
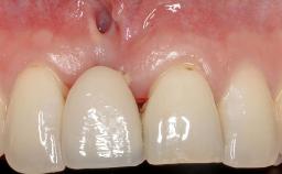
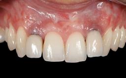
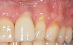
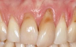
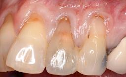
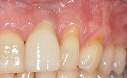
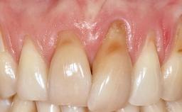
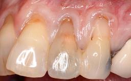
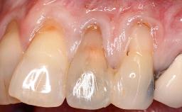
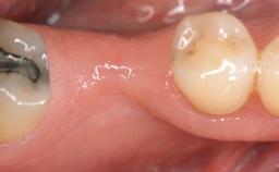
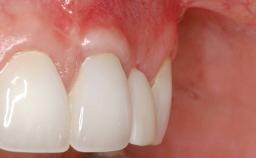
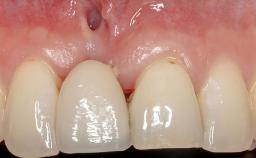
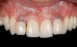
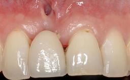
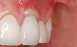
It is sometimes necessary to remove and replace compromised implants. This case is a clear example of the need for multiple steps to achieve an optimal therapeutic result for patients with non-salvageable implants. It illustrates how the lost soft and hard tissues were rebuilt in a sequence that improved the healing of the hard tissues and assured their long-term stability. The 35-year-old healthy patient presented with clinical attachment loss on the proximal and lingual surfaces of the natural dentition. Some gingival recession was present on natural teeth, particularly in the posterior sextants (S1, S3, S4, and S6).

Surgical SAC classification
Complex
Prosthodontic SAC classification
Complex
Learner Level
Source
Treatment Guide 12
CME/CPD
0.25 hours
Purchase price
10
You must be logged in to access or purchase this item.
There is a wealth of resources you can access by signing up as an ITI Member. Learn more about ITI membership benefits.

General information

Case Type
Jaw Maxilla
Area Anterior|Posterior
# of Teeth 2
# of Implants 1
Type of Implants One-Piece
Attachment One-Piece
Bone Augmentation Horizontal|Staged|Vertical
Augmentation Materials Autogenous chips|Autogenous block(s)|Xenogenous
Guided Surgery No
Soft Tissue Grafting Staged
Abutment Type CAD/CAM
Prosthesis Type FDP

Esthetic Risk Assessment

Esthetic Risk Factors Low Medium High
Medical Status Healthy Compromised
Smoking Habit Non-smoker Light smoker (< 10 cigarettes per day) Heavy smoker (>= 10 cigarettes per day)
Patient's Esthetic Expectations Low Medium High
Lip Line No exposure of papillae Exposure of papillae Full exposure of mucosa margin
Periodontal Phenotype Low-scalloped, thick Medium-scalloped, medium-thick High-scalloped, thin
Shape of Tooth Crowns Rectangular Triangular
Infection at Implant Site None Chronic Acute
Bone Level at Adjacent Teeth <= 5 mm to contact point 5.5 to 6.5 mm to contact point > 7 mm to contact point
Prosthodontic Status of Neighboring Teeth Virgin Restored
Width of Edentulous Span 1 tooth (>= 7 mm) 1 tooth (< 7 mm) 2 teeth or more
Soft Tissue Anatomy Intact Defective
Bone Volume Horizontally and vertically sufficient Horizontally deficient Deficient vertically or deficient vertically AND horizontally

* General SAC assessment modifiers that are also part of the ERA. To avoid redundancy they are listed in this section even if no complete ERA has been made.

** Not applicable to the ERA of immediate placement cases and replaced by "Socket Integrity" listed below under "Surgical SAC Classification". For all other placement types this value is a classification determinant and listed here even if no complete ERA has been made.

Surgical SAC classification

SAC Level Complex
Defining Characteristics Up to three missing teeth to be replaced with an implant-borne prosthesis or prostheses
Modality Modality
Placement Protocol Early or late implant placement
Tooth Site Tooth site
Socket Morphology Socket morphology
Socket Integrity Socket integrity
Bone Volume Deficient vertically or deficient vertically AND horizontally
Anatomic Risk High
Esthetic Risk High
Complexity High
Risk of Complications High

Prosthodontic SAC classification

SAC Level Complex
Defining Characteristics Up to three missing teeth to be replaced with an implant-borne restoration or restorations
Loading Protocol Conventional or early
Retention -
Maxillomandibular Relationship -
Mesio-Distal Space Anatomic space corresponding to the missing teeth +/- 1 mm
Inter-Arch Distance -
Bruxism -
Esthetic Risk High
Provisional Implant-Supported Prosthesis -
Interim Prosthesis during Healing -
Occlusion/Articulation -
Occlusal Scheme/Issues -

Surgical SAC Modifiers

Periodontal Status History of periodontitis or genetic predisposition

Prosthodontic SAC Modifiers

Soft Tissue Contour and Volume Significantly deficient

General SAC Modifiers

Oral Hygiene and Compliance Insufficient
Access Adequate
Craniofacial/Skeletal Growth Completed
Publication date: Jul 25, 2022 Last review date: Jul 18, 2023 Next review date: Jul 18, 2026
3 - Proficient to Expert Clinical Case Treatment Guide 12

ITI QR code Mvc

Share this page

Download the QR code with a link to this page and use it in your presentations or share it on social media.

Download QR code
QR code