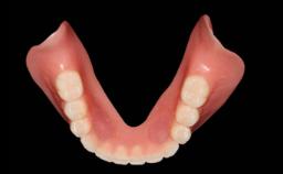
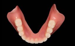
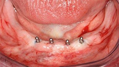
Four Immediately Loaded Mini-Implants Supporting a Mandibular Overdenture
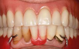
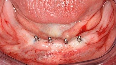
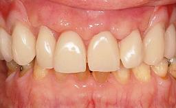
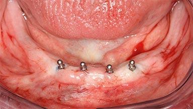
A 74-year-old male patient, a non-smoker, who had been wearing complete dentures for more than 30 years, presented to our clinic complaining about discomfort in connection with his lower denture. The patient suffered from asthma and had a history of cardiac disease and blood pressure disorders. All conditions were medically controlled and stable. The clinical inspection of the oral cavity revealed an ill-fitting complete mandibular denture. The patient expressed the wish for his lower denture to “stop moving when chewing, swallowing, and speaking.” He reported having heard about dental implants and asked whether these could help in “fixing” his lower denture, but also requested non-invasive treatment. The mucosa presented healthy and was free of defects such as pressure sores. An band of keratinized mucosa approximately 2 mm wide was visible. The patient’s mucosal biotype was medium thick to thin.
                                                    
                                
                                
                                
                                
                                
                                
                                
                                
                                General information
| Case Type | Edentulous Mandible | 
|---|---|
| Jaw | Mandible | 
| Area | Full-Arch | 
| # of Teeth | All | 
| # of Implants | 4 | 
| Type of Implants | One-Piece|Reduced-Diameter | 
| Attachment | One-Piece|Reduced-Diameter | 
| Bone Augmentation | No | 
|---|---|
| Augmentation Materials | - | 
| Guided Surgery | No | 
| Soft Tissue Grafting | None | 
| Abutment Type | Standard | 
| Prosthesis Type | RDP | 
Esthetic Risk Assessment
| Esthetic Risk Factors | Low | Medium | High | 
|---|---|---|---|
| Medical Status | Healthy | Compromised | |
| Smoking Habit | Non-smoker | Light smoker (< 10 cigarettes per day) | Heavy smoker (>= 10 cigarettes per day) | 
| Patient's Esthetic Expectations | Low | Medium | High | 
| Lip Line | No exposure of papillae | Exposure of papillae | Full exposure of mucosa margin | 
| Periodontal Phenotype | Low-scalloped, thick | Medium-scalloped, medium-thick | High-scalloped, thin | 
| Shape of Tooth Crowns | Rectangular | Triangular | |
| Infection at Implant Site | None | Chronic | Acute | 
| Bone Level at Adjacent Teeth | <= 5 mm to contact point | 5.5 to 6.5 mm to contact point | > 7 mm to contact point | 
| Prosthodontic Status of Neighboring Teeth | Virgin | Restored | |
| Width of Edentulous Span | 1 tooth (>= 7 mm) | 1 tooth (< 7 mm) | 2 teeth or more | 
| Soft Tissue Anatomy | Intact | Defective | |
| Bone Volume | Horizontally and vertically sufficient | Horizontally deficient | Deficient vertically or deficient vertically AND horizontally | 
* General SAC assessment modifiers that are also part of the ERA. To avoid redundancy they are listed in this section even if no complete ERA has been made.
** Not applicable to the ERA of immediate placement cases and replaced by "Socket Integrity" listed below under "Surgical SAC Classification". For all other placement types this value is a classification determinant and listed here even if no complete ERA has been made.
Surgical SAC classification
| SAC Level | Advanced | 
|---|---|
| Defining Characteristics | Fully edentulous lower jaw to be rehabilitated with two or more implants | 
| Modality | 3 or 4 interforaminal implants | 
| Placement Protocol | - | 
| Tooth Site | - | 
| Socket Morphology | - | 
| Socket Integrity | - | 
| Bone Volume | Horizontally and vertically sufficient | 
| Anatomic Risk | Moderate | 
| Esthetic Risk | Low | 
| Complexity | Moderate | 
| Risk of Complications | Moderate | 
Prosthodontic SAC classification
| SAC Level | Advanced | 
|---|---|
| Defining Characteristics | Fully edentulous lower jaw to be rehabilitated with an implant-borne removable overdenture | 
| Loading Protocol | Conventional/early | 
| Retention | - - | 
| Maxillomandibular Relationship | - | 
| Mesio-Distal Space | - | 
| Inter-Arch Distance | - | 
| Bruxism | Absent | 
| Esthetic Risk | Low | 
| Provisional Implant-Supported Prosthesis | - - | 
| Interim Prosthesis during Healing | Removable Removable | 
| Occlusion/Articulation | - | 
| Occlusal Scheme/Issues | Balanced | 
Surgical SAC Modifiers
| Periodontal Status | History of periodontitis or genetic predisposition | 
|---|
Prosthodontic SAC Modifiers
| Soft Tissue Contour and Volume | - | 
|---|
General SAC Modifiers
| Oral Hygiene and Compliance | Sufficient | 
|---|---|
| Access | Adequate | 
| Craniofacial/Skeletal Growth | Completed | 
Share this page
Download the QR code with a link to this page and use it in your presentations or share it on social media.
Download QR code