Early Placement of an Implant in a Maxillary Left First Premolar Site
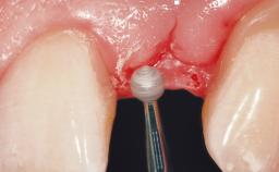
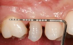
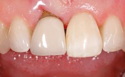
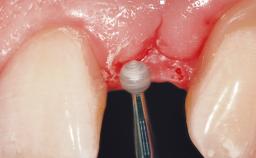
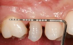
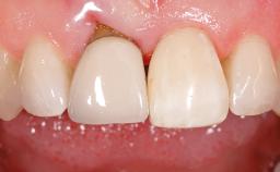
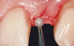
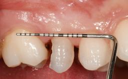
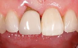
A 51-year-old female patient presented with a chief complaint of occlusal pain at tooth 24 and had been referred to our clinic for consultation and treatment. The patient had no history of any systemic disorder that may have affected the treatment outcome, and she was a non-smoker. Tooth 24 had been endodontically treated and restored with a crown at another clinic due to caries ten years before. The pre-treatment radiograph revealed a root fracture of tooth 24 with significant bone resorption. The pocket probing depth was 8 mm. The tooth had to be extracted. During the minimally traumatic extraction of tooth 24, a dehiscence was found on the buccal wall of the extraction socket. In response to the patient’s wish for a comprehensive treatment of the entire jaw,a suitable treatment plan was developed.
                                                    
                                
                                
                                
                                
                                
                                
                                
                                
                                General information
| Case Type | Single-Tooth Space | 
|---|---|
| Jaw | Maxilla | 
| Area | Posterior | 
| # of Teeth | 1 | 
| # of Implants | 1 | 
| Type of Implants | One-Piece | 
| Attachment | One-Piece | 
| Bone Augmentation | Horizontal|Simultaneous | 
|---|---|
| Augmentation Materials | Membrane | 
| Guided Surgery | No | 
| Soft Tissue Grafting | Staged | 
| Abutment Type | Standard | 
| Prosthesis Type | FDP | 
Esthetic Risk Assessment
| Esthetic Risk Factors | Low | Medium | High | 
|---|---|---|---|
| Medical Status | Healthy | Compromised | |
| Smoking Habit | Non-smoker | Light smoker (< 10 cigarettes per day) | Heavy smoker (>= 10 cigarettes per day) | 
| Patient's Esthetic Expectations | Low | Medium | High | 
| Lip Line | No exposure of papillae | Exposure of papillae | Full exposure of mucosa margin | 
| Periodontal Phenotype | Low-scalloped, thick | Medium-scalloped, medium-thick | High-scalloped, thin | 
| Shape of Tooth Crowns | Rectangular | Triangular | |
| Infection at Implant Site | None | Chronic | Acute | 
| Bone Level at Adjacent Teeth | <= 5 mm to contact point | 5.5 to 6.5 mm to contact point | > 7 mm to contact point | 
| Prosthodontic Status of Neighboring Teeth | Virgin | Restored | |
| Width of Edentulous Span | 1 tooth (>= 7 mm) | 1 tooth (< 7 mm) | 2 teeth or more | 
| Soft Tissue Anatomy | Intact | Defective | |
| Bone Volume | Horizontally and vertically sufficient | Horizontally deficient | Deficient vertically or deficient vertically AND horizontally | 
* General SAC assessment modifiers that are also part of the ERA. To avoid redundancy they are listed in this section even if no complete ERA has been made.
** Not applicable to the ERA of immediate placement cases and replaced by "Socket Integrity" listed below under "Surgical SAC Classification". For all other placement types this value is a classification determinant and listed here even if no complete ERA has been made.
Surgical SAC classification
| SAC Level | Advanced | 
|---|---|
| Defining Characteristics | One missing tooth to be replaced by an implant-borne prosthesis | 
| Modality | - | 
| Placement Protocol | Early or late implant placement | 
| Tooth Site | - | 
| Socket Morphology | - | 
| Socket Integrity | - | 
| Bone Volume | Deficient horizontally, allowing simultaneous augumentation | 
| Anatomic Risk | Low | 
| Esthetic Risk | High | 
| Complexity | Moderate | 
| Risk of Complications | Moderate | 
Prosthodontic SAC classification
| SAC Level | Advanced | 
|---|---|
| Defining Characteristics | One missing tooth to be replaced by an implant-borne crown | 
| Loading Protocol | Conventional or early | 
| Retention | Screw-retained Screw-retained | 
| Maxillomandibular Relationship | - | 
| Mesio-Distal Space | Anatomic space corresponding to the missing tooth +/- 1 mm | 
| Inter-Arch Distance | Ideal tooth height +/- 1 mm | 
| Bruxism | Absent | 
| Esthetic Risk | High | 
| Provisional Implant-Supported Prosthesis | Prosthodontic margin < 3 mm apical to mucosal margin Prosthodontic margin < 3 mm apical to mucosal margin | 
| Interim Prosthesis during Healing | - - | 
| Occlusion/Articulation | - | 
| Occlusal Scheme/Issues | - | 
Surgical SAC Modifiers
| Periodontal Status | History of periodontitis or genetic predisposition | 
|---|
Prosthodontic SAC Modifiers
| Soft Tissue Contour and Volume | Slightly compromised | 
|---|
General SAC Modifiers
| Oral Hygiene and Compliance | Good | 
|---|---|
| Access | Adequate | 
| Craniofacial/Skeletal Growth | Completed | 
Share this page
Download the QR code with a link to this page and use it in your presentations or share it on social media.
Download QR code