 
                                Early Placement of an Implant in a Maxillary Left First Premolar Site
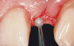
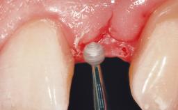
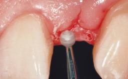
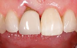
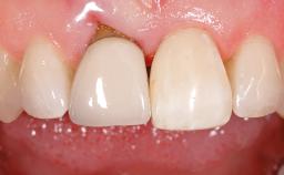
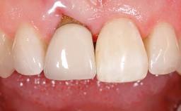
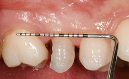
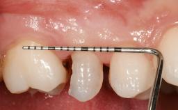
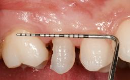
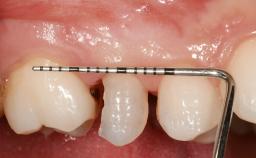
In 2004, a 36-year-old male patient, a non-smoker, presented due to acute pain in the premolar region of the upper left jaw. An orthopantomograph revealed that tooth 24 had been endodontically treated. It also became evident that, during root-canal filling,endodontic filling material had been pushed beyond the apex. This material was located very close to the maxillary sinus floor. Due to this finding in combination with the severe pain and a possible root fracture, tooth 24 was extracted. The esthetic expectations of the patient were not too high and his individual esthetic risk profile summed up to a medium risk profile.
 
                                                     
                                 
                                 
                                 
                                 
                                 
                                 
                                 
                                 
                                General information
| Case Type | Single-Tooth Space | 
|---|---|
| Jaw | Maxilla | 
| Area | Posterior | 
| # of Teeth | 1 | 
| # of Implants | 1 | 
| Type of Implants | One-Piece | 
| Attachment | One-Piece | 
| Bone Augmentation | Horizontal|Simultaneous | 
|---|---|
| Augmentation Materials | Synthetic | 
| Guided Surgery | No | 
| Soft Tissue Grafting | None | 
| Abutment Type | Customized | 
| Prosthesis Type | FDP | 
Esthetic Risk Assessment
| Esthetic Risk Factors | Low | Medium | High | 
|---|---|---|---|
| Medical Status | Healthy | Compromised | |
| Smoking Habit | Non-smoker | Light smoker (< 10 cigarettes per day) | Heavy smoker (>= 10 cigarettes per day) | 
| Patient's Esthetic Expectations | Low | Medium | High | 
| Lip Line | No exposure of papillae | Exposure of papillae | Full exposure of mucosa margin | 
| Periodontal Phenotype | Low-scalloped, thick | Medium-scalloped, medium-thick | High-scalloped, thin | 
| Shape of Tooth Crowns | Rectangular | Triangular | |
| Infection at Implant Site | None | Chronic | Acute | 
| Bone Level at Adjacent Teeth | <= 5 mm to contact point | 5.5 to 6.5 mm to contact point | > 7 mm to contact point | 
| Prosthodontic Status of Neighboring Teeth | Virgin | Restored | |
| Width of Edentulous Span | 1 tooth (>= 7 mm) | 1 tooth (< 7 mm) | 2 teeth or more | 
| Soft Tissue Anatomy | Intact | Defective | |
| Bone Volume | Horizontally and vertically sufficient | Horizontally deficient | Deficient vertically or deficient vertically AND horizontally | 
* General SAC assessment modifiers that are also part of the ERA. To avoid redundancy they are listed in this section even if no complete ERA has been made.
** Not applicable to the ERA of immediate placement cases and replaced by "Socket Integrity" listed below under "Surgical SAC Classification". For all other placement types this value is a classification determinant and listed here even if no complete ERA has been made.
Surgical SAC classification
| SAC Level | Advanced | 
|---|---|
| Defining Characteristics | One missing tooth to be replaced by an implant-borne prosthesis | 
| Modality | - | 
| Placement Protocol | Early or late implant placement | 
| Tooth Site | - | 
| Socket Morphology | - | 
| Socket Integrity | - | 
| Bone Volume | Deficient horizontally, allowing simultaneous augumentation | 
| Anatomic Risk | Low | 
| Esthetic Risk | Medium | 
| Complexity | Moderate | 
| Risk of Complications | Moderate | 
Prosthodontic SAC classification
| SAC Level | Advanced | 
|---|---|
| Defining Characteristics | One missing tooth to be replaced by an implant-borne crown | 
| Loading Protocol | Conventional or early | 
| Retention | Cemented, with meso-structure Cemented, with meso-structure | 
| Maxillomandibular Relationship | - | 
| Mesio-Distal Space | Anatomic space corresponding to the missing tooth +/- 1 mm | 
| Inter-Arch Distance | Ideal tooth height +/- 1 mm | 
| Bruxism | Absent | 
| Esthetic Risk | Medium | 
| Provisional Implant-Supported Prosthesis | Prosthodontic margin > 3 mm apical to mucosal margin Prosthodontic margin > 3 mm apical to mucosal margin | 
| Interim Prosthesis during Healing | - - | 
| Occlusion/Articulation | - | 
| Occlusal Scheme/Issues | - | 
Surgical SAC Modifiers
| Periodontal Status | Healthy | 
|---|
Prosthodontic SAC Modifiers
| Soft Tissue Contour and Volume | Ideal | 
|---|
General SAC Modifiers
| Oral Hygiene and Compliance | Good | 
|---|---|
| Access | Adequate | 
| Craniofacial/Skeletal Growth | Completed | 
Share this page
Download the QR code with a link to this page and use it in your presentations or share it on social media.
Download QR code