
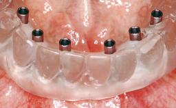
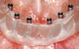
Conventional Loading of Two Implants in the Mandible and Final Restoration with a Locator-Supported RDP
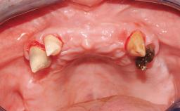
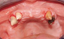
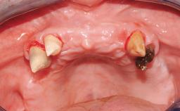
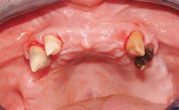
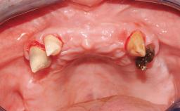
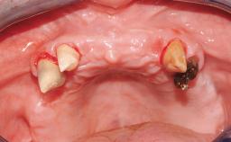
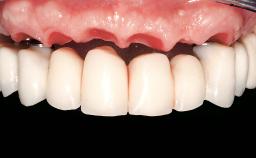
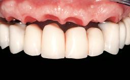
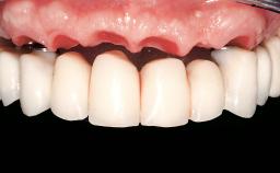
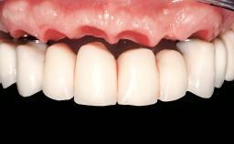
An 83-year-old male patient requested treatment for his existing maxillary complete overdenture and mandibular complete denture. He reported no general medical conditions of significance that would affect his dental treatment and was taking no prescription medication. He denied suffering from oral pain and displayed no evidence of parafunctional habits or temporomandibular joint disorder. Oral and radiographic evaluation revealed two retained maxillary teeth (13 and 15) supporting prefabricated ballshaped attachments. Both teeth were mobile and associated with active periodontal disease and extensive dental caries; these were considered non-restorable and were recommended for extraction. The patient’s existing complete maxillary and mandibular prostheses were approximately 2 years old. He was very satisfied with the appearance of both prostheses. His chief complaint was related to the instability and lack of retention associated with the existing mandibular prosthesis.










General information
Case Type | Edentulous Mandible |
---|---|
Jaw | Mandible |
Area | Full-Arch |
# of Teeth | All |
# of Implants | 2 |
Type of Implants | Reduced-Diameter|Two-Piece |
Attachment | Reduced-Diameter|Two-Piece |
Bone Augmentation | Horizontal|Simultaneous |
---|---|
Augmentation Materials | Autogenous chips |
Guided Surgery | No |
Soft Tissue Grafting | - |
Abutment Type | Standard |
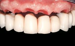
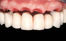
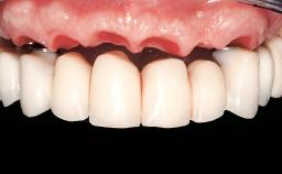
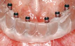
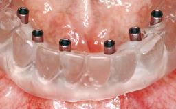
Prosthesis Type | RDP |
Esthetic Risk Assessment
Esthetic Risk Factors | Low | Medium | High |
---|---|---|---|
Medical Status | Healthy | Compromised | |
Smoking Habit | Non-smoker | Light smoker (< 10 cigarettes per day) | Heavy smoker (>= 10 cigarettes per day) |
Patient's Esthetic Expectations | Low | Medium | High |
Lip Line | No exposure of papillae | Exposure of papillae | Full exposure of mucosa margin |
Periodontal Phenotype | Low-scalloped, thick | Medium-scalloped, medium-thick | High-scalloped, thin |
Shape of Tooth Crowns | Rectangular | Triangular | |
Infection at Implant Site | None | Chronic | Acute |
Bone Level at Adjacent Teeth | <= 5 mm to contact point | 5.5 to 6.5 mm to contact point | > 7 mm to contact point |
Prosthodontic Status of Neighboring Teeth | Virgin | Restored | |
Width of Edentulous Span | 1 tooth (>= 7 mm) | 1 tooth (< 7 mm) | 2 teeth or more |
Soft Tissue Anatomy | Intact | Defective | |
Bone Volume | Horizontally and vertically sufficient | Horizontally deficient | Deficient vertically or deficient vertically AND horizontally |
* General SAC assessment modifiers that are also part of the ERA. To avoid redundancy they are listed in this section even if no complete ERA has been made.
** Not applicable to the ERA of immediate placement cases and replaced by "Socket Integrity" listed below under "Surgical SAC Classification". For all other placement types this value is a classification determinant and listed here even if no complete ERA has been made.
Surgical SAC classification
SAC Level | Straightforward |
---|---|
Defining Characteristics | Fully edentulous lower jaw to be rehabilitated with two or more implants |
Modality | 2 interforaminal implants |
Placement Protocol | - |
Tooth Site | - |
Socket Morphology | - |
Socket Integrity | - |
Bone Volume | Horizontally and vertically sufficient |
Anatomic Risk | Low |
Esthetic Risk | Low |
Complexity | Low |
Risk of Complications | Low |
Prosthodontic SAC classification
SAC Level | Advanced |
---|---|
Defining Characteristics | Fully edentulous lower jaw to be rehabilitated with an implant-borne removable overdenture |
Loading Protocol | Conventional/early |
Retention | - - |
Maxillomandibular Relationship | - |
Mesio-Distal Space | - |
Inter-Arch Distance | - |
Bruxism | Absent |
Esthetic Risk | Low |
Provisional Implant-Supported Prosthesis | - - |
Interim Prosthesis during Healing | Removable Removable |
Occlusion/Articulation | - |
Occlusal Scheme/Issues | Balanced |
Surgical SAC Modifiers
Periodontal Status | Healthy |
---|
Prosthodontic SAC Modifiers
Soft Tissue Contour and Volume | - |
---|
General SAC Modifiers
Oral Hygiene and Compliance | Good |
---|---|
Access | Adequate |
Craniofacial/Skeletal Growth | Completed |
Share this page
Download the QR code with a link to this page and use it in your presentations or share it on social media.
Download QR code